Suppr超能文献

一名中国患者出现伴有TACSTD2新突变的胶滴状角膜营养不良,并伴有球形变性。

Gelatinous drop-like corneal dystrophy with a novel mutation of TACSTD2 manifested in combination with spheroidal degeneration in a Chinese patient.

作者信息

Zhang Bei, Yao Yu-Feng

机构信息

Department of Ophthalmology and Sir Run Run Shaw Institute of Clinical Medicine, Sir Run Run Shaw Hospital, Zhejiang University School of Medicine, Zhejiang, PR China.

出版信息

Mol Vis. 2010 Aug 11;16:1570-5.

Abstract

PURPOSE

To report the clinicopathological findings of a Chinese patient with an unusual phenotype of gelatinous drop-like corneal dystrophy (GDLD) combined with spheroidal degeneration and to detect molecular defect in the tumor-associated calcium signal transducer 2 (TACSTD2) gene.

METHODS

Extensive physical and ophthalmologic examination of the patient was performed. Initially superficial keratectomy was performed for both eyes. Due to recurrence of the corneal opacity, penetrating keratoplasty for the right eye and deep lamellar keratoplasty for the left eye were performed. The obtained corneal tissues were examined by light microscopy. Molecular genetic analysis consisted of PCR amplification and direct automated sequencing of the complete coding region of TACSTD2.

RESULTS

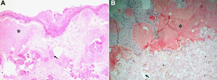
Slit-lamp biomicroscopy of the patient revealed bilateral band-like corneal opacities composed of brown-yellow, oily appearing droplets at the first visit. Two years after superficial keratectomy, elevated mulberry-like gelatinous lesions companied with brown-yellow droplets in the superficial cornea in both eyes were found. Histological analysis of corneal tissue revealed subepithelial amorphous deposits stained positively with Congo red, typical of GDLD. Meanwhile, eosinophilic globular deposits with irregular peripheral margins and various sizes, which were characteristics of spheroidal degeneration, were found. Sequencing of TACSTD2 from the patient revealed a novel homozygous missense mutation c.354G>C, leading to amino acid substitution Q118H in the patient.

CONCLUSIONS

This is the first report indicating a new type of gelatinous drop-like corneal dystrophy (GDLD) combined with spheroidal degeneration. Molecular analysis demonstrated a novel mutation in TACSTD2, which may expand the spectrum of mutations in TACSTD2.

摘要

目的

报告一名患有罕见表型的胶冻样滴状角膜营养不良(GDLD)合并球形变性的中国患者的临床病理特征,并检测肿瘤相关钙信号转导蛋白2(TACSTD2)基因的分子缺陷。

方法

对该患者进行了全面的体格和眼科检查。最初对双眼进行了表层角膜切除术。由于角膜混浊复发,对右眼进行了穿透性角膜移植术,对左眼进行了深板层角膜移植术。对获取的角膜组织进行了光学显微镜检查。分子遗传学分析包括TACSTD2完整编码区的PCR扩增和直接自动测序。

结果

初次就诊时,裂隙灯生物显微镜检查显示患者双眼有由棕黄色油性外观的液滴组成的带状角膜混浊。表层角膜切除术后两年,发现双眼表层角膜出现桑葚样隆起的胶冻样病变,并伴有棕黄色液滴。角膜组织的组织学分析显示上皮下无定形沉积物经刚果红染色呈阳性,这是GDLD的典型表现。同时,发现了具有不规则周边边缘和各种大小的嗜酸性球状沉积物,这是球形变性的特征。对该患者的TACSTD2进行测序,发现了一个新的纯合错义突变c.354G>C,导致患者氨基酸替换Q118H。

结论

这是首次报告一种新型的胶冻样滴状角膜营养不良(GDLD)合并球形变性。分子分析显示TACSTD2有一个新的突变,这可能会扩大TACSTD2突变的谱。

https://cdn.ncbi.nlm.nih.gov/pmc/blobs/b3ef/2927379/cab8d80aed61/mv-v16-1570-f1.jpg

文献检索

告别复杂PubMed语法,用中文像聊天一样搜索,搜遍4000万医学文献。AI智能推荐,让科研检索更轻松。

立即免费搜索

文件翻译

保留排版,准确专业,支持PDF/Word/PPT等文件格式,支持 12+语言互译。

免费翻译文档

深度研究

AI帮你快速写综述,25分钟生成高质量综述,智能提取关键信息,辅助科研写作。

立即免费体验