Suppr超能文献

长期放化疗相关的口腔和骨骼并发症在一名年轻女性鼻咽癌患者中出现。

Long term chemoradiotherapy-related dental and skeletal complications in a young female with nasopharyngeal carcinoma.

机构信息

Department of Orthodontics, School of Dentistry, Aristotle University of Thessaloniki.

出版信息

Int J Gen Med. 2010 Jul 21;3:187-96. doi: 10.2147/ijgm.s10825.

Abstract

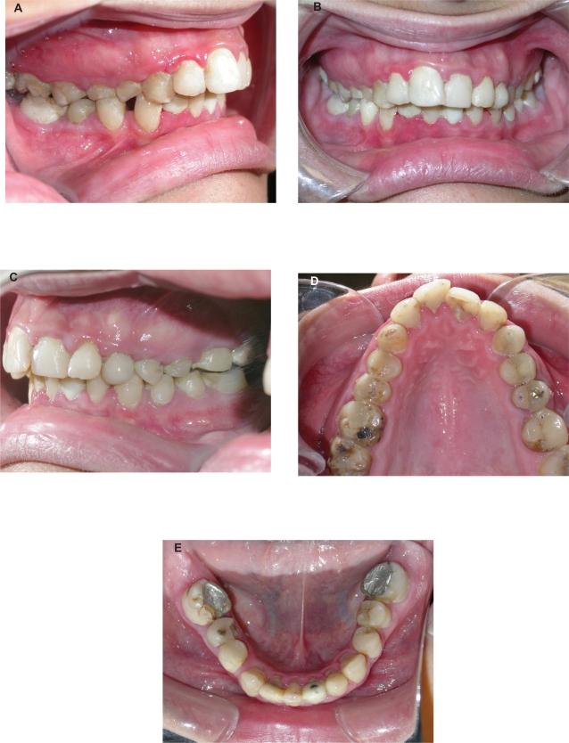
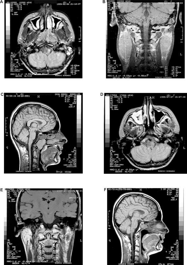
We describe the long-term complications six years after chemoradiotherapy in a 20-year old woman with nasopharyngeal carcinoma. We wanted to know whether the radiation dose was constant throughout the oral cavity, and thus uniformly affecting the corresponding dental and skeletal structures. Clinical and radiologic findings are described six years after chemoradiotherapy based on a two-dimensional computerized treatment planning system. This revealed radiation caries limited only to posterior teeth, proximal caries in the anterior teeth, limited but continuous salivary flow, mild periodontal infection, mild xerostomia, and a regenerative capacity of bones and the developmental process. The quantitative assessment of radiation delivered to the mandible revealed a high radiation dose in the posterior area and a minimal dose in the anterior area. This explains the differences in caries manifestation between the anterior and posterior teeth. According to the present study, individualized radiation fields, using a two-dimensional treatment planning system, result in restriction of severe damage of the dental and skeletal structures, which usually follows chemoradiotherapy. Orthodontic treatment could be initiated according to individual patient needs.

摘要

我们描述了一位 20 岁女性鼻咽癌患者在接受放化疗 6 年后的长期并发症。我们想知道口腔内的辐射剂量是否保持恒定,从而均匀地影响相应的牙齿和骨骼结构。根据二维计算机治疗计划系统,在放化疗 6 年后描述了临床和影像学发现。结果显示,放射性龋齿仅限于后牙,前牙邻面龋,唾液流量有限但连续,轻度牙周感染,轻度口干,以及骨骼和发育过程的再生能力。对下颌骨接受的辐射剂量进行定量评估,发现后牙区的辐射剂量较高,前牙区的辐射剂量较低。这解释了前牙和后牙龋齿表现的差异。根据本研究,使用二维治疗计划系统的个体化放射野可限制通常由放化疗引起的牙齿和骨骼结构的严重损伤。可根据患者个体需求启动正畸治疗。

https://cdn.ncbi.nlm.nih.gov/pmc/blobs/957b/2915530/62d120802c28/ijgm-3-187f1.jpg

文献检索

告别复杂PubMed语法,用中文像聊天一样搜索,搜遍4000万医学文献。AI智能推荐,让科研检索更轻松。

立即免费搜索

文件翻译

保留排版,准确专业,支持PDF/Word/PPT等文件格式,支持 12+语言互译。

免费翻译文档

深度研究

AI帮你快速写综述,25分钟生成高质量综述,智能提取关键信息,辅助科研写作。

立即免费体验