• 文献检索
  • 文档翻译
  • 深度研究
  • 学术资讯
  • Suppr Zotero 插件Zotero 插件
  • 邀请有礼
  • 套餐&价格
  • 历史记录
应用&插件
Suppr Zotero 插件Zotero 插件浏览器插件Mac 客户端Windows 客户端微信小程序
定价
高级版会员购买积分包购买API积分包
服务
文献检索文档翻译深度研究API 文档MCP 服务
关于我们
关于 Suppr公司介绍联系我们用户协议隐私条款
关注我们

Suppr 超能文献

核心技术专利:CN118964589B侵权必究
粤ICP备2023148730 号-1Suppr @ 2026

文献检索

告别复杂PubMed语法,用中文像聊天一样搜索,搜遍4000万医学文献。AI智能推荐,让科研检索更轻松。

立即免费搜索

文件翻译

保留排版,准确专业,支持PDF/Word/PPT等文件格式,支持 12+语言互译。

免费翻译文档

深度研究

AI帮你快速写综述,25分钟生成高质量综述,智能提取关键信息,辅助科研写作。

立即免费体验

自发性肾上腺嗜铬细胞瘤破裂并发腹腔内出血和休克。

Spontaneous adrenal pheochromocytoma rupture complicated by intraperitoneal hemorrhage and shock.

机构信息

Department of Trauma, Burns, Surgical Critical Care, Brigham and Women's Hospital, 75 Francis St,, Boston, 02115, USA.

出版信息

World J Emerg Surg. 2011 Aug 15;6(1):27. doi: 10.1186/1749-7922-6-27.

DOI:10.1186/1749-7922-6-27
PMID:21843357
原文链接:https://pmc.ncbi.nlm.nih.gov/articles/PMC3178469/
Abstract

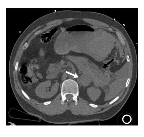
MEN2A is a hereditary syndrome characterized by medullary thyroid carcinoma, hyperparathyroidism, and pheochromocytoma. Classically patients with a pheochromocytoma initially present with the triad of paroxysmal headaches, palpitations, and diaphoresis accompanied by marked hypertension. However, although reported as a rare presentation, spontaneous hemorrhage within a pheochromocytoma can present as an abdominal catastrophe. Unrecognized, this transformation can rapidly result in death. We report the only documented case of a thirty eight year old gentleman with MEN2A who presented to a community hospital with hemorrhagic shock and peritonitis secondary to an unrecognized hemorrhagic pheochromocytoma. The clinical course is notable for an inability to localize the source of hemorrhage during an initial damage control laparotomy that stabilized the patient sufficiently to allow emergent transfer to our facility, re-exploration for continued hemorrhage and abdominal compartment syndrome, and ultimately angiographic embolization of the left adrenal artery for control of the bleeding. Following recovery from his critical illness and appropriate medical management for pheochromocytoma, he returned for interval bilateral adrenal gland resection, from which his recovery was unremarkable. Our review of the literature highlights the high mortality associated with the undertaking of an operative intervention in the face of an unrecognized functional pheochromocytoma. This reinforces the need for maintaining a high index of suspicion for pheochromocytoma in similar cases. Our case also demonstrates the need for a mutimodal treatment approach that will often be required in these cases.

摘要

MEN2A 是一种遗传性综合征,其特征为甲状腺髓样癌、甲状旁腺功能亢进和嗜铬细胞瘤。经典的嗜铬细胞瘤患者最初表现为阵发性头痛、心悸和出汗三联征,并伴有明显的高血压。然而,尽管报告为罕见表现,但嗜铬细胞瘤内的自发性出血可表现为腹部灾难。如果未被识别,这种转变可能会迅速导致死亡。我们报告了唯一一例 MEN2A 的 38 岁男性患者,他因未被识别的出血性嗜铬细胞瘤导致失血性休克和腹膜炎而就诊于社区医院。临床过程的特点是在最初的损伤控制性剖腹术中无法定位出血源,这足以使患者稳定,以便紧急转至我们的机构,再次探查持续出血和腹腔间隔室综合征,并最终进行左肾上腺动脉血管造影栓塞以控制出血。在从危重病中康复并对嗜铬细胞瘤进行适当的药物治疗后,他接受了双侧肾上腺切除术,术后恢复良好。我们对文献的回顾强调了在面对未被识别的功能性嗜铬细胞瘤时进行手术干预的高死亡率。这再次强调了在类似情况下保持对嗜铬细胞瘤高度怀疑的必要性。我们的病例还表明,在这些情况下通常需要采用多模式治疗方法。

https://cdn.ncbi.nlm.nih.gov/pmc/blobs/143b/3178469/2b409bdb7a09/1749-7922-6-27-3.jpg
https://cdn.ncbi.nlm.nih.gov/pmc/blobs/143b/3178469/2313881e792c/1749-7922-6-27-1.jpg
https://cdn.ncbi.nlm.nih.gov/pmc/blobs/143b/3178469/0869ee6eb969/1749-7922-6-27-2.jpg
https://cdn.ncbi.nlm.nih.gov/pmc/blobs/143b/3178469/2b409bdb7a09/1749-7922-6-27-3.jpg
https://cdn.ncbi.nlm.nih.gov/pmc/blobs/143b/3178469/2313881e792c/1749-7922-6-27-1.jpg
https://cdn.ncbi.nlm.nih.gov/pmc/blobs/143b/3178469/0869ee6eb969/1749-7922-6-27-2.jpg
https://cdn.ncbi.nlm.nih.gov/pmc/blobs/143b/3178469/2b409bdb7a09/1749-7922-6-27-3.jpg

相似文献

1
Spontaneous adrenal pheochromocytoma rupture complicated by intraperitoneal hemorrhage and shock.自发性肾上腺嗜铬细胞瘤破裂并发腹腔内出血和休克。
World J Emerg Surg. 2011 Aug 15;6(1):27. doi: 10.1186/1749-7922-6-27.
2
Adrenal artery pseudoaneurysm in pheochromocytoma presenting with catastrophic retroperitoneal haemorrhage.嗜铬细胞瘤合并肾上腺动脉假性动脉瘤并出现灾难性腹膜后出血。
Can Urol Assoc J. 2013 Mar-Apr;7(3-4):E254-6. doi: 10.5489/cuaj.541.
3
Hemorrhagic shock as the initial manifestation of pheochromocytoma: report of a sequential management strategy.以出血性休克为首发表现的嗜铬细胞瘤:序贯治疗策略报告。
Endocr Pract. 2012 Jul-Aug;18(4):e81-4. doi: 10.4158/EP11149.CR.
4
Traumatic injury causing intraperitoneal hemorrhage of an occult pheochromocytoma.创伤性损伤导致隐匿性嗜铬细胞瘤腹腔内出血。
Case Rep Crit Care. 2012;2012:342819. doi: 10.1155/2012/342819. Epub 2012 Oct 14.
5
Spontaneous adrenal hemorrhage with associated masses: etiology and management in 6 cases and a review of 133 reported cases.伴有肿块的自发性肾上腺出血:6 例病例的病因和治疗及对 133 例报道病例的回顾。
World J Surg. 2012 Jan;36(1):75-82. doi: 10.1007/s00268-011-1338-6.
6
A case of a ruptured pheochromocytoma with an intratumoral aneurysm managed by coil embolization.一例通过弹簧圈栓塞治疗的伴有肿瘤内动脉瘤破裂的嗜铬细胞瘤病例。
Endocr J. 2003 Dec;50(6):653-6. doi: 10.1507/endocrj.50.653.
7
Optimizing Hemodynamics with Transcatheter Arterial Embolization in Adrenal Pheochromocytoma Rupture.经导管动脉栓塞术优化肾上腺嗜铬细胞瘤破裂的血流动力学
Intern Med. 2018 Jul 1;57(13):1873-1878. doi: 10.2169/internalmedicine.9907-17. Epub 2018 Feb 28.
8
Uncommon presentation, rare complication and previously undescribed oncologic association of pheochromocytoma; the great masquerader.嗜铬细胞瘤不常见的表现、罕见的并发症及此前未描述过的肿瘤学关联;伪装高手。
BMJ Case Rep. 2018 Apr 5;2018:bcr-2017-223993. doi: 10.1136/bcr-2017-223993.
9
Acute abdominal symptoms caused by hemorrhagic necrosis of a pheochromocytoma: report of a case.嗜铬细胞瘤出血坏死引起的急性腹部症状:一例报告
Surg Today. 1994;24(4):363-7. doi: 10.1007/BF02348569.
10
Persistent Hiccups-An Unusual Presentation of Bilateral Pheochromocytoma without Syndromic Association: A Case Report.持续性呃逆——双侧嗜铬细胞瘤无综合征关联的罕见表现:一例报告
Case Rep Endocrinol. 2012;2012:824030. doi: 10.1155/2012/824030. Epub 2012 Jul 5.

引用本文的文献

1
Partial biochemical response of adrenal artery embolization for pheochromocytoma: A case report and review of the literature.肾上腺动脉栓塞术治疗嗜铬细胞瘤的部分生化反应:一例报告并文献复习
Radiol Case Rep. 2024 Nov 22;20(2):924-928. doi: 10.1016/j.radcr.2024.10.107. eCollection 2025 Feb.
2
A case of successful management for spontaneous rupture of paraganglioma treated with preoperative transcatheter arterial embolization.1例经术前经导管动脉栓塞治疗成功的副神经节瘤自发性破裂病例。
Surg Case Rep. 2024 Jun 21;10(1):158. doi: 10.1186/s40792-024-01907-9.
3
Unusual Pheochromocytoma Presentation: From Dysuria to Catecholamine Crisis.

本文引用的文献

1
Update multiple endocrine neoplasia type 2.2 型多发性内分泌肿瘤
Fam Cancer. 2010 Sep;9(3):449-57. doi: 10.1007/s10689-010-9320-2.
2
Spontaneous intraperitoneal bleeding caused by adrenal pheochromocytoma.肾上腺嗜铬细胞瘤引起的自发性腹腔内出血。
Chin Med J (Engl). 2009 Sep 20;122(18):2193-5.
3
Transarterial embolisation of spontaneous adrenal pheochromocytoma rupture using polyvinyl alcohol particles.使用聚乙烯醇颗粒对自发性肾上腺嗜铬细胞瘤破裂进行经动脉栓塞术。
不寻常的嗜铬细胞瘤表现:从排尿困难到儿茶酚胺危象
JCEM Case Rep. 2023 Jul 27;1(4):luad059. doi: 10.1210/jcemcr/luad059. eCollection 2023 Jul.
4
Ruptured Metastatic Pheochromocytoma: A Nightmare to the Surgeon.破裂的转移性嗜铬细胞瘤:外科医生的噩梦。
Cureus. 2023 Mar 29;15(3):e36890. doi: 10.7759/cureus.36890. eCollection 2023 Mar.
5
Adrenal bleeding due to pheochromocytoma - A call for algorithm.因嗜铬细胞瘤导致的肾上腺出血——呼吁制定算法。
Front Endocrinol (Lausanne). 2022 Aug 5;13:908967. doi: 10.3389/fendo.2022.908967. eCollection 2022.
6
Spontaneous rupture of an undifferentiated carcinoma with osteoclast-like giant cells of the pancreas presenting as intra-abdominal bleeding: a case report.胰腺破骨细胞样巨细胞未分化癌自发性破裂表现为腹腔内出血:一例报告
Surg Case Rep. 2022 Apr 29;8(1):79. doi: 10.1186/s40792-022-01437-2.
7
Pheochromocytoma Crisis in the Emergency Department.急诊科的嗜铬细胞瘤危象
Cureus. 2021 Mar 3;13(3):e13683. doi: 10.7759/cureus.13683.
8
Traumatic Adrenal Hemorrhage Masking as a Pseudotumor.创伤性肾上腺出血伪装成假性肿瘤。
Cureus. 2020 Mar 13;12(3):e7256. doi: 10.7759/cureus.7256.
9
Lesson of the month 2: Blunt abdominal trauma: atypical presentation of phaeochromocytoma.本月课程 2:钝性腹部创伤:嗜铬细胞瘤的非典型表现。
Clin Med (Lond). 2018 Aug;18(4):345-347. doi: 10.7861/clinmedicine.18-4-345.
10
Interventional radiology of the adrenal glands: current status.肾上腺介入放射学:现状
Gland Surg. 2018 Apr;7(2):147-165. doi: 10.21037/gs.2018.01.04.
Singapore Med J. 2008 May;49(5):e126-30.
4
Evidence of MEN-2 in the original description of classic pheochromocytoma.经典嗜铬细胞瘤原始描述中MEN-2的证据。
N Engl J Med. 2007 Sep 27;357(13):1311-5. doi: 10.1056/NEJMoa071407.
5
Phaeochromocytoma.嗜铬细胞瘤
Lancet. 2005;366(9486):665-75. doi: 10.1016/S0140-6736(05)67139-5.
6
Phaeochromocytoma presenting as a cardiac and abdominal catastrophe.表现为心脏和腹部急症的嗜铬细胞瘤。
Br Med J. 1952 Jul 12;2(4775):76-7. doi: 10.1136/bmj.2.4775.76.
7
Phaeochromocytoma presenting as an abdominal emergency.以腹部急症形式出现的嗜铬细胞瘤。
Br Med J. 1951 Aug 4;2(4726):275-7. doi: 10.1136/bmj.2.4726.275.
8
Hemorrhage from spontaneous rupture of a pheochromocytoma of the right adrenal gland; a case report.右侧肾上腺嗜铬细胞瘤自发性破裂出血;病例报告
Ann Surg. 1951 Mar;133(3):404-7. doi: 10.1097/00000658-195103000-00016.
9
HEMORRHAGIC PHEOCHROMOCYTOMA WITH SHOCK AND ABDOMINAL PAIN.伴有休克和腹痛的出血性嗜铬细胞瘤
Am J Med. 1965 Sep;39:502-4. doi: 10.1016/0002-9343(65)90217-2.
10
Shock after administration of prochlorperazine in patient with pheochromocytoma; report of a case with spontaneous tumor destruction.嗜铬细胞瘤患者使用氯丙嗪后发生休克;1例伴有自发性肿瘤破坏的病例报告
J Am Med Assoc. 1959 Apr 11;169(15):1749-52. doi: 10.1001/jama.1959.73000320003013a.