• 文献检索
  • 文档翻译
  • 深度研究
  • 学术资讯
  • Suppr Zotero 插件Zotero 插件
  • 邀请有礼
  • 套餐&价格
  • 历史记录
应用&插件
Suppr Zotero 插件Zotero 插件浏览器插件Mac 客户端Windows 客户端微信小程序
定价
高级版会员购买积分包购买API积分包
服务
文献检索文档翻译深度研究API 文档MCP 服务
关于我们
关于 Suppr公司介绍联系我们用户协议隐私条款
关注我们

Suppr 超能文献

核心技术专利:CN118964589B侵权必究
粤ICP备2023148730 号-1Suppr @ 2026

文献检索

告别复杂PubMed语法,用中文像聊天一样搜索,搜遍4000万医学文献。AI智能推荐,让科研检索更轻松。

立即免费搜索

文件翻译

保留排版,准确专业,支持PDF/Word/PPT等文件格式,支持 12+语言互译。

免费翻译文档

深度研究

AI帮你快速写综述,25分钟生成高质量综述,智能提取关键信息,辅助科研写作。

立即免费体验

伊马替尼导致胃肠道间质瘤患者发生严重皮肤反应和中性粒细胞减少症。

Imatinib induced severe skin reactions and neutropenia in a patient with gastrointestinal stromal tumor.

机构信息

Department of Hematology-Oncology, Chonnam National University Medical School, Gwangju 501-757, South Korea.

出版信息

BMC Cancer. 2010 Aug 18;10:438. doi: 10.1186/1471-2407-10-438.

DOI:10.1186/1471-2407-10-438
PMID:20718969
原文链接:https://pmc.ncbi.nlm.nih.gov/articles/PMC2936326/
Abstract

BACKGROUND

Imatinib mesylate has been used for the treatment of unresectable or metastatic gastrointestinal stromal tumors (GIST). The current recommended dose of imatinib is 400 mg/day that is increased to 800 mg/day in cases with disease progression. However, imatinib can be associated with diverse adverse events, which has limited its use. We report a case of severe adverse skin reactions with neutropenic fever during imatinib treatment in a patient with GIST.

CASE PRESENTATION

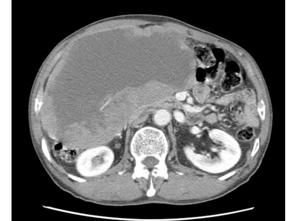
A 71-year-old man was admitted with a one month history of epigastric pain and a palpable mass in the right upper quadrant. An abdominal CT scan revealed a 20 x 19 cm intraabdominal mass with tumor invasion into the peritoneum. Needle biopsy was performed and the results showed spindle shaped tumor cells that were positive for c-KIT. The patient was diagnosed with unresectable GIST. Imatinib 400 mg/day was started. The patient tolerated the first eight weeks of treatment. However, about three months later, the patient developed a grade 4 febrile neutropenia and a grade 3 exfoliative skin rash. The patient recovered from this serious adverse events after discontinuation of imatinib with supportive care. However, the skin lesions recurred whenever the patient received imatinib over 100 mg/day. Therefore, imatinib 100 mg/day was maintained. Despite the low dose imatinib, follow up CT showed a marked partial response without grade 3 or 4 toxicities.

CONCLUSION

The recommended dose of imatinib for the treatment of GIST is 400 mg/day but patients at risk for adverse drug reaction may benefit from lower doses. Individualized treatment is needed for such patients, and we may also try sunitinib as a alternative drug.

摘要

背景

甲磺酸伊马替尼已被用于治疗不可切除或转移性胃肠道间质瘤(GIST)。目前推荐的伊马替尼剂量为 400mg/天,疾病进展时增加至 800mg/天。然而,伊马替尼可能会引起多种不良反应,从而限制了其应用。我们报告了一例 GIST 患者在伊马替尼治疗期间出现严重皮肤不良反应和中性粒细胞减少性发热的病例。

病例介绍

一名 71 岁男性因上腹痛和右上象限可触及肿块一个月入院。腹部 CT 扫描显示 20×19cm 大小的腹腔内肿块,肿瘤侵犯腹膜。进行了针吸活检,结果显示梭形肿瘤细胞 c-KIT 阳性。患者被诊断为不可切除的 GIST。开始给予伊马替尼 400mg/天。患者在前 8 周的治疗中耐受良好。然而,大约 3 个月后,患者出现了 4 级发热性中性粒细胞减少和 3 级剥脱性皮炎。在停用伊马替尼并给予支持治疗后,患者从这些严重的不良反应中恢复。然而,每当患者接受超过 100mg/天的伊马替尼治疗时,皮肤病变都会复发。因此,维持伊马替尼 100mg/天。尽管剂量较低,但随访 CT 显示部分缓解明显,无 3 或 4 级毒性。

结论

伊马替尼治疗 GIST 的推荐剂量为 400mg/天,但有发生药物不良反应风险的患者可能从低剂量中获益。对于这些患者需要个体化治疗,我们也可以尝试舒尼替尼作为替代药物。

https://cdn.ncbi.nlm.nih.gov/pmc/blobs/9c55/2936326/81b0049a954f/1471-2407-10-438-4.jpg
https://cdn.ncbi.nlm.nih.gov/pmc/blobs/9c55/2936326/732da64289a6/1471-2407-10-438-1.jpg
https://cdn.ncbi.nlm.nih.gov/pmc/blobs/9c55/2936326/e4fbec0a8d0e/1471-2407-10-438-2.jpg
https://cdn.ncbi.nlm.nih.gov/pmc/blobs/9c55/2936326/16cf9e10bb6a/1471-2407-10-438-3.jpg
https://cdn.ncbi.nlm.nih.gov/pmc/blobs/9c55/2936326/81b0049a954f/1471-2407-10-438-4.jpg
https://cdn.ncbi.nlm.nih.gov/pmc/blobs/9c55/2936326/732da64289a6/1471-2407-10-438-1.jpg
https://cdn.ncbi.nlm.nih.gov/pmc/blobs/9c55/2936326/e4fbec0a8d0e/1471-2407-10-438-2.jpg
https://cdn.ncbi.nlm.nih.gov/pmc/blobs/9c55/2936326/16cf9e10bb6a/1471-2407-10-438-3.jpg
https://cdn.ncbi.nlm.nih.gov/pmc/blobs/9c55/2936326/81b0049a954f/1471-2407-10-438-4.jpg

相似文献

1
Imatinib induced severe skin reactions and neutropenia in a patient with gastrointestinal stromal tumor.伊马替尼导致胃肠道间质瘤患者发生严重皮肤反应和中性粒细胞减少症。
BMC Cancer. 2010 Aug 18;10:438. doi: 10.1186/1471-2407-10-438.
2
Imatinib for the treatment of patients with unresectable and/or metastatic gastrointestinal stromal tumours: systematic review and economic evaluation.伊马替尼治疗不可切除和/或转移性胃肠道间质瘤患者:系统评价与经济学评估
Health Technol Assess. 2005 Jul;9(25):1-142. doi: 10.3310/hta9250.
3
Imatinib mesylate-induced acute hepatitis in a patient treated for gastrointestinal stromal tumour.甲磺酸伊马替尼致胃肠道间质瘤治疗患者发生急性肝炎
Eur J Gastroenterol Hepatol. 2006 Jul;18(7):785-7. doi: 10.1097/01.meg.0000216941.42306.0e.
4
Concurrent male gynecomastia and testicular hydrocele after imatinib mesylate treatment of a gastrointestinal stromal tumor.甲磺酸伊马替尼治疗胃肠道间质瘤后并发男性乳腺增生和睾丸鞘膜积液。
J Korean Med Sci. 2005 Jun;20(3):512-5. doi: 10.3346/jkms.2005.20.3.512.
5
A long-term follow-up of the imatinib mesylate treatment for the patients with recurrent gastrointestinal stromal tumor (GIST): the liver metastasis and the outcome.甲磺酸伊马替尼治疗复发性胃肠道间质瘤(GIST)患者的长期随访:肝转移和结局。
BMC Cancer. 2010 May 13;10:199. doi: 10.1186/1471-2407-10-199.
6
Efficacy and safety profile of imatinib mesylate (ST1571) in Japanese patients with advanced gastrointestinal stromal tumors: a phase II study (STI571B1202).甲磺酸伊马替尼(ST1571)治疗日本晚期胃肠道间质瘤患者的疗效与安全性:一项II期研究(STI571B1202)
Int J Clin Oncol. 2008 Jun;13(3):244-51. doi: 10.1007/s10147-007-0746-y. Epub 2008 Jun 14.
7
A Case of Disseminated Intra-abdominal Gastrointestinal Stromal Tumor Managed with Low Dose Imatinib.一例采用低剂量伊马替尼治疗的播散性腹腔内胃肠道间质瘤病例
Korean J Gastroenterol. 2015 Jun;65(6):366-9. doi: 10.4166/kjg.2015.65.6.366.
8
Malignant gastrointestinal stromal tumor of the small intestine complicated with pulmonary tuberculosis during treatment with imatinib mesylate.甲磺酸伊马替尼治疗期间小肠恶性胃肠道间质瘤并发肺结核
Intern Med. 2005 Feb;44(2):114-9. doi: 10.2169/internalmedicine.44.114.
9
Approval summary: imatinib mesylate in the adjuvant treatment of malignant gastrointestinal stromal tumors.批准总结:甲磺酸伊马替尼在恶性胃肠道间质瘤辅助治疗中的应用。
Oncologist. 2010;15(3):300-7. doi: 10.1634/theoncologist.2009-0120. Epub 2010 Mar 3.
10
One vs three years of adjuvant imatinib for operable gastrointestinal stromal tumor: a randomized trial.辅助伊马替尼治疗可切除胃肠道间质瘤:一项随机试验,一年与三年的对比。
JAMA. 2012 Mar 28;307(12):1265-72. doi: 10.1001/jama.2012.347.

引用本文的文献

1
Imatinib Desensitization After a Type IV Hypersensitivity Reaction in a Gastrointestinal Stromal Tumor Patient-A Case Report.一名胃肠道间质瘤患者发生IV型超敏反应后伊马替尼脱敏治疗——病例报告
Cancer Rep (Hoboken). 2025 Jun;8(6):e70238. doi: 10.1002/cnr2.70238.
2
Bullous Pemphigoid Occurring after Stopping Imatinib Therapy of CML: Is a Continuation of Post-Treatment Follow-Up Needed?慢性粒细胞白血病伊马替尼治疗停药后发生大疱性类天疱疮:是否需要继续进行治疗后随访?
Clin Pract. 2023 Sep 5;13(5):1082-1089. doi: 10.3390/clinpract13050096.
3
Discovery of an agonistic Siglec-6 antibody that inhibits and reduces human mast cells.

本文引用的文献

1
Targeted therapies in the treatment of GIST: Adverse events and maximising the benefits of sunitinib through proactive therapy management.GIST 的靶向治疗:通过积极的治疗管理来预防不良事件并使舒尼替尼的获益最大化。
Acta Oncol. 2010;49(1):13-23. doi: 10.3109/02841860903287205.
2
Imatinib plasma levels are correlated with clinical benefit in patients with unresectable/metastatic gastrointestinal stromal tumors.伊马替尼的血浆水平与不可切除/转移性胃肠道间质瘤患者的临床获益相关。
J Clin Oncol. 2009 Jul 1;27(19):3141-7. doi: 10.1200/JCO.2008.20.4818. Epub 2009 May 18.
3
Management of Skin Toxicity Related to the Use of Imatinib Mesylate (STI571, Glivectrade mark) for Advanced Stage Gastrointestinal Stromal Tumours.
发现一种可抑制和减少人类肥大细胞的激动型唾液酸结合免疫球蛋白样凝集素6(Siglec-6)抗体。
Commun Biol. 2022 Nov 11;5(1):1226. doi: 10.1038/s42003-022-04207-w.
4
Anti-apoptotic HAX-1 suppresses cell apoptosis by promoting c-Abl kinase-involved ROS clearance.抗凋亡蛋白 HAX-1 通过促进 c-Abl 激酶相关的 ROS 清除来抑制细胞凋亡。
Cell Death Dis. 2022 Apr 4;13(4):298. doi: 10.1038/s41419-022-04748-2.
5
Development and external validation of a nomogram for individualized adjuvant imatinib duration for high-risk gastrointestinal stromal tumors: A multicenter retrospective cohort study.开发并验证一种个体化辅助伊马替尼治疗高危胃肠道间质瘤的列线图:一项多中心回顾性队列研究。
Cancer Med. 2022 Aug;11(16):3093-3105. doi: 10.1002/cam4.4673. Epub 2022 Mar 16.
甲磺酸伊马替尼(STI571,格列卫商标)用于晚期胃肠道间质瘤时皮肤毒性的管理。
Sarcoma. 2005;9(3-4):157-60. doi: 10.1080/13577140500349717.
4
Gastrointestinal stromal tumour.胃肠道间质瘤
Lancet. 2007 May 19;369(9574):1731-41. doi: 10.1016/S0140-6736(07)60780-6.
5
Severe skin reaction in a patient with gastrointestinal stromal tumor treated with imatinib mesylate.一名接受甲磺酸伊马替尼治疗的胃肠道间质瘤患者出现严重皮肤反应。
Anticancer Res. 2006 Nov-Dec;26(6C):4771-4.
6
Predicting toxicities for patients with advanced gastrointestinal stromal tumours treated with imatinib: a study of the European Organisation for Research and Treatment of Cancer, the Italian Sarcoma Group, and the Australasian Gastro-Intestinal Trials Group (EORTC-ISG-AGITG).预测接受伊马替尼治疗的晚期胃肠道间质瘤患者的毒性:欧洲癌症研究与治疗组织、意大利肉瘤组和澳大拉西亚胃肠道试验组(EORTC-ISG-AGITG)的一项研究。
Eur J Cancer. 2006 Sep;42(14):2277-85. doi: 10.1016/j.ejca.2006.03.029. Epub 2006 Jul 28.
7
Imatinib mesylate and dermatology part 2: a review of the cutaneous side effects of imatinib mesylate.甲磺酸伊马替尼与皮肤病学 第2部分:甲磺酸伊马替尼皮肤副作用综述
J Drugs Dermatol. 2006 Mar;5(3):228-31.
8
Outcome of patients with advanced gastro-intestinal stromal tumours crossing over to a daily imatinib dose of 800 mg after progression on 400 mg.晚期胃肠道间质瘤患者在400mg伊马替尼治疗进展后改用每日800mg剂量的治疗结果。
Eur J Cancer. 2005 Aug;41(12):1751-7. doi: 10.1016/j.ejca.2005.04.034.
9
Successful progressive challenge after a cutaneous reaction to imatinib mesylate (Gleevec): a case report and review of the literature.
Allergy Asthma Proc. 2004 Sep-Oct;25(5):345-7.
10
Overcoming recurrent cutaneous reactions from imatinib using once-weekly dosing.
Ann Pharmacother. 2003 Dec;37(12):1818-20. doi: 10.1345/aph.1D184.