Suppr超能文献

由慢性淋巴细胞白血病(CLL)引起的肾病综合征和急性肾衰竭并发:病例报告及文献复习。

Concurrent nephrotic syndrome and acute renal failure caused by chronic lymphocytic leukemia (CLL): a case report and literature review.

机构信息

Department of Nephrology, Affiliated Shunde First People's Hospital of Southern Medical University, Penglai Road, Daliang District, Foshan 528300, China.

出版信息

Diagn Pathol. 2011 Oct 13;6:99. doi: 10.1186/1746-1596-6-99.

Abstract

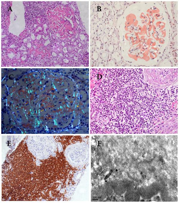
Kidney injury associated with lymphocytic leukemia (CLL) is typically caused by direct tumor infiltration which occasionally results in acute renal failure. Glomerular involvement presenting as proteinuria or even nephrotic syndrome is exceptionally rare. Here we report a case of 54-year-old male CLL patient with nephrotic syndrome and renal failure. The lymph node biopsy confirmed that the patients had CLL with remarkable immunoglobulin light chain amyloid deposition. The renal biopsy demonstrated the concurrence of AL amyloidosis and neoplastic infiltration. Combined treatment of fludarabine, cyclophosphamide and rituximab resulted in remission of CLL, as well as the renal disfunction and nephrotic syndrome, without recurrence during a 12-month follow-up. To our knowledge, this is the first case of CLL patient showing the nephrotic syndrome and acute renal failure caused by AL amyloidosis and neoplastic infiltration. Though AL amyloidosis caused by plasma cell dyscrasia usually responses poorly to chemotherapy, this patient exhibited a satisfactory clinical outcome due to successful inhibition of the production of amylodogenic light chains by combined chemotherapy.

摘要

与淋巴细胞白血病(CLL)相关的肾损伤通常是由直接肿瘤浸润引起的,偶尔会导致急性肾衰竭。以蛋白尿甚至肾病综合征为表现的肾小球受累极为罕见。我们在此报告一例 54 岁男性 CLL 患者,其表现为肾病综合征和肾衰竭。淋巴结活检证实患者患有 CLL,伴有明显的免疫球蛋白轻链淀粉样沉积。肾脏活检显示 AL 淀粉样变性和肿瘤浸润并存。氟达拉滨、环磷酰胺和利妥昔单抗联合治疗使 CLL 缓解,肾功能和肾病综合征也得到缓解,在 12 个月的随访中没有复发。据我们所知,这是首例 CLL 患者表现为 AL 淀粉样变性和肿瘤浸润引起的肾病综合征和急性肾衰竭。虽然浆细胞失调引起的 AL 淀粉样变性通常对化疗反应不佳,但由于联合化疗成功抑制了淀粉样生成轻链的产生,该患者的临床结局令人满意。

https://cdn.ncbi.nlm.nih.gov/pmc/blobs/33b1/3206418/3b9334f838ae/1746-1596-6-99-1.jpg

文献检索

告别复杂PubMed语法,用中文像聊天一样搜索,搜遍4000万医学文献。AI智能推荐,让科研检索更轻松。

立即免费搜索

文件翻译

保留排版,准确专业,支持PDF/Word/PPT等文件格式,支持 12+语言互译。

免费翻译文档

深度研究

AI帮你快速写综述,25分钟生成高质量综述,智能提取关键信息,辅助科研写作。

立即免费体验