Suppr超能文献

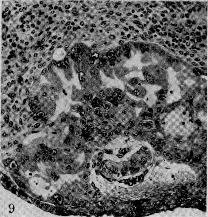
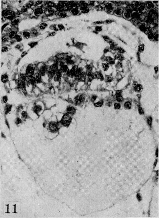
On the development of the amnion and exoccelomic membrane in the previllous human ovum.

作者信息

HERTIG A T

出版信息

Yale J Biol Med. 1945 Dec;18(2):107-15.

Abstract
摘要
https://cdn.ncbi.nlm.nih.gov/pmc/blobs/61fc/2601794/040e6b964005/yjbm00486-0035-a.jpg

文献AI研究员

20分钟写一篇综述,助力文献阅读效率提升50倍。

立即体验

用中文搜PubMed

大模型驱动的PubMed中文搜索引擎

马上搜索

文档翻译

学术文献翻译模型,支持多种主流文档格式。

立即体验