Suppr超能文献

儿童期卒中的当前进展

Current proceedings of childhood stroke.

作者信息

Fan Hueng-Chuen, Hu Chih-Fen, Juan Chun-Jung, Chen Shyi-Jou

机构信息

Department of Pediatrics, Tri-Service General Hospital, National Defense Medical Center, Neihu, Taipei 114, Taiwan.

出版信息

Stroke Res Treat. 2011 Feb 7;2011:432839. doi: 10.4061/2011/432839.

Abstract

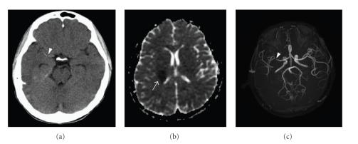
Stroke is a sudden onset neurological deficit due to a cerebrovascular event. In children, the recognition of stroke is often delayed due to the low incidence of stroke and the lack of specific assessment measures to this entity. The causes of pediatric stroke are significantly different from that of adult stroke. The lack of safety and efficiency data in the treatment is the challenge while facing children with stroke. Nearly half of survivors of pediatric stroke may have neurologic deficits affecting functional status and quality of life. They may cause a substantial burden on health care resources. Hence, an accurate history, including onset and duration of symptoms, risk factors, and a complete investigation, including hematologic, neuroimaging, and metabolic studies is the key to make a corrective diagnosis. A prompt and optimal treatment without delay may minimize the damage to the brain.

摘要

中风是一种由脑血管事件导致的突发性神经功能缺损。在儿童中,由于中风发病率低且缺乏针对该病症的特异性评估措施,中风的识别往往会延迟。小儿中风的病因与成人中风有显著差异。在治疗方面缺乏安全性和有效性数据是治疗中风患儿时面临的挑战。小儿中风幸存者中近一半可能存在影响功能状态和生活质量的神经功能缺损。它们可能给医疗资源带来巨大负担。因此,准确的病史,包括症状的发作和持续时间、危险因素,以及全面的检查,包括血液学、神经影像学和代谢研究,是做出正确诊断的关键。及时且无延迟地进行迅速且最佳的治疗可将对大脑的损伤降至最低。

https://cdn.ncbi.nlm.nih.gov/pmc/blobs/dace/3038616/ed10915b17de/SRT2011-432839.001.jpg

文献检索

告别复杂PubMed语法,用中文像聊天一样搜索,搜遍4000万医学文献。AI智能推荐,让科研检索更轻松。

立即免费搜索

文件翻译

保留排版,准确专业,支持PDF/Word/PPT等文件格式,支持 12+语言互译。

免费翻译文档

深度研究

AI帮你快速写综述,25分钟生成高质量综述,智能提取关键信息,辅助科研写作。

立即免费体验