Suppr超能文献

Primary small bowel liposarcoma (atypical lipomatous tumour) with myogenic differentiation.

作者信息

Patel J, Deb R, Speake W, Macculloch T A

机构信息

Department of Cellular Pathology, Nottingham University Hospitals, City Hospital Campus, NG5 1PB, and Royal Derby Hospital, Derby DE22 3NE, UK.

出版信息

Sarcoma. 2010;2010. doi: 10.1155/2010/807981. Epub 2010 Jul 26.

Abstract

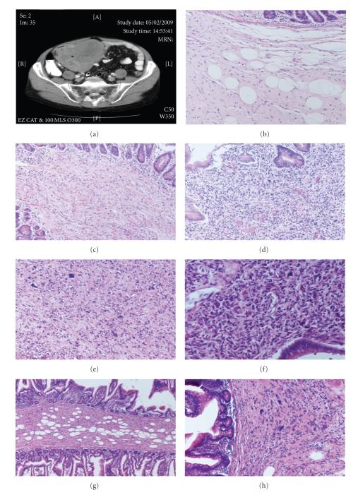
Primary small intestinal liposarcomas originating in the small bowel are uncommon with a generally poor prognosis due to the advanced stage at the time of diagnosis. We describe a case of primary small bowel dedifferentiated liposarcoma presenting as a solid mass in the right iliac fossa. The current case is unusual as the tumour seemingly originated from the bowel and the well-differentiated component was seen extensively infiltrating the bowel wall including the small bowel submucosa.

摘要
https://cdn.ncbi.nlm.nih.gov/pmc/blobs/0878/2913843/afdb9074c32d/SRCM2010-807981.001.jpg

文献AI研究员

20分钟写一篇综述,助力文献阅读效率提升50倍。

立即体验

用中文搜PubMed

大模型驱动的PubMed中文搜索引擎

马上搜索

文档翻译

学术文献翻译模型,支持多种主流文档格式。

立即体验