• 文献检索
  • 文档翻译
  • 深度研究
  • 学术资讯
  • Suppr Zotero 插件Zotero 插件
  • 邀请有礼
  • 套餐&价格
  • 历史记录
应用&插件
Suppr Zotero 插件Zotero 插件浏览器插件Mac 客户端Windows 客户端微信小程序
定价
高级版会员购买积分包购买API积分包
服务
文献检索文档翻译深度研究API 文档MCP 服务
关于我们
关于 Suppr公司介绍联系我们用户协议隐私条款
关注我们

Suppr 超能文献

核心技术专利:CN118964589B侵权必究
粤ICP备2023148730 号-1Suppr @ 2026

文献检索

告别复杂PubMed语法,用中文像聊天一样搜索,搜遍4000万医学文献。AI智能推荐,让科研检索更轻松。

立即免费搜索

文件翻译

保留排版,准确专业,支持PDF/Word/PPT等文件格式,支持 12+语言互译。

免费翻译文档

深度研究

AI帮你快速写综述,25分钟生成高质量综述,智能提取关键信息,辅助科研写作。

立即免费体验

一名青少年肠梗阻的罕见病因:病例报告及治疗回顾

An unusual cause of intestinal obstruction in an adolescent: a case report and management review.

作者信息

Yeung Victor Hip-Wo, Chao Nicholas Sik-Yin, Leung Michael Wai-Yip, Kwok Wing-Kin

机构信息

Division of Pediatric Surgery, Department of Surgery, Queen Elizabeth Hospital, Hong Kong.

出版信息

Pediatr Rep. 2009 Jun 8;1(1):e8. doi: 10.4081/pr.2009.e8.

DOI:10.4081/pr.2009.e8
PMID:21589824
原文链接:https://pmc.ncbi.nlm.nih.gov/articles/PMC3096030/
Abstract

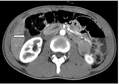
A 15-year-old boy presented with intestinal obstruction two weeks following a blunt abdominal trauma. He had progressive bilious vomiting without abdominal distension or peritonitis. The contrast computed tomography (CT) scan of the abdomen provided the definitive diagnosis: there was an obstructing duodenal hematoma, which might have been slowly progressing or have arisen from secondary hemorrhage after the initial injury. The boy remained stable over a ten-day period of conservative treatment, and his obstructive symptoms and signs were resolved completely. A follow-up CT scan of the abdomen (16 days after admission) showed an almost complete resolution of the hematoma. Delayed duodenal hematoma causing intestinal obstruction has been reported rarely in previous literature. Occasionally a significant secondary hemorrhage resulting in intestinal obstruction can become life threatening. Clinical follow-up is paramount after initial recovery. Although conservative treatment suffices in most cases, the surgeon should be wary of the need for definitive surgical intervention if there is evidence of ongoing acute hemorrhage or of the obstructing hematoma failing to resolve. Laparoscopic drainage of the hematoma provides optimistic results for patients failing conservative management.

摘要

一名15岁男孩在腹部钝性创伤两周后出现肠梗阻。他有进行性胆汁性呕吐,无腹胀或腹膜炎。腹部对比计算机断层扫描(CT)明确诊断为:存在梗阻性十二指肠血肿,可能是缓慢进展或由初始损伤后的继发性出血引起。该男孩在为期十天的保守治疗期间病情稳定,梗阻症状和体征完全消失。腹部随访CT扫描(入院16天后)显示血肿几乎完全消退。以往文献中很少报道延迟性十二指肠血肿导致肠梗阻。偶尔,严重的继发性出血导致肠梗阻可能危及生命。初始恢复后临床随访至关重要。虽然大多数情况下保守治疗就足够了,但如果有持续急性出血或梗阻性血肿未消退的证据,外科医生应警惕是否需要进行确定性手术干预。对于保守治疗失败的患者,腹腔镜引流血肿可取得乐观效果。

https://cdn.ncbi.nlm.nih.gov/pmc/blobs/673e/3096030/e8dd3a3dc809/pr-2009-1-e8-g003.jpg
https://cdn.ncbi.nlm.nih.gov/pmc/blobs/673e/3096030/0d81c4341a71/pr-2009-1-e8-g001.jpg
https://cdn.ncbi.nlm.nih.gov/pmc/blobs/673e/3096030/0201aaf66d79/pr-2009-1-e8-g002.jpg
https://cdn.ncbi.nlm.nih.gov/pmc/blobs/673e/3096030/e8dd3a3dc809/pr-2009-1-e8-g003.jpg
https://cdn.ncbi.nlm.nih.gov/pmc/blobs/673e/3096030/0d81c4341a71/pr-2009-1-e8-g001.jpg
https://cdn.ncbi.nlm.nih.gov/pmc/blobs/673e/3096030/0201aaf66d79/pr-2009-1-e8-g002.jpg
https://cdn.ncbi.nlm.nih.gov/pmc/blobs/673e/3096030/e8dd3a3dc809/pr-2009-1-e8-g003.jpg

相似文献

1
An unusual cause of intestinal obstruction in an adolescent: a case report and management review.一名青少年肠梗阻的罕见病因:病例报告及治疗回顾
Pediatr Rep. 2009 Jun 8;1(1):e8. doi: 10.4081/pr.2009.e8.
2
Traumatic Intramural Jejunal Hematoma: A Case Report and Review of Literature.创伤性空肠壁内血肿:一例报告并文献复习
Cureus. 2022 Nov 13;14(11):e31458. doi: 10.7759/cureus.31458. eCollection 2022 Nov.
3
Traumatic Jejunal hematoma in childhood-A case report and review of literature.儿童创伤性空肠血肿——一例报告并文献复习
Int J Surg Case Rep. 2016;29:56-58. doi: 10.1016/j.ijscr.2016.10.055. Epub 2016 Oct 27.
4
Acquired duodenal obstruction in children.儿童获得性十二指肠梗阻
Pediatr Neonatol. 2008 Oct;49(5):193-6. doi: 10.1016/S1875-9572(09)60008-5.
5
Bowel obstruction caused by an intramural duodenal hematoma: a case report of endoscopic incision and drainage.壁内十二指肠血肿所致肠梗阻:内镜切开引流1例报告
J Korean Med Sci. 2009 Feb;24(1):179-83. doi: 10.3346/jkms.2009.24.1.179. Epub 2009 Feb 28.
6
Clinical images. Delayed duodenal intramural hematoma with obstruction.临床影像。伴有梗阻的迟发性十二指肠壁内血肿。
Am J Surg. 2010 Jun;199(6):e77-8. doi: 10.1016/j.amjsurg.2009.07.046.
7
Peritonitis secondary to traumatic duodenal laceration in the presence of a large pancreatic pseudocyst: a case report.巨大胰腺假性囊肿存在时外伤性十二指肠撕裂继发腹膜炎:一例报告
J Med Case Rep. 2011 Oct 26;5:528. doi: 10.1186/1752-1947-5-528.
8
Total intestinal obstruction due to traumatic submucosal jejunal hematoma: A case report.创伤性空肠黏膜下血肿致完全性肠梗阻:1例报告
Int J Surg Case Rep. 2024 Aug;121:109991. doi: 10.1016/j.ijscr.2024.109991. Epub 2024 Jul 4.
9
Ultrasound follow-up in a patient with intestinal obstruction due to post-traumatic intramural duodenal hematoma.创伤后十二指肠壁内血肿致肠梗阻患者的超声随访
J Med Ultrason (2001). 2016 Jul;43(3):431-4. doi: 10.1007/s10396-016-0717-x. Epub 2016 May 18.
10
Gastric Outlet Obstruction due to Intramural Duodenal Hematoma after Endoscopic Biopsy: Possible Therapeutic Role of Endoscopic Dilation.内镜活检后十二指肠壁内血肿导致的胃出口梗阻:内镜扩张术的可能治疗作用
Case Rep Gastroenterol. 2018 Nov 28;12(3):692-698. doi: 10.1159/000494967. eCollection 2018 Sep-Dec.

引用本文的文献

1
Surgical management of complicated intra-mural duodenal hematoma: A case-report and review of literature.复杂壁内十二指肠血肿的外科治疗:一例报告并文献复习
Int J Surg Case Rep. 2015;17:103-5. doi: 10.1016/j.ijscr.2015.10.028. Epub 2015 Oct 30.

本文引用的文献

1
Traumatic intussusception with intramural haematoma.伴有壁内血肿的创伤性肠套叠。
Pediatr Radiol. 2009 Apr;39(4):403-5. doi: 10.1007/s00247-009-1158-0. Epub 2009 Feb 13.
2
Acquired duodenal obstruction in children.儿童获得性十二指肠梗阻
Pediatr Neonatol. 2008 Oct;49(5):193-6. doi: 10.1016/S1875-9572(09)60008-5.
3
Laparoscopic drainage of a post-traumatic intramural duodenal hematoma in a child.小儿创伤后十二指肠壁内血肿的腹腔镜引流术
J Laparoendosc Adv Surg Tech A. 2008 Jun;18(3):469-72. doi: 10.1089/lap.2007.0147.
4
Traumatic intramural hematoma of duodenum with thrombasthenia in childhood.儿童期伴有血小板无力症的十二指肠创伤性壁内血肿
Pediatr Int. 2007 Oct;49(5):668-71. doi: 10.1111/j.1442-200X.2007.02438.x.
5
Post-traumatic intramural duodenal hematoma in children.儿童创伤后十二指肠壁内血肿
Isr Med Assoc J. 2006 Feb;8(2):95-7.
6
Traumatic intramural hematoma of the duodenum: report of one case.十二指肠创伤性壁内血肿:1例报告
Acta Paediatr Taiwan. 2004 Nov-Dec;45(6):343-5.
7
Sonographic diagnosis and monitoring of an obstructing duodenal hematoma after blunt trauma: correlation with computed tomographic and surgical findings.钝性创伤后梗阻性十二指肠血肿的超声诊断与监测:与计算机断层扫描及手术结果的相关性
J Ultrasound Med. 2004 Dec;23(12):1679-83. doi: 10.7863/jum.2004.23.12.1679.
8
Management of duodenal injuries in children.儿童十二指肠损伤的管理
J Pediatr Surg. 2004 Jun;39(6):964-8. doi: 10.1016/j.jpedsurg.2004.02.032.
9
Prognostic determinants in duodenal injuries.十二指肠损伤的预后决定因素。
Am Surg. 2004 Mar;70(3):248-55; discussion 255.
10
Surgical management of duodenal injuries in children.儿童十二指肠损伤的外科治疗
Surgery. 2002 Oct;132(4):748-52; discussion 751-3. doi: 10.1067/msy.2002.127673.