Department of Anesthesiology and Pain Medicine, Seoul Secred Heart Hospital, Seoul, Korea.
Korean J Anesthesiol. 2010 Dec;59 Suppl(Suppl):S69-72. doi: 10.4097/kjae.2010.59.S.S69. Epub 2010 Dec 31.
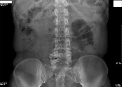
Lumbar epidural anesthesia is useful in a variety of chronic benign pain syndromes, including lumbar radiculopathy, low back pain syndrome, spinal stenosis, and vertebral compression fractures. Given the increased number of epidural nerve blocks being performed, some have reported unexplained complications of a transient or permanent nature and with varying degrees of severity. However, no case has been reported of a broken epidural needle tip retained in the lumbar facet joint area. This represents the first reported case presentation of foraminal stenosis developing in a patient after a retained epidural needle tip.
腰椎硬膜外麻醉在多种慢性良性疼痛综合征中都很有用,包括腰椎神经根病、腰痛综合征、椎管狭窄和椎体压缩性骨折。由于硬膜外神经阻滞的数量增加,一些人报告了一些原因不明的、暂时或永久性的、严重程度不同的并发症。然而,尚未有报告称硬膜外针尖端断裂并残留在腰椎小关节区域的病例。这代表了首例在残留硬膜外针尖端后发生椎间孔狭窄的患者病例报告。