Suppr超能文献

三角肌倾斜手术:对喙肱距离和盂肱关节外旋的影响。

Triangle tilt surgery: effect on coracohumeral distance and external rotation of the glenohumeral joint.

作者信息

Nath Rahul K, Mahmooduddin Faiz

机构信息

Texas Nerve and Paralysis Institute, 6400 Fannin St, Ste 2420, Houston, TX.

出版信息

Eplasty. 2010 Nov 19;10:e67.

Abstract

OBJECTIVE

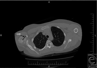
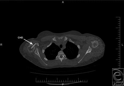
Shoulder muscle imbalances and bone deformities that develop secondary to obstetric brachial plexus injury have been extensively studied. Less emphasis has focused on coracohumeral distance, a small value potentially being linked to impaired shoulder external rotation. The purpose of this study is to analyze coracohumeral distances and shoulder external rotation in obstetric brachial plexus injury patients before and after triangle tilt surgery.

METHODS

Twenty patients with deformities secondary to obstetric brachial plexus injury were included. Coracohumeral distances were measured on computed tomographic images. Clinical functioning was evaluated through video recordings by using a modified Mallet scale. Paired Student t tests were used to determine statistical significance of anatomic and functional parameters, pre- and postoperatively.

RESULTS

Coracohumeral distance (P < .0006), total Mallet score (P < .0001), supination angle (P < .0001), and individual Mallet scores for all external rotation parameters including hand-to-mouth (P < .0001), supination (P = .0010), external rotation (P < .0001), hand-to-neck (P < .0001), and hand-to-spine (P = .0064) were significantly higher postoperatively than preoperatively for affected shoulders. Hand-to-mouth angles were significantly lower postoperatively than preoperatively (P < .0001). Coracohumeral distance in unaffected shoulders remained unchanged.

CONCLUSIONS

Triangle tilt surgery significantly improves coracohumeral distance and clinical functioning in obstetric brachial plexus injury patients. Coracohumeral distance plays a key role in shoulder external rotation. Increasing coracohumeral distance significantly improves all external rotation parameters and total Mallet scores. The triangle tilt surgery relieves excessive tightness of the anterior stabilizing complex, widens coracohumeral distance, and improves external rotation of shoulder.

摘要

目的

继发于产瘫臂丛神经损伤的肩部肌肉失衡和骨骼畸形已得到广泛研究。较少关注的是喙肱距离,该数值较小可能与肩部外旋功能受损有关。本研究的目的是分析产瘫臂丛神经损伤患者在三角肌倾斜手术前后的喙肱距离和肩部外旋情况。

方法

纳入20例继发于产瘫臂丛神经损伤的畸形患者。在计算机断层扫描图像上测量喙肱距离。通过使用改良的马利特量表的视频记录来评估临床功能。采用配对学生t检验来确定术前和术后解剖学和功能参数的统计学意义。

结果

患侧肩部术后的喙肱距离(P <.0006)、马利特总分(P <.0001)、旋后角度(P <.0001)以及所有外旋参数的个体马利特评分,包括手到口(P <.0001)、旋后(P =.0010)、外旋(P <.0001)、手到颈(P <.0001)和手到脊柱(P =.0064)均显著高于术前。手到口角度术后显著低于术前(P <.0001)。未受影响肩部的喙肱距离保持不变。

结论

三角肌倾斜手术显著改善了产瘫臂丛神经损伤患者的喙肱距离和临床功能。喙肱距离在肩部外旋中起关键作用。增加喙肱距离可显著改善所有外旋参数和马利特总分。三角肌倾斜手术减轻了前稳定复合体的过度紧张,拓宽了喙肱距离,并改善了肩部外旋。

https://cdn.ncbi.nlm.nih.gov/pmc/blobs/df63/2990465/37f95b5c08fc/eplasty10e67_fig1.jpg

文献AI研究员

20分钟写一篇综述,助力文献阅读效率提升50倍。

立即体验

用中文搜PubMed

大模型驱动的PubMed中文搜索引擎

马上搜索

文档翻译

学术文献翻译模型,支持多种主流文档格式。

立即体验