Suppr超能文献

肝胆系统的罕见恶性肿瘤:壶腹类癌肿瘤。

The rare malignancy of the hepatobiliary system: ampullary carcinoid tumor.

作者信息

Ozsoy Mustafa, Ozsoy Yucel, Canda Aras Emre, Nalbant Olcay Ak, Haskaraca Fatih

机构信息

Department of General Surgery, Manisa State Hospital, 45000 Manisa, Turkey.

出版信息

Case Rep Med. 2011;2011:173036. doi: 10.1155/2011/173036. Epub 2011 May 31.

Abstract

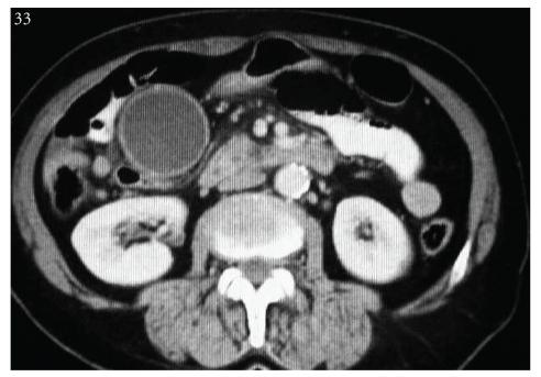
Introduction. Carcinoid tumors are low-grade tumors originating from endoderm and mostly involving the gastrointestinal system. However; they may be seen in any site within the gastrointestinal system. Case Presentation. A 69-year-old female patient. The results of blood tests were observed to be consistent with obstructive jaundice. A mass appearance was not encountered on tomographic examination. Papilla that was tumor-like macroscopically was seen in the second part of the duodenum in diagnostic endoscopy. Pylorus-preserving pancreaticoduodenectomy surgical procedure was applied. On pathological examination of the mass, a tumoral mass was detected in ampulla vateri localization, 1.5 × 1 × 0.8 cm in size, which, in immunohistochemical staining, was evaluated as a neuroendocrine tumor. Also, Metastasis was observed. Conclusion. The rarest type of carcinoid tumor is ampullary located carcinoid tumor, and tumor size is not a reliable indicator for tumor aggressivity in ampullary carcinoid tumors.

摘要

引言。类癌肿瘤是起源于内胚层的低度肿瘤,主要累及胃肠道系统。然而,它们可见于胃肠道系统内的任何部位。病例报告。一名69岁女性患者。血液检查结果显示与梗阻性黄疸相符。断层扫描检查未发现肿块表现。诊断性内镜检查时,在十二指肠第二部可见肉眼呈肿瘤样的乳头。实施了保留幽门的胰十二指肠切除术。对肿块进行病理检查时,在 Vater壶腹部位检测到一个肿瘤性肿块,大小为1.5×1×0.8厘米,免疫组化染色评估为神经内分泌肿瘤。此外,观察到有转移。结论。壶腹类癌肿瘤是类癌肿瘤中最罕见的类型,肿瘤大小不是壶腹类癌肿瘤侵袭性的可靠指标。

https://cdn.ncbi.nlm.nih.gov/pmc/blobs/a4b8/3114376/4262c4fd1e59/CRIM2011-173036.001.jpg

文献检索

告别复杂PubMed语法,用中文像聊天一样搜索,搜遍4000万医学文献。AI智能推荐,让科研检索更轻松。

立即免费搜索

文件翻译

保留排版,准确专业,支持PDF/Word/PPT等文件格式,支持 12+语言互译。

免费翻译文档

深度研究

AI帮你快速写综述,25分钟生成高质量综述,智能提取关键信息,辅助科研写作。

立即免费体验