• 文献检索
  • 文档翻译
  • 深度研究
  • 学术资讯
  • Suppr Zotero 插件Zotero 插件
  • 邀请有礼
  • 套餐&价格
  • 历史记录
应用&插件
Suppr Zotero 插件Zotero 插件浏览器插件Mac 客户端Windows 客户端微信小程序
定价
高级版会员购买积分包购买API积分包
服务
文献检索文档翻译深度研究API 文档MCP 服务
关于我们
关于 Suppr公司介绍联系我们用户协议隐私条款
关注我们

Suppr 超能文献

核心技术专利:CN118964589B侵权必究
粤ICP备2023148730 号-1Suppr @ 2026

文献检索

告别复杂PubMed语法,用中文像聊天一样搜索,搜遍4000万医学文献。AI智能推荐,让科研检索更轻松。

立即免费搜索

文件翻译

保留排版,准确专业,支持PDF/Word/PPT等文件格式,支持 12+语言互译。

免费翻译文档

深度研究

AI帮你快速写综述,25分钟生成高质量综述,智能提取关键信息,辅助科研写作。

立即免费体验

多梳抑制复合物 2 调节 HOXA9 和 HOXA10,在 NK/T 细胞系中激活 ID2。

Polycomb repressor complex 2 regulates HOXA9 and HOXA10, activating ID2 in NK/T-cell lines.

机构信息

Dept. of Human and Animal Cell Lines, DSMZ - German Collection of Microorganisms and Cell Cultures, Inhoffenstr. 7B, 38124 Braunschweig, Germany.

出版信息

Mol Cancer. 2010 Jun 17;9:151. doi: 10.1186/1476-4598-9-151.

DOI:10.1186/1476-4598-9-151
PMID:20565746
原文链接:https://pmc.ncbi.nlm.nih.gov/articles/PMC2894765/
Abstract

BACKGROUND

NK- and T-cells are closely related lymphocytes, originating from the same early progenitor cells during hematopoiesis. In these differentiation processes deregulation of developmental genes may contribute to leukemogenesis. Here, we compared expression profiles of NK- and T-cell lines for identification of aberrantly expressed genes in T-cell acute lymphoblastic leukemia (T-ALL) which physiologically regulate the differentiation program of the NK-cell lineage.

RESULTS

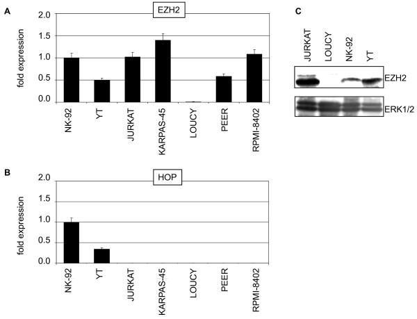
This analysis showed high expression levels of HOXA9, HOXA10 and ID2 in NK-cell lines in addition to T-cell line LOUCY, suggesting leukemic deregulation therein. Overexpression experiments, chromatin immuno-precipitation and promoter analysis demonstrated that HOXA9 and HOXA10 directly activated expression of ID2. Concomitantly elevated expression levels of HOXA9 and HOXA10 together with ID2 in cell lines containing MLL translocations confirmed this form of regulation in both ALL and acute myeloid leukemia. Overexpression of HOXA9, HOXA10 or ID2 resulted in repressed expression of apoptosis factor BIM. Furthermore, profiling data of genes coding for chromatin regulators of homeobox genes, including components of polycomb repressor complex 2 (PRC2), indicated lacking expression of EZH2 in LOUCY and exclusive expression of HOP in NK-cell lines. Subsequent treatment of T-cell lines JURKAT and LOUCY with DZNep, an inhibitor of EZH2/PRC2, resulted in elevated and unchanged HOXA9/10 expression levels, respectively. Moreover, siRNA-mediated knockdown of EZH2 in JURKAT enhanced HOXA10 expression, confirming HOXA10-repression by EZH2. Additionally, profiling data and overexpression analysis indicated that reduced expression of E2F cofactor TFDP1 contributed to the lack of EZH2 in LOUCY. Forced expression of HOP in JURKAT cells resulted in reduced HOXA10 and ID2 expression levels, suggesting enhancement of PRC2 repression.

CONCLUSIONS

Our results show that major differentiation factors of the NK-cell lineage, including HOXA9, HOXA10 and ID2, were (de)regulated via PRC2 which therefore contributes to T-cell leukemogenesis.

摘要

背景

NK 细胞和 T 细胞是密切相关的淋巴细胞,起源于造血过程中同一早期祖细胞。在这些分化过程中,发育基因的失调可能导致白血病的发生。在这里,我们比较了 NK 细胞系和 T 细胞系的表达谱,以鉴定生理上调节 NK 细胞系分化程序的 T 细胞急性淋巴细胞白血病(T-ALL)中异常表达的基因。

结果

该分析表明,除了 T 细胞系 LOUCY 外,NK 细胞系中高表达 HOXA9、HOXA10 和 ID2,提示其白血病失调。过表达实验、染色质免疫沉淀和启动子分析表明,HOXA9 和 HOXA10 直接激活 ID2 的表达。同时,在含有 MLL 易位的细胞系中,HOXA9 和 HOXA10 以及 ID2 的表达水平升高,证实了这种在 ALL 和急性髓细胞白血病中的调节形式。HOXA9、HOXA10 或 ID2 的过表达导致凋亡因子 BIM 的表达受到抑制。此外,同源盒基因染色质调节因子的基因表达谱数据,包括多梳抑制复合物 2(PRC2)的组成部分,表明 LOUCY 中缺乏 EZH2 的表达,而仅在 NK 细胞系中表达 HOP。随后用 EZH2/PRC2 的抑制剂 DZNep 处理 T 细胞系 JURKAT 和 LOUCY,分别导致 HOXA9/10 表达水平的升高和不变。此外,JURKAT 中 EZH2 的 siRNA 介导敲低增强了 HOXA10 的表达,证实了 EZH2 对 HOXA10 的抑制。此外,表达谱数据和过表达分析表明,E2F 辅助因子 TFDP1 的表达降低导致 LOUCY 中缺乏 EZH2。在 JURKAT 细胞中强制表达 HOP 导致 HOXA10 和 ID2 表达水平降低,表明 PRC2 抑制增强。

结论

我们的结果表明,NK 细胞系的主要分化因子,包括 HOXA9、HOXA10 和 ID2,通过 PRC2 (de)调节,从而有助于 T 细胞白血病的发生。

https://cdn.ncbi.nlm.nih.gov/pmc/blobs/884e/2894765/0b01245bfbd3/1476-4598-9-151-15.jpg
https://cdn.ncbi.nlm.nih.gov/pmc/blobs/884e/2894765/7519614cd8b2/1476-4598-9-151-1.jpg
https://cdn.ncbi.nlm.nih.gov/pmc/blobs/884e/2894765/6f971741e199/1476-4598-9-151-2.jpg
https://cdn.ncbi.nlm.nih.gov/pmc/blobs/884e/2894765/ec08de2272c6/1476-4598-9-151-3.jpg
https://cdn.ncbi.nlm.nih.gov/pmc/blobs/884e/2894765/acf1a5f02136/1476-4598-9-151-4.jpg
https://cdn.ncbi.nlm.nih.gov/pmc/blobs/884e/2894765/884a2e183164/1476-4598-9-151-5.jpg
https://cdn.ncbi.nlm.nih.gov/pmc/blobs/884e/2894765/6ae81dab5c41/1476-4598-9-151-6.jpg
https://cdn.ncbi.nlm.nih.gov/pmc/blobs/884e/2894765/3c3355f595a3/1476-4598-9-151-7.jpg
https://cdn.ncbi.nlm.nih.gov/pmc/blobs/884e/2894765/ed8dd1d823c7/1476-4598-9-151-8.jpg
https://cdn.ncbi.nlm.nih.gov/pmc/blobs/884e/2894765/3c770b764a6e/1476-4598-9-151-9.jpg
https://cdn.ncbi.nlm.nih.gov/pmc/blobs/884e/2894765/90cb27ba2e74/1476-4598-9-151-10.jpg
https://cdn.ncbi.nlm.nih.gov/pmc/blobs/884e/2894765/b874c5e4aa39/1476-4598-9-151-11.jpg
https://cdn.ncbi.nlm.nih.gov/pmc/blobs/884e/2894765/7eb056c5e90e/1476-4598-9-151-12.jpg
https://cdn.ncbi.nlm.nih.gov/pmc/blobs/884e/2894765/55981c75341f/1476-4598-9-151-13.jpg
https://cdn.ncbi.nlm.nih.gov/pmc/blobs/884e/2894765/31c978815868/1476-4598-9-151-14.jpg
https://cdn.ncbi.nlm.nih.gov/pmc/blobs/884e/2894765/0b01245bfbd3/1476-4598-9-151-15.jpg
https://cdn.ncbi.nlm.nih.gov/pmc/blobs/884e/2894765/7519614cd8b2/1476-4598-9-151-1.jpg
https://cdn.ncbi.nlm.nih.gov/pmc/blobs/884e/2894765/6f971741e199/1476-4598-9-151-2.jpg
https://cdn.ncbi.nlm.nih.gov/pmc/blobs/884e/2894765/ec08de2272c6/1476-4598-9-151-3.jpg
https://cdn.ncbi.nlm.nih.gov/pmc/blobs/884e/2894765/acf1a5f02136/1476-4598-9-151-4.jpg
https://cdn.ncbi.nlm.nih.gov/pmc/blobs/884e/2894765/884a2e183164/1476-4598-9-151-5.jpg
https://cdn.ncbi.nlm.nih.gov/pmc/blobs/884e/2894765/6ae81dab5c41/1476-4598-9-151-6.jpg
https://cdn.ncbi.nlm.nih.gov/pmc/blobs/884e/2894765/3c3355f595a3/1476-4598-9-151-7.jpg
https://cdn.ncbi.nlm.nih.gov/pmc/blobs/884e/2894765/ed8dd1d823c7/1476-4598-9-151-8.jpg
https://cdn.ncbi.nlm.nih.gov/pmc/blobs/884e/2894765/3c770b764a6e/1476-4598-9-151-9.jpg
https://cdn.ncbi.nlm.nih.gov/pmc/blobs/884e/2894765/90cb27ba2e74/1476-4598-9-151-10.jpg
https://cdn.ncbi.nlm.nih.gov/pmc/blobs/884e/2894765/b874c5e4aa39/1476-4598-9-151-11.jpg
https://cdn.ncbi.nlm.nih.gov/pmc/blobs/884e/2894765/7eb056c5e90e/1476-4598-9-151-12.jpg
https://cdn.ncbi.nlm.nih.gov/pmc/blobs/884e/2894765/55981c75341f/1476-4598-9-151-13.jpg
https://cdn.ncbi.nlm.nih.gov/pmc/blobs/884e/2894765/31c978815868/1476-4598-9-151-14.jpg
https://cdn.ncbi.nlm.nih.gov/pmc/blobs/884e/2894765/0b01245bfbd3/1476-4598-9-151-15.jpg

相似文献

1
Polycomb repressor complex 2 regulates HOXA9 and HOXA10, activating ID2 in NK/T-cell lines.多梳抑制复合物 2 调节 HOXA9 和 HOXA10,在 NK/T 细胞系中激活 ID2。
Mol Cancer. 2010 Jun 17;9:151. doi: 10.1186/1476-4598-9-151.
2
Transcriptional deregulation of oncogenic myocyte enhancer factor 2C in T-cell acute lymphoblastic leukemia.T 细胞急性淋巴细胞白血病中致癌肌细胞增强因子 2C 的转录失调。
Leuk Lymphoma. 2011 Feb;52(2):290-7. doi: 10.3109/10428194.2010.537003. Epub 2011 Jan 24.
3
HOXA9 activates transcription of the gene encoding gp91Phox during myeloid differentiation.HOXA9在髓系分化过程中激活编码gp91Phox的基因的转录。
J Biol Chem. 2005 Apr 1;280(13):12359-70. doi: 10.1074/jbc.M408138200. Epub 2005 Jan 28.
4
The histone methyltransferase inhibitor, DZNep, up-regulates TXNIP, increases ROS production, and targets leukemia cells in AML.组蛋白甲基转移酶抑制剂 DZNep 通过上调 TXNIP、增加 ROS 产生,从而靶向 AML 中的白血病细胞。
Blood. 2011 Sep 8;118(10):2830-9. doi: 10.1182/blood-2010-07-294827. Epub 2011 Jul 6.
5
Mixed lineage leukaemia histone methylases 1 collaborate with ERα to regulate HOXA10 expression in AML.混合谱系白血病组蛋白甲基化酶1与雌激素受体α协同调节急性髓系白血病中HOXA10的表达。
Biosci Rep. 2014 Dec 8;34(6):e00156. doi: 10.1042/BSR20140116.
6
The E3 ubiquitin ligase Triad1 influences development of Mll-Ell-induced acute myeloid leukemia.E3 泛素连接酶 Triad1 影响 Mll-Ell 诱导的急性髓系白血病的发生。
Oncogene. 2018 May;37(19):2532-2544. doi: 10.1038/s41388-018-0131-5. Epub 2018 Feb 20.
7
Repressed BMP signaling reactivates NKL homeobox gene MSX1 in a T-ALL subset.在一个T-ALL亚群中,被抑制的BMP信号传导会重新激活NKL同源框基因MSX1。
Leuk Lymphoma. 2015 Feb;56(2):480-91. doi: 10.3109/10428194.2014.924119. Epub 2014 Jun 12.
8
Cooperation between AlphavBeta3 integrin and the fibroblast growth factor receptor enhances proliferation of Hox-overexpressing acute myeloid leukemia cells.αvβ3整合素与成纤维细胞生长因子受体之间的合作增强了过表达Hox的急性髓系白血病细胞的增殖。
Oncotarget. 2016 Aug 23;7(34):54782-54794. doi: 10.18632/oncotarget.10189.
9
Regulation of CDX4 gene transcription by HoxA9, HoxA10, the Mll-Ell oncogene and Shp2 during leukemogenesis.在白血病发生过程中,CDX4 基因的转录受 HoxA9、HoxA10、Mll-Ell 癌基因和 Shp2 的调控。
Oncogenesis. 2014 Dec 22;3(12):e135. doi: 10.1038/oncsis.2014.49.
10
Inhibition of histone methyltransferase EZH2 depletes leukemia stem cell of mixed lineage leukemia fusion leukemia through upregulation of p16.组蛋白甲基转移酶 EZH2 的抑制通过上调 p16 耗尽混合谱系白血病融合白血病的白血病干细胞。
Cancer Sci. 2014 May;105(5):512-9. doi: 10.1111/cas.12386. Epub 2014 Mar 30.

引用本文的文献

1
Pan-cancer profiling of tumor-infiltrating natural killer cells through transcriptional reference mapping.通过转录参考图谱对肿瘤浸润自然杀伤细胞进行泛癌分析。
Nat Immunol. 2024 Aug;25(8):1445-1459. doi: 10.1038/s41590-024-01884-z. Epub 2024 Jul 2.
2
PRC2 disruption in cerebellar progenitors produces cerebellar hypoplasia and aberrant myoid differentiation without blocking medulloblastoma growth.PRC2 缺失导致小脑祖细胞发育不良和肌样分化异常,但不阻断成神经管细胞瘤的生长。
Acta Neuropathol Commun. 2023 Jan 12;11(1):8. doi: 10.1186/s40478-023-01508-x.
3
Polycomb Directed Cell Fate Decisions in Development and Cancer.

本文引用的文献

1
Somatic mutations altering EZH2 (Tyr641) in follicular and diffuse large B-cell lymphomas of germinal-center origin.生发中心来源的滤泡性和弥漫性大 B 细胞淋巴瘤中 EZH2(Tyr641)改变的体细胞突变。
Nat Genet. 2010 Feb;42(2):181-5. doi: 10.1038/ng.518. Epub 2010 Jan 17.
2
Multiple mechanisms induce ectopic expression of LYL1 in subsets of T-ALL cell lines.多种机制诱导 T-ALL 细胞系亚群中 LYL1 的异位表达。
Leuk Res. 2010 Apr;34(4):521-8. doi: 10.1016/j.leukres.2009.06.020. Epub 2009 Jul 15.
3
High frequency of PTEN, PI3K, and AKT abnormalities in T-cell acute lymphoblastic leukemia.
发育和癌症中多梳蛋白介导的细胞命运决定
Epigenomes. 2022 Sep 6;6(3):28. doi: 10.3390/epigenomes6030028.
4
A genetic screen in Drosophila uncovers the multifaceted properties of the NUP98-HOXA9 oncogene.果蝇中的遗传筛选揭示了 NUP98-HOXA9 癌基因的多方面特性。
PLoS Genet. 2021 Aug 12;17(8):e1009730. doi: 10.1371/journal.pgen.1009730. eCollection 2021 Aug.
5
Combination of AZD3463 and DZNep Prevents Bone Metastasis of Breast Cancer by Suppressing Akt Signaling.AZD3463与DZNep联合使用通过抑制Akt信号通路预防乳腺癌骨转移。
Front Pharmacol. 2021 May 28;12:652071. doi: 10.3389/fphar.2021.652071. eCollection 2021.
6
The Cxxc1 subunit of the Trithorax complex directs epigenetic licensing of CD4+ T cell differentiation.Trithorax 复合物的 Cxxc1 亚基指导 CD4+T 细胞分化的表观遗传许可。
J Exp Med. 2021 Apr 5;218(4). doi: 10.1084/jem.20201690.
7
Aggressive NK Cell Leukemia: Current State of the Art.侵袭性自然杀伤细胞白血病:当前技术水平
Cancers (Basel). 2020 Oct 9;12(10):2900. doi: 10.3390/cancers12102900.
8
Deregulated expression of NKL homeobox genes in T-cell lymphomas.NKL同源框基因在T细胞淋巴瘤中的表达失调。
Oncotarget. 2019 May 14;10(35):3227-3247. doi: 10.18632/oncotarget.26929.
9
Heterocyclic Diamidine DNA Ligands as HOXA9 Transcription Factor Inhibitors: Design, Molecular Evaluation, and Cellular Consequences in a HOXA9-Dependant Leukemia Cell Model.杂环二脒 DNA 配体作为 HOXA9 转录因子抑制剂:在依赖 HOXA9 的白血病细胞模型中的设计、分子评估和细胞后果。
J Med Chem. 2019 Feb 14;62(3):1306-1329. doi: 10.1021/acs.jmedchem.8b01448. Epub 2019 Feb 1.
10
Epigenetic mechanisms of tumor resistance to immunotherapy.肿瘤免疫治疗抵抗的表观遗传机制。
Cell Mol Life Sci. 2018 Nov;75(22):4163-4176. doi: 10.1007/s00018-018-2908-7. Epub 2018 Aug 23.
T细胞急性淋巴细胞白血病中PTEN、PI3K和AKT异常的高频率。
Blood. 2009 Jul 16;114(3):647-50. doi: 10.1182/blood-2009-02-206722. Epub 2009 May 20.
4
A HaemAtlas: characterizing gene expression in differentiated human blood cells.一个血液图谱:表征分化的人类血细胞中的基因表达。
Blood. 2009 May 7;113(19):e1-9. doi: 10.1182/blood-2008-06-162958. Epub 2009 Feb 19.
5
Activation of miR-17-92 by NK-like homeodomain proteins suppresses apoptosis via reduction of E2F1 in T-cell acute lymphoblastic leukemia.自然杀伤样同源结构域蛋白对miR-17-92的激活通过降低E2F1抑制T细胞急性淋巴细胞白血病中的细胞凋亡。
Leuk Lymphoma. 2009 Jan;50(1):101-8. doi: 10.1080/10428190802626632.
6
Genomic loss of microRNA-101 leads to overexpression of histone methyltransferase EZH2 in cancer.微小RNA - 101的基因组缺失导致癌症中组蛋白甲基转移酶EZH2的过表达。
Science. 2008 Dec 12;322(5908):1695-9. doi: 10.1126/science.1165395. Epub 2008 Nov 13.
7
Kcnq1ot1 antisense noncoding RNA mediates lineage-specific transcriptional silencing through chromatin-level regulation.Kcnq1ot1反义非编码RNA通过染色质水平调控介导谱系特异性转录沉默。
Mol Cell. 2008 Oct 24;32(2):232-46. doi: 10.1016/j.molcel.2008.08.022.
8
Therapeutic targeting of Id2 reduces growth of human colorectal carcinoma in the murine liver.对Id2进行治疗性靶向可降低人结肠直肠癌在小鼠肝脏中的生长。
Oncogene. 2008 Dec 4;27(57):7192-200. doi: 10.1038/onc.2008.356. Epub 2008 Sep 22.
9
MYC stimulates EZH2 expression by repression of its negative regulator miR-26a.MYC 通过抑制其负调节因子 miR-26a 来刺激 EZH2 的表达。
Blood. 2008 Nov 15;112(10):4202-12. doi: 10.1182/blood-2008-03-147645. Epub 2008 Aug 19.
10
Association of trxG and PcG proteins with the bxd maintenance element depends on transcriptional activity.TRXG和PcG蛋白与bxd维持元件的关联取决于转录活性。
Development. 2008 Aug;135(14):2383-90. doi: 10.1242/dev.023275. Epub 2008 Jun 11.