Suppr超能文献

口腔底部皮样囊肿:两例报告

Dermoid cysts of the floor of the mouth: two case reports.

作者信息

Makos Christos, Noussios George, Peios Marinos, Gougousis Spyridon, Chouridis Pantelis

机构信息

Department of Oral and Maxillofacial Surgery, General Hospital of Kilkis, 61100 Kilkis, Greece.

出版信息

Case Rep Med. 2011;2011:362170. doi: 10.1155/2011/362170. Epub 2011 Sep 14.

Abstract

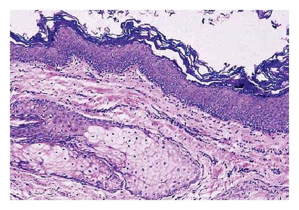
Dermoid cysts in the floor of the mouth may be congenital or acquired. The congenital form, according to the main theory, originates from embryonic cells of the 1st and 2nd branchial arch. The acquired form may be due to traumatic or iatrogenic causes and as a result of the occlusion of a sebaceous gland duct. Its occurrence is less and is estimated to be from 1.6 to 6.4% of the dermoid cysts of the body in adults and 0.29% of the head and neck tumors occurring in children. They may also be classified as anatomical and histological. Anatomically, they are divided into median genioglossal, median geniohyoid, and lateral cysts, while histologically they are divided into epidermoid, dermoid cysts and teratomas. Clinically, a distinction between supra and inferior type as well as between central and lateral type is proposed in relation to themylohyoidmuscle and themidline, respectively. Histologically, an estimation of dermoid, epidermoid, and teratoid cysts is reported. Enucleation via intraoral and/or extraoral approach is the method of treatment. Two case reports of dermoid cysts in the floor of the mouth are presented in this paper, and an evaluation with regard to pathology, clinical findings, differential diagnosis, and treatment is discussed.

摘要

口腔底部的皮样囊肿可能是先天性的或后天获得性的。根据主要理论,先天性皮样囊肿起源于第一和第二鳃弓的胚胎细胞。后天获得性皮样囊肿可能是由创伤或医源性原因引起的,也可能是皮脂腺导管阻塞的结果。其发生率较低,据估计,在成人体表皮样囊肿中占1.6%至6.4%,在儿童头颈部肿瘤中占0.29%。它们也可按解剖学和组织学进行分类。在解剖学上,它们分为正中颏舌肌型、正中颏舌骨型和外侧囊肿型,而在组织学上,它们分为表皮样囊肿、皮样囊肿和畸胎瘤。临床上,分别根据下颌舌骨肌和中线提出了上型和下型以及中央型和外侧型的区分。在组织学上,报告了皮样囊肿、表皮样囊肿和畸胎样囊肿的评估情况。通过口内和/或口外入路摘除是治疗方法。本文介绍了两例口腔底部皮样囊肿的病例报告,并讨论了病理学、临床发现、鉴别诊断和治疗方面的评估情况。

https://cdn.ncbi.nlm.nih.gov/pmc/blobs/4e62/3172983/5590eca7beaf/CRIM2011-362170.001.jpg

文献检索

告别复杂PubMed语法,用中文像聊天一样搜索,搜遍4000万医学文献。AI智能推荐,让科研检索更轻松。

立即免费搜索

文件翻译

保留排版,准确专业,支持PDF/Word/PPT等文件格式,支持 12+语言互译。

免费翻译文档

深度研究

AI帮你快速写综述,25分钟生成高质量综述,智能提取关键信息,辅助科研写作。

立即免费体验