Suppr超能文献

阑尾系膜血管异常:部分性小肠梗阻的一个独特病因。

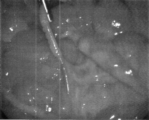
Aberrant mesoappendix vasculature: a unique cause of partial small bowel obstruction.

作者信息

Coughlin Lisa Marie, Sparks Dorothy Ann, Chase Daniel Mark, Marx Robert Joseph

机构信息

Department of General Surgery, Northside Medical Center, Western Reserve Care Systems/Forum Health, 500 Gypsy Ln, Youngstown, OH 44501, USA.

出版信息

JSLS. 2010 Apr-Jun;14(2):292-5. doi: 10.4293/108680810X12785289144881.

Abstract

Small bowel obstructions are most frequently caused by hernias or adhesive bands. However, there have been several rare reported cases of mechanical small bowel obstructions caused by loops of bowel or vascular bands. We describe a case of a 30-year-old woman with a clinical presentation suggestive of appendicitis. Laparoscopic evaluation showed an aberrant vessel looping around the small bowel extending from the lateral anterior abdominal wall to the mesoappendix, resulting in a partial small bowel obstruction. We review the literature relating to bowel obstructions resulting from bowel knots and vascular bands. To our knowledge, this is the first reported case of a small bowel obstruction caused by an aberrant intraabdominal vessel.

摘要

小肠梗阻最常见的病因是疝气或粘连带。然而,有几例罕见的由肠袢或血管带导致的机械性小肠梗阻病例报告。我们描述了一例30岁女性患者,其临床表现提示阑尾炎。腹腔镜检查发现一条异常血管从小腹前外侧壁延伸至阑尾系膜,环绕小肠,导致部分小肠梗阻。我们回顾了与肠结和血管带所致肠梗阻相关的文献。据我们所知,这是首例由腹腔内异常血管导致小肠梗阻的病例报告。

https://cdn.ncbi.nlm.nih.gov/pmc/blobs/b3ef/3043588/d2110695e285/jls0021026190001.jpg

文献AI研究员

20分钟写一篇综述,助力文献阅读效率提升50倍。

立即体验

用中文搜PubMed

大模型驱动的PubMed中文搜索引擎

马上搜索

文档翻译

学术文献翻译模型,支持多种主流文档格式。

立即体验