Suppr超能文献

磷酸二酯酶 10A 的上调导致肺血管重构。

Phosphodiesterase 10A upregulation contributes to pulmonary vascular remodeling.

机构信息

Medical Clinic II/V, University Hospital, Giessen, Germany.

出版信息

PLoS One. 2011 Apr 11;6(4):e18136. doi: 10.1371/journal.pone.0018136.

Abstract

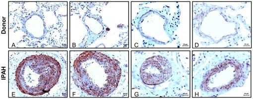
Phosphodiesterases (PDEs) modulate the cellular proliferation involved in the pathophysiology of pulmonary hypertension (PH) by hydrolyzing cAMP and cGMP. The present study was designed to determine whether any of the recently identified PDEs (PDE7-PDE11) contribute to progressive pulmonary vascular remodeling in PH. All in vitro experiments were performed with lung tissue or pulmonary arterial smooth muscle cells (PASMCs) obtained from control rats or monocrotaline (MCT)-induced pulmonary hypertensive (MCT-PH) rats, and we examined the effects of the PDE10 inhibitor papaverine (Pap) and specific small interfering RNA (siRNA). In addition, papaverine was administrated to MCT-induced PH rats from day 21 to day 35 by continuous intravenous infusion to examine the in vivo effects of PDE10A inhibition. We found that PDE10A was predominantly present in the lung vasculature, and the mRNA, protein, and activity levels of PDE10A were all significantly increased in MCT PASMCs compared with control PASMCs. Papaverine and PDE10A siRNA induced an accumulation of intracellular cAMP, activated cAMP response element binding protein and attenuated PASMC proliferation. Intravenous infusion of papaverine in MCT-PH rats resulted in a 40%-50% attenuation of the effects on pulmonary hypertensive hemodynamic parameters and pulmonary vascular remodeling. The present study is the first to demonstrate a central role of PDE10A in progressive pulmonary vascular remodeling, and the results suggest a novel therapeutic approach for the treatment of PH.

摘要

磷酸二酯酶(PDEs)通过水解 cAMP 和 cGMP 来调节肺高血压(PH)病理生理学中的细胞增殖。本研究旨在确定最近鉴定的 PDEs(PDE7-PDE11)中是否有任何一种参与 PH 中进行性肺血管重构。所有体外实验均使用来自对照大鼠或野百合碱(MCT)诱导的肺动脉高压(MCT-PH)大鼠的肺组织或肺动脉平滑肌细胞(PASMC)进行,并检查了 PDE10 抑制剂罂粟碱(Pap)和特异性小干扰 RNA(siRNA)的作用。此外,通过连续静脉输注将罂粟碱施用于 MCT 诱导的 PH 大鼠,从第 21 天至第 35 天,以检查 PDE10A 抑制的体内作用。我们发现 PDE10A 主要存在于肺血管中,与对照 PASMC 相比,MCT PASMC 中的 PDE10A mRNA、蛋白和活性水平均显著增加。罂粟碱和 PDE10A siRNA 诱导细胞内 cAMP 积累,激活 cAMP 反应元件结合蛋白并减弱 PASMC 增殖。在 MCT-PH 大鼠中静脉内输注罂粟碱可使对肺动脉高压血流动力学参数和肺血管重构的影响降低 40%-50%。本研究首次证明了 PDE10A 在进行性肺血管重构中的核心作用,并提示了一种治疗 PH 的新治疗方法。

https://cdn.ncbi.nlm.nih.gov/pmc/blobs/7639/3073929/ec67bf9f0183/pone.0018136.g001.jpg

文献检索

告别复杂PubMed语法,用中文像聊天一样搜索,搜遍4000万医学文献。AI智能推荐,让科研检索更轻松。

立即免费搜索

文件翻译

保留排版,准确专业,支持PDF/Word/PPT等文件格式,支持 12+语言互译。

免费翻译文档

深度研究

AI帮你快速写综述,25分钟生成高质量综述,智能提取关键信息,辅助科研写作。

立即免费体验