Suppr超能文献

Laparoscopic excision of a large hepatic cyst.

作者信息

Tabrizian Parissa, Midulla Peter S

机构信息

Department of Surgery, Division of Pediatric Surgery, The Mount Sinai Medical Center, 5 E 98th St, Box 1259, 15th floor, New York, NY 10029, USA.

出版信息

JSLS. 2010 Apr-Jun;14(2):272-4. doi: 10.4293/108680810X12785289144638.

Abstract

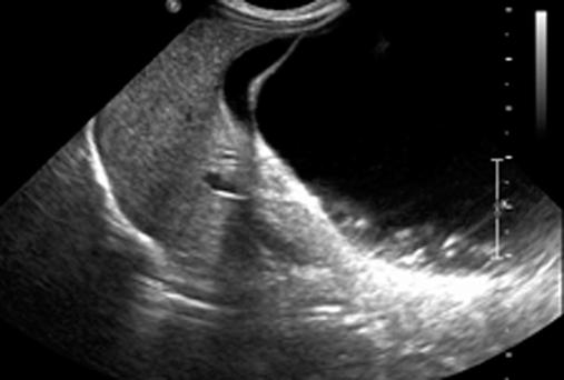
Benign congenital liver cysts are rare in the pediatric population and often present a challenge in the diagnosis. Therefore, with recent advances in the field of minimally invasive surgery, this technique may be ideal in achieving both diagnosis and curative resection. We describe the case of a 2-month-old female initially referred for an antenatal ultrasound in the third trimester revealing a 7-cm intraabdominal cystic lesion of unknown origin. She was found to have a 10-cm hepatic cyst successfully treated by laparoscopic surgery. Our approach consisted of complete cyst excision along with its attached hepatic parenchyma. We recommend this technique as safe and feasible.

摘要
https://cdn.ncbi.nlm.nih.gov/pmc/blobs/c399/3043582/cc1816982568/jls0021026150001.jpg

文献AI研究员

20分钟写一篇综述,助力文献阅读效率提升50倍。

立即体验

用中文搜PubMed

大模型驱动的PubMed中文搜索引擎

马上搜索

文档翻译

学术文献翻译模型,支持多种主流文档格式。

立即体验