Suppr超能文献

鞘内注射 NMDA 诱导的脊髓损伤所致中枢性疼痛:一项初步研究。

Central Pain from Excitotoxic Spinal Cord Injury Induced by Intraspinal NMDA Injection: A Pilot Study.

机构信息

Department of Anesthesiology and Pain Medicine, Asan Medical Center, University of Ulsan College of Medicine, Seoul, Korea.

出版信息

Korean J Pain. 2010 Jun;23(2):109-15. doi: 10.3344/kjp.2010.23.2.109. Epub 2010 May 31.

Abstract

BACKGROUND

The pathophysiological and neurochemical changes following spinal injury are not yet elucidated. This study was designed to evaluate the morphological changes of the dorsal horn of the spinal cord and profiles of pain behaviors following intraspinal injection of NMDA in rats.

METHODS

RATS WERE RANDOMIZED INTO THREE GROUPS: a sham-operated control group and groups where the rats received 10 mM or 100 mM N-methyl-D-aspatate (NMDA) injected into their spinal dorsal horn. Following injection, hypersensitivity to cold and mechanical stimuli and excessive grooming behaviors were assessed serially for four weeks. Morphological changes of the spinal cord were evaluated four weeks after intraspinal injection.

RESULTS

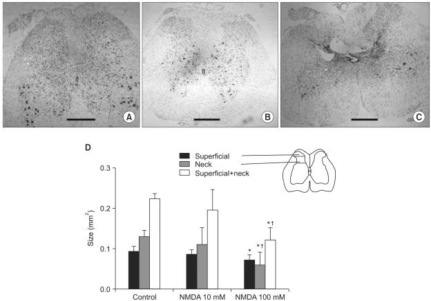
Few animals in the NMDA groups developed hypersensitivity to cold and mechanical stimuli. The number of groomers and the severity of excessive grooming were significantly higher in the 100 mM NMDA group than those values of the control and 10 mM NMDA groups. The size of the neck region (lamina III-IV) was significantly smaller in the 100 mM NMDA group than in the control and 10 mM NMDA groups.

CONCLUSIONS

In conclusion, intraspinal injection of NMDA in rats leads to the pathological sequela in the spinal cord and to excessive grooming behavior. These results support the use of NMDA and excessive grooming behavior after excitotoxic SCI as a model to study chronic pain after SCI.

摘要

背景

脊髓损伤后的病理生理和神经化学变化尚未阐明。本研究旨在评估大鼠脊髓内注射 NMDA 后脊髓背角的形态变化和疼痛行为特征。

方法

大鼠随机分为三组:假手术对照组和接受 10mM 或 100mM N-甲基-D-天冬氨酸(NMDA)注射到脊髓背角的组。注射后,连续评估大鼠对冷和机械刺激的超敏反应以及过度梳理行为 4 周。脊髓内注射 4 周后评估脊髓的形态变化。

结果

NMDA 组中很少有动物对冷和机械刺激产生超敏反应。100mM NMDA 组的梳理者数量和过度梳理的严重程度明显高于对照组和 10mM NMDA 组。100mM NMDA 组颈部区域(III-IV 层)的大小明显小于对照组和 10mM NMDA 组。

结论

总之,大鼠脊髓内注射 NMDA 可导致脊髓病理性后遗症和过度梳理行为。这些结果支持使用 NMDA 和兴奋性 SCI 后的过度梳理行为作为研究 SCI 后慢性疼痛的模型。

https://cdn.ncbi.nlm.nih.gov/pmc/blobs/9c3e/2886245/4bf1559c189b/kjp-23-109-g001.jpg

相似文献

1
Central Pain from Excitotoxic Spinal Cord Injury Induced by Intraspinal NMDA Injection: A Pilot Study.
Korean J Pain. 2010 Jun;23(2):109-15. doi: 10.3344/kjp.2010.23.2.109. Epub 2010 May 31.
2
Comparison of the spinal neuropathic pain induced by intraspinal injection of N-methyl-d-aspartate and quisquate in rats.
J Korean Neurosurg Soc. 2011 Nov;50(5):420-5. doi: 10.3340/jkns.2011.50.5.420. Epub 2011 Nov 30.
4
Effects of adrenal medullary transplants on pain-related behaviors following excitotoxic spinal cord injury.
Brain Res. 1998 Jul 6;798(1-2):83-92. doi: 10.1016/s0006-8993(98)00398-9.
9
Activation of the ERK1/2 signaling cascade by excitotoxic spinal cord injury.
Brain Res Mol Brain Res. 2005 Aug 18;138(2):244-55. doi: 10.1016/j.molbrainres.2005.04.013.

引用本文的文献

1
Long ascending propriospinal neurons are heterogenous and subject to spinal cord injury induced anatomic plasticity.
Exp Neurol. 2024 Mar;373:114631. doi: 10.1016/j.expneurol.2023.114631. Epub 2023 Dec 7.
3
Comparison of the spinal neuropathic pain induced by intraspinal injection of N-methyl-d-aspartate and quisquate in rats.
J Korean Neurosurg Soc. 2011 Nov;50(5):420-5. doi: 10.3340/jkns.2011.50.5.420. Epub 2011 Nov 30.

本文引用的文献

1
Mechanisms of chronic central neuropathic pain after spinal cord injury.
Brain Res Rev. 2009 Apr;60(1):202-13. doi: 10.1016/j.brainresrev.2008.12.010. Epub 2008 Dec 25.
2
Dermatomal scratching after intramedullary quisqualate injection: correlation with cutaneous denervation.
J Pain. 2008 Nov;9(11):999-1005. doi: 10.1016/j.jpain.2008.05.010. Epub 2008 Jul 10.
3
Propentofylline attenuates allodynia, glial activation and modulates GABAergic tone after spinal cord injury in the rat.
Pain. 2008 Aug 31;138(2):410-422. doi: 10.1016/j.pain.2008.01.021. Epub 2008 Mar 18.
5
Spinal neurons involved in the generation of at-level pain following spinal injury in the rat.
Neurosci Lett. 2004 May 6;361(1-3):232-6. doi: 10.1016/j.neulet.2003.12.035.
7
Chronic pain after clip-compression injury of the rat spinal cord.
Exp Neurol. 2002 Nov;178(1):33-48. doi: 10.1006/exnr.2002.8026.
8
The neuropathological and behavioral consequences of intraspinal microglial/macrophage activation.
J Neuropathol Exp Neurol. 2002 Jul;61(7):623-33. doi: 10.1093/jnen/61.7.623.
9
Spinal-cord injury.
Lancet. 2002 Feb 2;359(9304):417-25. doi: 10.1016/S0140-6736(02)07603-1.
10
Rodent model of chronic central pain after spinal cord contusion injury and effects of gabapentin.
J Neurotrauma. 2000 Dec;17(12):1205-17. doi: 10.1089/neu.2000.17.1205.

文献AI研究员

20分钟写一篇综述,助力文献阅读效率提升50倍。

立即体验

用中文搜PubMed

大模型驱动的PubMed中文搜索引擎

马上搜索

文档翻译

学术文献翻译模型,支持多种主流文档格式。

立即体验