Suppr超能文献

Femoral neck fracture after electrical shock injury.

作者信息

Gehlen J M L G, Hoofwijk A G M

机构信息

Department of Surgery, Orbis Medical Center, P.O. Box 5500, 6130 MB Sittard, The Netherlands.

出版信息

Eur J Trauma Emerg Surg. 2010 Oct;36(5):491-3. doi: 10.1007/s00068-010-0015-z. Epub 2010 Apr 20.

Abstract

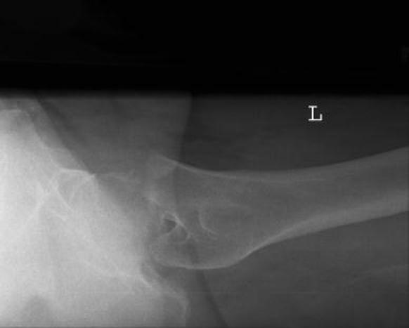
A case of femoral neck fracture is reported after electrical shock injury with 300 V direct current in a 41-year old male. He had two small full thickness burns on his left heel, probably the exit wounds. A fracture after electrical shock due to musculoskeletal contractions is a very rare condition. Surgeons caring for patients with electrical injury should be aware of the possibility of skeletal injuries. Without vigilance for these injuries, delay in diagnosis may occur.

摘要
https://cdn.ncbi.nlm.nih.gov/pmc/blobs/b4a0/3150809/5761a937b80d/68_2010_15_Fig1_HTML.jpg

文献AI研究员

20分钟写一篇综述,助力文献阅读效率提升50倍。

立即体验

用中文搜PubMed

大模型驱动的PubMed中文搜索引擎

马上搜索

文档翻译

学术文献翻译模型,支持多种主流文档格式。

立即体验