• 文献检索
  • 文档翻译
  • 深度研究
  • 学术资讯
  • Suppr Zotero 插件Zotero 插件
  • 邀请有礼
  • 套餐&价格
  • 历史记录
应用&插件
Suppr Zotero 插件Zotero 插件浏览器插件Mac 客户端Windows 客户端微信小程序
定价
高级版会员购买积分包购买API积分包
服务
文献检索文档翻译深度研究API 文档MCP 服务
关于我们
关于 Suppr公司介绍联系我们用户协议隐私条款
关注我们

Suppr 超能文献

核心技术专利:CN118964589B侵权必究
粤ICP备2023148730 号-1Suppr @ 2026

文献检索

告别复杂PubMed语法,用中文像聊天一样搜索,搜遍4000万医学文献。AI智能推荐,让科研检索更轻松。

立即免费搜索

文件翻译

保留排版,准确专业,支持PDF/Word/PPT等文件格式,支持 12+语言互译。

免费翻译文档

深度研究

AI帮你快速写综述,25分钟生成高质量综述,智能提取关键信息,辅助科研写作。

立即免费体验

下牙槽神经损伤后猫三叉神经节中的细胞计数

Cell counts in the trigeminal ganglion of the cat after inferior alveolar nerve injuries.

作者信息

Holland G R, Robinson P P

机构信息

Division of Endodontics, University of Alberta, Edmonton, Canada.

出版信息

J Anat. 1990 Aug;171:179-86.

PMID:2081704
原文链接:https://pmc.ncbi.nlm.nih.gov/articles/PMC1257139/
Abstract

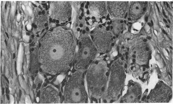
This investigation was designed to determine the change in cell numbers in the trigeminal ganglia following unilateral section of one of its peripheral branches. In 9 young adult cats, under general anesthesia, the inferior alveolar nerve was transected. In 3 of the animals the cut ends were reapposed and in the other 6 regeneration was blocked. After 15 weeks the trigeminal ganglia were removed, and the number of neurons present estimated by counting nucleoli in every third section. The counts were compared with those obtained from 3 unoperated control animals. The mean number of cells in the ganglia of control animals was 14,324 with no statistically significant difference between sides. There was no significant difference between counts from opposite sides of cats whose nerves were allowed to regenerate. In the animals in which regeneration was prevented the mean count on the operated side was 13,874 and on the unoperated 18,374. These differences were statistically significant and appeared to result from an increase in cell counts on the unoperated side rather than a reduction in the counts on the operated side. This may be explained by the presence of neurons with inconspicuous nucleoli in normal ganglia, which are stimulated to enlarge and become more prominent following peripheral nerve injury. This change could occur on both sides and would mask cell loss on the operated side and produce an apparent increase in the count on the unoperated side.

摘要

本研究旨在确定三叉神经节外周分支之一被单侧切断后细胞数量的变化。在9只成年幼猫中,在全身麻醉下切断下牙槽神经。其中3只动物的切断端重新对接,另外6只动物的神经再生被阻断。15周后取出三叉神经节,通过计算每第三切片中的核仁数量来估计神经元数量。将这些计数结果与3只未手术的对照动物的结果进行比较。对照动物神经节中的细胞平均数量为14,324个,两侧之间无统计学显著差异。神经被允许再生的猫的两侧计数之间也无显著差异。在再生被阻止的动物中,手术侧的平均计数为13,874个,未手术侧为18,374个。这些差异具有统计学显著性,似乎是由于未手术侧的细胞计数增加,而不是手术侧的计数减少。这可能是因为正常神经节中存在核仁不明显的神经元,在周围神经损伤后它们受到刺激而增大并变得更加明显。这种变化可能在两侧都发生,会掩盖手术侧的细胞损失,并导致未手术侧的计数明显增加。

https://cdn.ncbi.nlm.nih.gov/pmc/blobs/46e5/1257139/7f33089111ca/janat00039-0183-b.jpg
https://cdn.ncbi.nlm.nih.gov/pmc/blobs/46e5/1257139/744ff049387b/janat00039-0183-a.jpg
https://cdn.ncbi.nlm.nih.gov/pmc/blobs/46e5/1257139/7f33089111ca/janat00039-0183-b.jpg
https://cdn.ncbi.nlm.nih.gov/pmc/blobs/46e5/1257139/744ff049387b/janat00039-0183-a.jpg
https://cdn.ncbi.nlm.nih.gov/pmc/blobs/46e5/1257139/7f33089111ca/janat00039-0183-b.jpg

相似文献

1
Cell counts in the trigeminal ganglion of the cat after inferior alveolar nerve injuries.下牙槽神经损伤后猫三叉神经节中的细胞计数
J Anat. 1990 Aug;171:179-86.
2
The number and size of axons central and peripheral to inferior alveolar nerve injuries in the cat.猫下颌神经损伤后中枢和外周轴突的数量及大小
J Anat. 1990 Dec;173:129-37.
3
Trigeminal ganglion cell response to mental nerve transection and repair in the rat.大鼠三叉神经节细胞对颏神经横断及修复的反应
J Oral Maxillofac Surg. 1999 Apr;57(4):427-37. doi: 10.1016/s0278-2391(99)90284-7.
4
Regenerative organization of the trigeminal ganglion following mental nerve section and repair in the adult rat.成年大鼠颏神经切断与修复后三叉神经节的再生组织
J Comp Neurol. 1990 May 22;295(4):548-58. doi: 10.1002/cne.902950404.
5
Neuropeptide Y expression in the trigeminal ganglion and mandibular division of the trigeminal nerve after inferior alveolar nerve axotomy in young rats.幼鼠下牙槽神经切断术后三叉神经节及三叉神经下颌支中神经肽Y的表达
Exp Neurol. 1996 Dec;142(2):276-86. doi: 10.1006/exnr.1996.0197.
6
Nerve cell degeneration and death in the trigeminal ganglion of the adult rat following peripheral nerve transection.
J Neurocytol. 1978 Apr;7(2):229-50. doi: 10.1007/BF01217921.
7
The somatotopic organization of the cat trigeminal ganglion as determined by the horseradish peroxidase technique.用辣根过氧化物酶技术确定的猫三叉神经节的躯体定位组织。
Anat Rec. 1981 Sep;201(1):105-18. doi: 10.1002/ar.1092010113.
8
Evidence against a central stimulus for collateral reinnervation of oro-facial tissues in the cat.
Brain Res. 1984 Nov 19;322(1):33-40. doi: 10.1016/0006-8993(84)91177-6.
9
Experimental trigeminal nerve injury.
Crit Rev Oral Biol Med. 1996;7(3):237-58. doi: 10.1177/10454411960070030301.
10
Low-intensity pulsed ultrasound accelerates nerve regeneration following inferior alveolar nerve transection in rats.低强度脉冲超声可加速大鼠下牙槽神经横断后的神经再生。
Eur J Oral Sci. 2016 Jun;124(3):246-50. doi: 10.1111/eos.12271. Epub 2016 Apr 5.

引用本文的文献

1
Evaluation of inferior alveolar nerve regeneration by bifocal distraction osteogenesis with retrograde transportation of horseradish peroxidase in dogs.犬下颌骨双焦点牵张成骨联合辣根过氧化物酶逆行运输对下牙槽神经再生的评估
PLoS One. 2014 Apr 14;9(4):e94365. doi: 10.1371/journal.pone.0094365. eCollection 2014.
2
Comprehensive quantification of herpes simplex virus latency at the single-cell level.在单细胞水平对单纯疱疹病毒潜伏状态进行全面定量分析。
J Virol. 1997 Jul;71(7):5423-31. doi: 10.1128/JVI.71.7.5423-5431.1997.
3
Influence of age on the late retrograde effects of sciatic nerve section in the rat.

本文引用的文献

1
Quantitative effects of the peripheral innervation area on nerves and spinal ganglion cells.外周神经支配区域对神经和脊髓神经节细胞的定量影响。
J Comp Neurol. 1951 Apr;94(2):181-219. doi: 10.1002/cne.900940203.
2
DIFFERENTIAL RESPONSE OF TWO NEURON TYPES TO FACIAL NERVE TRANSECTION IN YOUNG AND OLD RABBITS.两种神经元类型对年轻和老年兔子面神经横断的不同反应。
J Neuropathol Exp Neurol. 1963 Oct;22:594-616. doi: 10.1097/00005072-196310000-00003.
3
Asymmetries and symmetries in the number of thoracic dorsal root ganglion cells.胸段背根神经节细胞数量的不对称与对称情况。
J Anat. 1995 Aug;187 ( Pt 1)(Pt 1):27-35.
4
The composition of trigeminal nerve branches in normal adult chickens and after debeaking at different ages.正常成年鸡及不同年龄断喙后三叉神经分支的组成。
J Anat. 1995 Jun;186 ( Pt 3)(Pt 3):619-27.
5
The number and size of axons central and peripheral to inferior alveolar nerve injuries in the cat.猫下颌神经损伤后中枢和外周轴突的数量及大小
J Anat. 1990 Dec;173:129-37.
6
Reinnervation of developing rat molars.发育中大鼠磨牙的神经再支配
J Anat. 1991 Jun;176:169-79.
7
The reaction of mesencephalic trigeminal neurons to peripheral nerve transection in the adult rat.成年大鼠中脑三叉神经神经元对周围神经横断的反应。
Exp Brain Res. 1992;90(3):567-71. doi: 10.1007/BF00230940.
J Comp Neurol. 1981 Nov 1;202(3):365-72. doi: 10.1002/cne.902020306.
4
Effect of sciatic neurectomy on neuronal number and size distribution in the L7 ganglion of kittens.坐骨神经切除术对小猫L7神经节中神经元数量和大小分布的影响。
Exp Neurol. 1981 Nov;74(2):597-604. doi: 10.1016/0014-4886(81)90194-1.
5
Reinnervation of teeth, mucous membrane and skin following section of the inferior alveolar nerve in the cat.猫的下牙槽神经切断后牙齿、黏膜和皮肤的再支配
Brain Res. 1981 Sep 14;220(2):241-53. doi: 10.1016/0006-8993(81)91215-4.
6
On the number and nature of regenerating myelinated axons after lesions of cutaneous nerves in the cat.猫皮肤神经损伤后再生有髓轴突的数量和性质
J Physiol. 1981;313:275-86. doi: 10.1113/jphysiol.1981.sp013664.
7
Primary neurons maintain their central axonal arbors in the spinal dorsal horn following peripheral nerve injury: an anatomical analysis using transganglionic transport of horseradish peroxidase.
Brain Res. 1982 Sep 30;248(2):377-81. doi: 10.1016/0006-8993(82)90598-4.
8
Inferior alveolar nerve regeneration and incisor pulpal reinnervation following intramandibular neurotomy in the cat.猫下颌骨内神经切断术后下牙槽神经再生及切牙髓再支配
Brain Res. 1982 Jul 29;244(2):259-68. doi: 10.1016/0006-8993(82)90084-1.
9
Dental nerve regeneration in rats. II. Autoradiographic studies of nerve regeneration to molar pulp and dentin.大鼠牙神经再生。II. 磨牙牙髓和牙本质神经再生的放射自显影研究。
Pain. 1983 Apr;15(4):359-75. doi: 10.1016/0304-3959(83)90072-6.
10
Rearrangement of neuronal responses in the trigeminal system of the rat following peripheral nerve section.大鼠外周神经切断后三叉神经系统中神经元反应的重排。
J Physiol. 1984 Jul;352:425-45. doi: 10.1113/jphysiol.1984.sp015301.