Suppr超能文献

An Unusual Case of Renal Failure and Hypertension.

出版信息

Br Med J. 1963 Jul 20;2(5350):167-70.

Abstract
摘要
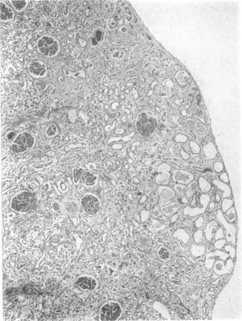
https://cdn.ncbi.nlm.nih.gov/pmc/blobs/7776/1872295/ad158b66301f/brmedj02507-0064-a.jpg

相似文献

1
An Unusual Case of Renal Failure and Hypertension.
Br Med J. 1963 Jul 20;2(5350):167-70.
2
Heart failure: An unusual cause.
Eur J Intern Med. 2007 Dec;18(8):597-9. doi: 10.1016/j.ejim.2007.02.031. Epub 2007 Jul 24.
5
Unusual problems in renal hypertension.
Int Surg. 1976 Mar;61(3):161-4.
6
An unusual cause of acute renal failure in sickle cell disease.
NDT Plus. 2009 Oct;2(5):376-8. doi: 10.1093/ndtplus/sfp081. Epub 2009 Jul 22.
8
Resistant Hypertension From Renal Artery Stenosis Leading to Heart Failure With Preserved Ejection Fraction.
J Investig Med High Impact Case Rep. 2018 Dec 7;6:2324709618816501. doi: 10.1177/2324709618816501. eCollection 2018 Jan-Dec.
9
Solitary renal myofibromatosis: an unusual cause of infantile hypertension.
Pediatrics. 1999 May;103(5):e66. doi: 10.1542/peds.103.5.e66.
10

本文引用的文献

文献AI研究员

20分钟写一篇综述,助力文献阅读效率提升50倍。

立即体验

用中文搜PubMed

大模型驱动的PubMed中文搜索引擎

马上搜索

文档翻译

学术文献翻译模型,支持多种主流文档格式。

立即体验