Suppr超能文献

Niemann-Pick 病类型 2C 蛋白在乳突形成中的新作用。

A novel role for Niemann-Pick disease type 2C protein in papillae formation.

机构信息

Endocrinology and Diabetes Division, Department of Medicine, Veterans Affairs Greater Los Angeles Health Care System, David Geffen School of Medicine at University of California Los Angeles, Los Angeles, California, United States of America.

出版信息

PLoS One. 2011 Jan 6;6(1):e15777. doi: 10.1371/journal.pone.0015777.

Abstract

BACKGROUND

Despite the presence of papillary structures and papillary tumors in humans, the mechanism of papillae formation is unknown. We describe herein a novel role for Niemann-Pick disease type 2C (NPC2) protein, a cholesterol binding protein in the lysosome, in papillae formation.

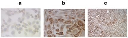
METHODOLOGY/PRINCIPAL FINDING: We examined NPC2 protein expression in surgical samples of papillary tissues by immunohistochemical stain, and all papillary tissues expressed NPC2 protein in the epithelium. To examine our hypothesis of NPC2 protein-mediated papillae formation, we carried out xenograft experiments using wild H460 cells (large cell lung carcinoma cell line) that constitutively expressed abundant NPC2 protein and NPC2 protein-depleted H460 cells by NPC2 shRNA. The xenografts of wild H460 cells and empty shRNA vector cells showed distinct papillae formation, whereas NPC2 protein-depleted H460 cells displayed markedly reduced or no papillae. Since all papillary tissues have open spaces we examined whether NPC2 protein might also contribute to the creation of open spaces. The TUNEL assay in the xenografts of wild and empty shRNA vector H460 cells showed massive cell death, and NPC2 protein-depleted cells displayed minimal cell death. Measurement of caspase 3/7 activities in cultured H460 cells supported NPC2 protein-mediated apoptotic cell death. The presence of excess NPC2 protein, however, did not always produce papillae as seen in the xenografts of CHO cells that were stably transfected with NPC2.

CONCLUSIONS/SIGNIFICANCE: The NPC2 protein of certain cells forms papillae coupled with apoptosis that creates open space. This protein may have future applications to modulate papillae formation and papillary growth in tumor tissues.

摘要

背景

尽管人类存在乳头状结构和乳头状肿瘤,但乳头状结构形成的机制尚不清楚。本文描述了溶酶体中胆固醇结合蛋白 Niemann-Pick 病 2C(NPC2)蛋白在乳头形成中的新作用。

方法/主要发现:我们通过免疫组织化学染色检查了乳头状组织的手术样本中 NPC2 蛋白的表达,所有乳头状组织的上皮细胞均表达 NPC2 蛋白。为了检验 NPC2 蛋白介导乳头形成的假说,我们使用野生型 H460 细胞(大细胞肺癌细胞系)进行了异种移植实验,这些细胞持续表达大量 NPC2 蛋白,并用 NPC2 shRNA 耗尽 NPC2 蛋白。野生型 H460 细胞和空 shRNA 载体细胞的异种移植物显示出明显的乳头形成,而 NPC2 蛋白耗尽的 H460 细胞显示出明显减少或没有乳头形成。由于所有乳头状组织都有空隙,我们检查了 NPC2 蛋白是否也有助于创造空隙。野生型和空 shRNA 载体 H460 细胞异种移植物中的 TUNEL 检测显示大量细胞死亡,而 NPC2 蛋白耗尽的细胞显示出最小的细胞死亡。对培养的 H460 细胞中 caspase 3/7 活性的测量支持 NPC2 蛋白介导的细胞凋亡。然而,正如稳定转染 NPC2 的 CHO 细胞异种移植物中所见,过量的 NPC2 蛋白并不总是产生乳头。

结论/意义:某些细胞的 NPC2 蛋白与凋亡一起形成乳头,从而产生空隙。该蛋白可能在未来用于调节肿瘤组织中的乳头形成和乳头状生长。

https://cdn.ncbi.nlm.nih.gov/pmc/blobs/dbbd/3017059/01cebe8e4fc2/pone.0015777.g001.jpg

文献检索

告别复杂PubMed语法,用中文像聊天一样搜索,搜遍4000万医学文献。AI智能推荐,让科研检索更轻松。

立即免费搜索

文件翻译

保留排版,准确专业,支持PDF/Word/PPT等文件格式,支持 12+语言互译。

免费翻译文档

深度研究

AI帮你快速写综述,25分钟生成高质量综述,智能提取关键信息,辅助科研写作。

立即免费体验