Suppr超能文献

致命性基底动脉血栓形成可能与轻微颈部创伤有关:一例病例报告。

Fatal basilar thrombosis possibly related to minor cervical trauma: a case report.

作者信息

Shaqiri Elmaz, Vyshka Gentian, Sinamati Admir, Ymaj Besim, Ismaili Zija

机构信息

Institute of Legal Medicine, University Hospital Center "Mother Theresa", Rr. Dibres 371, 1005 Tirana, Albania.

出版信息

Case Rep Med. 2010;2010. doi: 10.1155/2010/401978. Epub 2010 Aug 8.

Abstract

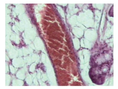
Background. Basilar thrombosis is a potentially fatal event, whose traumatic etiology has been repeatedly stated. Methods. We performed the autopsy and the microscopic examination of the brain stem structures from an individual, whose sudden death raised logical suspicions regarding the causative factor. Results. The brain was swollen and clearly hyperemic; a massive basilar thrombus with complete occlusion of the median segment of the basilar artery was macroscopically seen. The brainstem showed an infarcted zone in the pons, with secondary hemorrhagic changes, mainly in the form of multiple petechial hemorrhages. Pontine arteries showed extensive alterations, mainly in the form of severed endothelium, which suggested a thrombotic-traumatic mechanism as the main etiological factor. Conclusions. Minor injuries, such as slight whiplashes, abrupt neck movements, neck trauma related to the slowing down of the vehicles, and critical neck positioning, can all of them explain a thrombotic event in the basilar artery, leading to a fatal occurrence. Other risk factors may obviously concur, but their importance seems unclear.

摘要

背景。基底动脉血栓形成是一种潜在的致命事件,其创伤性病因已被多次提及。方法。我们对一名个体的脑干结构进行了尸检和显微镜检查,该个体的猝死引发了对致病因素的合理怀疑。结果。大脑肿胀且明显充血;肉眼可见一个巨大的基底动脉血栓,完全阻塞了基底动脉的中段。脑干在脑桥显示出一个梗死区,并伴有继发性出血改变,主要表现为多发性瘀点出血。脑桥动脉显示出广泛的改变,主要表现为内皮细胞断裂,这提示血栓形成 - 创伤机制是主要病因。结论。轻微损伤,如轻微鞭打损伤、突然的颈部运动、与车辆减速相关的颈部创伤以及关键的颈部姿势,都可以解释基底动脉的血栓形成事件,导致致命后果。其他危险因素显然可能同时存在,但其重要性似乎尚不清楚。

https://cdn.ncbi.nlm.nih.gov/pmc/blobs/fdf3/2935134/40e3eab0faa5/CRM2010-401978.001.jpg

文献AI研究员

20分钟写一篇综述,助力文献阅读效率提升50倍。

立即体验

用中文搜PubMed

大模型驱动的PubMed中文搜索引擎

马上搜索

文档翻译

学术文献翻译模型,支持多种主流文档格式。

立即体验