• 文献检索
  • 文档翻译
  • 深度研究
  • 学术资讯
  • Suppr Zotero 插件Zotero 插件
  • 邀请有礼
  • 套餐&价格
  • 历史记录
应用&插件
Suppr Zotero 插件Zotero 插件浏览器插件Mac 客户端Windows 客户端微信小程序
定价
高级版会员购买积分包购买API积分包
服务
文献检索文档翻译深度研究API 文档MCP 服务
关于我们
关于 Suppr公司介绍联系我们用户协议隐私条款
关注我们

Suppr 超能文献

核心技术专利:CN118964589B侵权必究
粤ICP备2023148730 号-1Suppr @ 2026

文献检索

告别复杂PubMed语法,用中文像聊天一样搜索,搜遍4000万医学文献。AI智能推荐,让科研检索更轻松。

立即免费搜索

文件翻译

保留排版,准确专业,支持PDF/Word/PPT等文件格式,支持 12+语言互译。

免费翻译文档

深度研究

AI帮你快速写综述,25分钟生成高质量综述,智能提取关键信息,辅助科研写作。

立即免费体验

肱骨近端骨折角稳定钢板固定中的螺钉--病例研究。

The calcar screw in angular stable plate fixation of proximal humeral fractures--a case study.

机构信息

Division of Trauma Surgery, University Hospital Zurich, Rämistrasse 100, 8091 Zurich, Switzerland.

出版信息

J Orthop Surg Res. 2011 Sep 24;6:50. doi: 10.1186/1749-799X-6-50.

DOI:10.1186/1749-799X-6-50
PMID:21943090
原文链接:https://pmc.ncbi.nlm.nih.gov/articles/PMC3189144/
Abstract

BACKGROUND

With new minimally-invasive approaches for angular stable plate fixation of proximal humeral fractures, the need for the placement of oblique inferomedial screws ('calcar screw') has increasingly been discussed. The purpose of this study was to investigate the influence of calcar screws on secondary loss of reduction and on the occurrence of complications.

METHODS

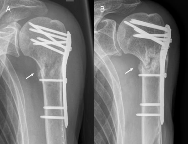
Patients with a proximal humeral fracture who underwent angular stable plate fixation between 01/2007 and 07/2009 were included. On AP views of the shoulder, the difference in height between humeral head and the proximal end of the plate were determined postoperatively and at follow-up. Additionally, the occurrence of complications was documented. Patients with calcar screws were assigned to group C+, patients without to group C-.

RESULTS

Follow-up was possible in 60 patients (C+ 6.7 ± 5.6 M/C- 5.0 ± 2.8 M). Humeral head necrosis occurred in 6 (C+, 15.4%) and 3 (C-, 14.3%) cases. Cut-out of the proximal screws was observed in 3 (C+, 7.7%) and 1 (C-, 4.8%) cases. In each group, 1 patient showed delayed union. Implant failure or lesions of the axillary nerve were not observed. In 44 patients, true AP and Neer views were available to measure the head-plate distance. There was a significant loss of reduction in group C- (2.56 ± 2.65 mm) compared to C+ (0.77 ± 1.44 mm; p = 0.01).

CONCLUSIONS

The placement of calcar screws in the angular stable plate fixation of proximal humeral fractures is associated with less secondary loss of reduction by providing inferomedial support. An increased risk for complications could not be shown.

摘要

背景

随着微创入路用于治疗肱骨近端骨折的角稳定钢板固定术的出现,对于斜向内侧的髓内螺钉(“骺板螺钉”)放置的必要性越来越受到关注。本研究的目的是探讨骺板螺钉对内固定术后复位丢失的影响及其并发症的发生情况。

方法

纳入 2007 年 1 月至 2009 年 7 月期间接受角稳定钢板固定术治疗肱骨近端骨折的患者。术后和随访时,在肩关节正位 X 线片上测量肱骨头和钢板近端之间的高度差异。同时记录并发症的发生情况。有骺板螺钉的患者分为 C+组,无骺板螺钉的患者分为 C-组。

结果

60 例患者(C+组 6.7 ± 5.6 M/C-组 5.0 ± 2.8 M)获得随访。C+组有 6 例(15.4%)和 C-组有 3 例(14.3%)发生肱骨头坏死。C+组有 3 例(7.7%)和 C-组有 1 例(4.8%)发生近端螺钉切出。每组各有 1 例患者发生延迟愈合。未观察到内固定物失败或腋神经损伤。在 44 例患者中,可获得正位和 Neer 位 X 线片来测量头-板距离。C-组的复位丢失明显多于 C+组(2.56 ± 2.65 mm 比 0.77 ± 1.44 mm;p = 0.01)。

结论

在肱骨近端骨折的角稳定钢板固定术中,骺板螺钉的置入可提供内侧支撑,从而减少继发性复位丢失。但也未能显示并发症风险增加。

https://cdn.ncbi.nlm.nih.gov/pmc/blobs/e975/3189144/01285c45fadc/1749-799X-6-50-4.jpg
https://cdn.ncbi.nlm.nih.gov/pmc/blobs/e975/3189144/71566a1b8885/1749-799X-6-50-1.jpg
https://cdn.ncbi.nlm.nih.gov/pmc/blobs/e975/3189144/539859496f0c/1749-799X-6-50-2.jpg
https://cdn.ncbi.nlm.nih.gov/pmc/blobs/e975/3189144/a233b0e3d68f/1749-799X-6-50-3.jpg
https://cdn.ncbi.nlm.nih.gov/pmc/blobs/e975/3189144/01285c45fadc/1749-799X-6-50-4.jpg
https://cdn.ncbi.nlm.nih.gov/pmc/blobs/e975/3189144/71566a1b8885/1749-799X-6-50-1.jpg
https://cdn.ncbi.nlm.nih.gov/pmc/blobs/e975/3189144/539859496f0c/1749-799X-6-50-2.jpg
https://cdn.ncbi.nlm.nih.gov/pmc/blobs/e975/3189144/a233b0e3d68f/1749-799X-6-50-3.jpg
https://cdn.ncbi.nlm.nih.gov/pmc/blobs/e975/3189144/01285c45fadc/1749-799X-6-50-4.jpg

相似文献

1
The calcar screw in angular stable plate fixation of proximal humeral fractures--a case study.肱骨近端骨折角稳定钢板固定中的螺钉--病例研究。
J Orthop Surg Res. 2011 Sep 24;6:50. doi: 10.1186/1749-799X-6-50.
2
Calcar screws and adequate reduction reduced the risk of fixation failure in proximal humeral fractures treated with a locking plate: 190 patients followed for a mean of 3 years.距骨螺钉及充分复位降低了使用锁定钢板治疗肱骨近端骨折时固定失败的风险:190例患者平均随访3年。
J Orthop Surg Res. 2018 Aug 9;13(1):197. doi: 10.1186/s13018-018-0906-y.
3
Monoaxial versus polyaxial screw insertion in angular stable plate fixation of proximal humeral fractures: radiographic analysis of a prospective randomized study.肱骨近端骨折角稳定钢板固定中使用单轴螺钉与多轴螺钉的比较:一项前瞻性随机研究的影像学分析
J Trauma. 2010 Dec;69(6):1545-51. doi: 10.1097/TA.0b013e3181c9b8a7.
4
Which parameters affect medium- to long-term results after angular stable plate fixation for proximal humeral fractures?哪些参数会影响肱骨近端骨折采用角稳定钢板固定后的中长期效果?
J Shoulder Elbow Surg. 2015 May;24(5):727-32. doi: 10.1016/j.jse.2014.08.009. Epub 2014 Oct 17.
5
Proximal periarticular locking plates in proximal humeral fractures: functional outcomes.肱骨近端锁定接骨板治疗肱骨近端骨折:功能结局。
J Shoulder Elbow Surg. 2011 Dec;20(8):1234-40. doi: 10.1016/j.jse.2010.12.015. Epub 2011 Mar 21.
6
Does cement augmentation of the screws in angular stable plating for proximal humerus fractures influence the radiological outcome: a retrospective assessment.肱骨近端骨折角稳定钢板内螺钉骨水泥强化是否影响影像学结果:回顾性评估。
Arch Orthop Trauma Surg. 2020 Oct;140(10):1413-1421. doi: 10.1007/s00402-020-03362-1. Epub 2020 Mar 4.
7
The neck-shaft angle is the key factor for the positioning of calcar screw when treating proximal humeral fractures with a locking plate.颈干角是使用锁定钢板治疗肱骨近端骨折时定位螺钉的关键因素。
Bone Joint J. 2020 Dec;102-B(12):1629-1635. doi: 10.1302/0301-620X.102B12.BJJ-2020-0070.R1.
8
[Treatment of proximal humeral fractures with the PHILOS angular stable plate. Presentation of 225 cases of dislocated fractures].[应用PHILOS角稳定钢板治疗肱骨近端骨折。225例脱位骨折的病例报告]
Unfallchirurg. 2006 Dec;109(12):1032-40. doi: 10.1007/s00113-006-1165-7.
9
Angular stable fixation of proximal humeral fractures.肱骨近端骨折的角向稳定固定
J Trauma. 2009 Jan;66(1):204-10. doi: 10.1097/TA.0b013e31815ede7b.
10
The influence of screw length on predicted cut-out failures for proximal humeral fracture fixations predicted by finite element simulations.螺钉长度对有限元模拟预测肱骨近端骨折固定切出失败的影响。
Arch Orthop Trauma Surg. 2019 Aug;139(8):1069-1074. doi: 10.1007/s00402-019-03175-x. Epub 2019 Mar 20.

引用本文的文献

1
Correct positioning of the calcar screw leads to superior results in proximal humerus fractures treated with carbon-fibre-reinforced polyetheretherketone plate osteosynthesis with polyaxial locking screws.在使用碳纤维增强聚醚醚酮板和多轴锁定螺钉治疗肱骨近端骨折时,正确定位距骨螺钉可获得更好的结果。
J Orthop Traumatol. 2023 Oct 10;24(1):54. doi: 10.1186/s10195-023-00733-3.
2
Plate Fixation of Proximal Humerus Fractures: How to Get It Right and Future Directions for Improvement.肱骨近端骨折的钢板固定:如何正确操作及改进的未来方向
Curr Rev Musculoskelet Med. 2023 Oct;16(10):457-469. doi: 10.1007/s12178-023-09853-z. Epub 2023 Aug 12.
3

本文引用的文献

1
Surgical anatomy of the axillary nerve and its implication in the transdeltoid approaches to the shoulder.腋神经的解剖及其在经三角肌入路肩部手术中的意义。
J Shoulder Elbow Surg. 2010 Dec;19(8):1166-74. doi: 10.1016/j.jse.2010.05.010. Epub 2010 Aug 25.
2
Biomechanical comparison of a proximal humeral locking plate using two methods of head fixation.两种头固定方式的肱骨近端锁定板的生物力学比较。
J Shoulder Elbow Surg. 2010 Jun;19(4):495-501. doi: 10.1016/j.jse.2009.11.003. Epub 2010 Mar 1.
3
The biomechanics of locked plating for repairing proximal humerus fractures with or without medial cortical support.
Risk factors for osteonecrosis of the humeral head after internal fixation of proximal humeral fractures: a systematic review and meta-analysis.
肱骨近端骨折内固定术后肱骨头坏死的危险因素:系统评价和荟萃分析。
Arch Orthop Trauma Surg. 2024 Jan;144(1):31-40. doi: 10.1007/s00402-023-05020-8. Epub 2023 Aug 11.
4
Comparison of the ALPS and PHILOS plating systems in proximal humeral fracture fixation - a retrospective study.ALPS 与 PHILOS 钢板系统治疗肱骨近端骨折的固定效果比较:一项回顾性研究。
BMC Musculoskelet Disord. 2023 May 10;24(1):371. doi: 10.1186/s12891-023-06477-9.
5
Subgroups and differences of fixation in 3-part proximal humerus fractures.三部分肱骨近端骨折固定的亚组和差异。
Ulus Travma Acil Cerrahi Derg. 2023 May;29(5):627-632. doi: 10.14744/tjtes.2022.95482.
6
Does plate-screw density affect the functional outcomes in the treatment of proximal humerus fractures?钢板-螺钉密度是否会影响肱骨近端骨折治疗的功能结果?
Ulus Travma Acil Cerrahi Derg. 2022 Jun;28(6):824-831. doi: 10.14744/tjtes.2021.99078.
7
Comparative FE biomechanical and microbial adhesion analyses on an implanted humerus.植入式肱骨的有限元生物力学与微生物黏附对比分析
J Orthop. 2022 May 19;32:78-84. doi: 10.1016/j.jor.2022.05.011. eCollection 2022 Jul-Aug.
8
Stable osteosynthesis of cage in cage technique for surgical treatment of proximal humeral fractures.采用笼中笼技术对肱骨近端骨折进行手术治疗时笼的稳定接骨术
BMC Surg. 2021 May 4;21(1):233. doi: 10.1186/s12893-021-01235-x.
9
A novel surgical approach and technique and short-term clinical efficacy for the treatment of proximal humerus fractures with the combined use of medial anatomical locking plate fixation and minimally invasive lateral locking plate fixation.一种新型手术入路和技术,联合使用内侧解剖锁定板固定和微创外侧锁定板固定治疗肱骨近端骨折的短期临床疗效。
J Orthop Surg Res. 2021 Jan 9;16(1):29. doi: 10.1186/s13018-020-02094-7.
10
Comparison between minimally invasive deltoid-split and extended deltoid-split approach for proximal humeral fractures: a case-control study.微创三角肌劈开与改良三角肌劈开入路治疗肱骨近端骨折的对比:一项病例对照研究。
BMC Musculoskelet Disord. 2020 Jun 27;21(1):406. doi: 10.1186/s12891-020-03417-9.
用于修复有或没有内侧皮质支撑的肱骨近端骨折的锁定钢板的生物力学
J Trauma. 2010 Nov;69(5):1235-42. doi: 10.1097/TA.0b013e3181beed96.
4
Analysis of early failure of the locking compression plate in osteoporotic proximal humerus fractures.锁定加压钢板治疗骨质疏松性肱骨近端骨折早期失败原因分析
J Orthop Sci. 2009 Sep;14(5):596-601. doi: 10.1007/s00776-009-1382-3. Epub 2009 Oct 3.
5
Treatment of proximal humerus fractures with locking plates: a systematic review.锁定钢板治疗肱骨近端骨折:系统评价。
J Shoulder Elbow Surg. 2009 Nov-Dec;18(6):837-44. doi: 10.1016/j.jse.2009.06.004. Epub 2009 Sep 12.
6
Functional outcomes after nonoperative management of fractures of the proximal humerus.肱骨近端骨折非手术治疗后的功能结果
J Shoulder Elbow Surg. 2009 Jul-Aug;18(4):612-21. doi: 10.1016/j.jse.2009.03.024.
7
Mid-term results of internal fixation of proximal humeral fractures with the Philos plate.肱骨近端骨折 Philos 钢板内固定的中期结果。
Injury. 2009 Dec;40(12):1292-6. doi: 10.1016/j.injury.2009.03.008. Epub 2009 Jun 17.
8
Open reduction and internal fixation of proximal humerus fractures using a proximal humeral locked plate: a prospective multicenter analysis.使用肱骨近端锁定钢板对肱骨近端骨折进行切开复位内固定:一项前瞻性多中心分析。
J Orthop Trauma. 2009 Mar;23(3):163-72. doi: 10.1097/BOT.0b013e3181920e5b.
9
Philos plate fixation for displaced proximal humeral fractures.用于移位肱骨近端骨折的Philos钢板固定术
J Orthop Surg (Hong Kong). 2009 Apr;17(1):15-8. doi: 10.1177/230949900901700104.
10
Philos plate fixation for proximal humeral fractures.用于肱骨近端骨折的Philos钢板固定术
J Orthop Surg (Hong Kong). 2009 Apr;17(1):10-4. doi: 10.1177/230949900901700103.