Suppr超能文献

通过侧支循环供血的冠状动脉中动脉粥样硬化疾病负担的血管造影评估:血管重建决策中的一个潜在陷阱。

Angiographic estimation of atherosclerotic disease burden in a coronary artery fed by collaterals: a potential pitfall in decision for revascularization.

作者信息

Tsigkas Grigorios, Mylona Panagiota, Davlouros Periklis, Alexopoulos Dimitrios

机构信息

Cardiology Department, University Hospital of Patras, Patras, Greece.

出版信息

Vasc Health Risk Manag. 2011;7:165-7. doi: 10.2147/VHRM.S18483. Epub 2011 Mar 22.

Abstract

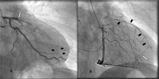
Despite the remarkable advances in revascularization strategies made during the last decade, a significant proportion of patients are excluded from either percutaneous coronary intervention or coronary artery bypass grafting because of unsuitable coronary anatomy. Diffuse severe coronary artery disease, small vessel caliber, chronic total occlusions, or extremely calcified vessels are frequent reasons for deferring revascularization with either percutaneous coronary intervention or coronary artery bypass grafting. We present a case concerning a middle-aged asymptomatic patient who was treated successfully with percutaneous coronary intervention due to a chronic total occlusion lesion of the left anterior descending artery. Coronary angiography is an inadequate method for the estimation of the burden of atherosclerotic disease in an artery fed by collaterals. Assessment of any residual antegrade flow, and ipsilateral and contralateral collateral filling of the segments distal to the occlusion with invasive or noninvasive techniques, could affect the appropriate decision-making by physicians.

摘要

尽管在过去十年中血管重建策略取得了显著进展,但由于冠状动脉解剖结构不合适,仍有相当一部分患者被排除在经皮冠状动脉介入治疗或冠状动脉旁路移植术之外。弥漫性严重冠状动脉疾病、小血管管径、慢性完全闭塞或血管极度钙化是推迟经皮冠状动脉介入治疗或冠状动脉旁路移植术进行血管重建的常见原因。我们报告一例中年无症状患者,该患者因左前降支慢性完全闭塞病变成功接受了经皮冠状动脉介入治疗。冠状动脉造影对于评估由侧支循环供血的动脉中动脉粥样硬化疾病的负担是一种不充分的方法。采用侵入性或非侵入性技术评估任何残余的顺行血流以及闭塞远端节段的同侧和对侧侧支循环充盈情况,可能会影响医生做出恰当的决策。

https://cdn.ncbi.nlm.nih.gov/pmc/blobs/11de/3072739/52258870501a/vhrm-7-165f1.jpg

文献AI研究员

20分钟写一篇综述,助力文献阅读效率提升50倍。

立即体验

用中文搜PubMed

大模型驱动的PubMed中文搜索引擎

马上搜索

文档翻译

学术文献翻译模型,支持多种主流文档格式。

立即体验