Suppr超能文献

GU81,一种血管内皮生长因子受体 2(VEGFR2)拮抗剂肽,增强了多柔比星在乳腺癌 MMTV-PyMT 转基因模型小鼠中的抗肿瘤活性。

GU81, a VEGFR2 antagonist peptoid, enhances the anti-tumor activity of doxorubicin in the murine MMTV-PyMT transgenic model of breast cancer.

机构信息

Division of Surgical Oncology, Department of Surgery, UT Southwestern Medical Center, 5323 Harry Hines Blvd., Dallas, TX 76259, USA.

出版信息

BMC Cancer. 2010 Jul 30;10:397. doi: 10.1186/1471-2407-10-397.

Abstract

BACKGROUND

Vascular endothelial growth factor (VEGF) is a primary stimulant of angiogenesis under physiological and pathological conditions. Anti-VEGF therapy is a clinically proven strategy for the treatment of a variety of cancers including colon, breast, lung, and renal cell carcinoma. Since VEGFR2 is the dominant angiogenic signaling receptor, it has become an important target in the development of novel anti-angiogenic therapies. We have reported previously the development of an antagonistic VEGFR2 peptoid (GU40C4) that has promising anti-angiogenic activity in vitro and in vivo.

METHODS

In the current study, we utilize a derivative of GU40C4, termed GU81 in therapy studies. GU81 was tested alone or in combination with doxorubicin for in vivo efficacy in the MMTV-PyMT transgenic model of breast cancer.

RESULTS

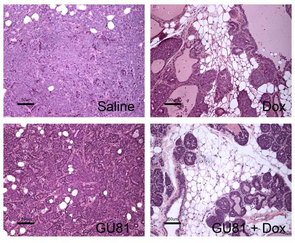
The derivative GU81 has increased in vitro efficacy compared to GU40C4. Single agent therapy (doxorubicin or GU81 alone) had no effect on tumor weight, histology, tumor fat content, or tumor growth index. However, GU81 is able to significantly to reduce total vascular area as a single agent. GU81 used in combination with doxorubicin significantly reduced tumor weight and growth index compared to all other treatment groups. Furthermore, treatment with combination therapy significantly arrested tumor progression at the premalignant stage, resulting in increased tumor fat content. Interestingly, treatment with GU81 alone increased tumor-VEGF levels and macrophage infiltration, an effect that was abrogated when used in combination with doxorubicin.

CONCLUSION

This study demonstrates the VEGFR2 antagonist peptoid, GU81, enhances the anti-tumor activity of doxorubicin in spontaneous murine MMTV-PyMT breast tumors.

摘要

背景

血管内皮生长因子(VEGF)是生理和病理条件下血管生成的主要刺激物。抗 VEGF 治疗是一种经过临床验证的治疗多种癌症的策略,包括结肠癌、乳腺癌、肺癌和肾细胞癌。由于 VEGFR2 是主要的血管生成信号受体,因此它已成为开发新型抗血管生成疗法的重要目标。我们之前曾报道过一种拮抗 VEGFR2 的拟肽(GU40C4)的开发,该拟肽在体外和体内具有有前途的抗血管生成活性。

方法

在本研究中,我们利用 GU40C4 的衍生物,称为 GU81,在 MMTV-PyMT 转基因乳腺癌模型中进行治疗研究。GU81 单独或与多柔比星联合用于体内疗效测试。

结果

该衍生物 GU81 的体外疗效优于 GU40C4。单独使用单一药物(多柔比星或 GU81)对肿瘤重量、组织学、肿瘤脂肪含量或肿瘤生长指数没有影响。然而,GU81 作为单一药物能够显著减少总血管面积。与其他所有治疗组相比,GU81 与多柔比星联合使用可显著降低肿瘤重量和生长指数。此外,联合治疗显著阻止了肿瘤在癌前阶段的进展,导致肿瘤脂肪含量增加。有趣的是,单独使用 GU81 会增加肿瘤 VEGF 水平和巨噬细胞浸润,而与多柔比星联合使用时则会消除这种作用。

结论

这项研究表明,VEGFR2 拮抗剂拟肽 GU81 增强了多柔比星在自发的 MMTV-PyMT 乳腺肿瘤中的抗肿瘤活性。

https://cdn.ncbi.nlm.nih.gov/pmc/blobs/7332/2920882/5436351f5cb4/1471-2407-10-397-1.jpg

相似文献

2
Targeting tumor-associated endothelial cells: anti-VEGFR2 immunoliposomes mediate tumor vessel disruption and inhibit tumor growth.
Clin Cancer Res. 2012 Jan 15;18(2):454-64. doi: 10.1158/1078-0432.CCR-11-1102. Epub 2011 Nov 7.
6
Leptin pro-angiogenic signature in breast cancer is linked to IL-1 signalling.
Br J Cancer. 2011 Jan 4;104(1):128-37. doi: 10.1038/sj.bjc.6606013. Epub 2010 Dec 7.
7
Antiangiogenic and antitumor activities of peptide inhibiting the vascular endothelial growth factor binding to neuropilin-1.
Life Sci. 2006 Nov 17;79(25):2370-81. doi: 10.1016/j.lfs.2006.08.005. Epub 2006 Aug 16.
10
A peptoid antagonist of VEGF receptor 2 recognizes a 'hotspot' in the extracellular domain distinct from the hormone-binding site.
Bioorg Med Chem. 2008 Jun 15;16(12):6338-43. doi: 10.1016/j.bmc.2008.05.015. Epub 2008 May 9.

引用本文的文献

1
A peptoid interleukin-15 receptor antagonist suppresses inflammation and arthritis in mice.
Clin Transl Immunology. 2022 Nov 24;11(11):e1432. doi: 10.1002/cti2.1432. eCollection 2022.
2
Bent Into Shape: Folded Peptides to Mimic Protein Structure and Modulate Protein Function.
Pept Sci (Hoboken). 2020 Jan;112(1). doi: 10.1002/pep2.24145. Epub 2020 Jan 2.
4
Generation and characterization of a human nanobody against VEGFR-2.
Acta Pharmacol Sin. 2016 Jun;37(6):857-64. doi: 10.1038/aps.2016.2. Epub 2016 Apr 25.
6
Unbiased Selection of Peptide-Peptoid Hybrids Specific for Lung Cancer Compared to Normal Lung Epithelial Cells.
ACS Chem Biol. 2015 Dec 18;10(12):2891-9. doi: 10.1021/acschembio.5b00592. Epub 2015 Oct 28.

本文引用的文献

3
5
The pharmacophore of a peptoid VEGF receptor 2 antagonist includes both side chain and main chain residues.
Bioorg Med Chem Lett. 2008 Nov 15;18(22):5892-4. doi: 10.1016/j.bmcl.2008.07.023. Epub 2008 Jul 10.
6
Hand foot skin reaction in cancer patients treated with the multikinase inhibitors sorafenib and sunitinib.
Ann Oncol. 2008 Nov;19(11):1955-61. doi: 10.1093/annonc/mdn389. Epub 2008 Jun 10.
8
A peptoid "antibody surrogate" that antagonizes VEGF receptor 2 activity.
J Am Chem Soc. 2008 Apr 30;130(17):5744-52. doi: 10.1021/ja711193x. Epub 2008 Apr 2.
9
Paclitaxel plus bevacizumab versus paclitaxel alone for metastatic breast cancer.
N Engl J Med. 2007 Dec 27;357(26):2666-76. doi: 10.1056/NEJMoa072113.

文献AI研究员

20分钟写一篇综述,助力文献阅读效率提升50倍。

立即体验

用中文搜PubMed

大模型驱动的PubMed中文搜索引擎

马上搜索

文档翻译

学术文献翻译模型,支持多种主流文档格式。

立即体验