• 文献检索
  • 文档翻译
  • 深度研究
  • 学术资讯
  • Suppr Zotero 插件Zotero 插件
  • 邀请有礼
  • 套餐&价格
  • 历史记录
应用&插件
Suppr Zotero 插件Zotero 插件浏览器插件Mac 客户端Windows 客户端微信小程序
定价
高级版会员购买积分包购买API积分包
服务
文献检索文档翻译深度研究API 文档MCP 服务
关于我们
关于 Suppr公司介绍联系我们用户协议隐私条款
关注我们

Suppr 超能文献

核心技术专利:CN118964589B侵权必究
粤ICP备2023148730 号-1Suppr @ 2026

文献检索

告别复杂PubMed语法,用中文像聊天一样搜索,搜遍4000万医学文献。AI智能推荐,让科研检索更轻松。

立即免费搜索

文件翻译

保留排版,准确专业,支持PDF/Word/PPT等文件格式,支持 12+语言互译。

免费翻译文档

深度研究

AI帮你快速写综述,25分钟生成高质量综述,智能提取关键信息,辅助科研写作。

立即免费体验

氟[18F]胸苷 PET 显像在弥漫性大 B 细胞淋巴瘤脑膜侵犯诊断中的应用。

[18F]fluorothymidine PET imaging in the diagnosis of leptomeningeal involvement with diffuse large B-cell lymphoma.

机构信息

Section of Hematology/Oncology, University of Oklahoma Health Sciences Center, Oklahoma City, OK, USA.

出版信息

Cancer Imaging. 2011 Sep 24;11(1):140-3. doi: 10.1102/1470-7330.2011.0020.

DOI:10.1102/1470-7330.2011.0020
PMID:22004872
原文链接:https://pmc.ncbi.nlm.nih.gov/articles/PMC3205762/
Abstract

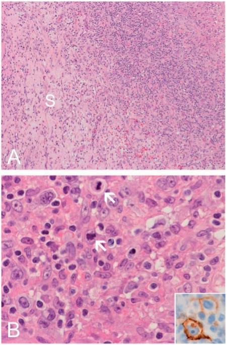
The diagnosis of leptomeningeal carcinomatosis remains difficult despite improvement in central nervous system (CNS) imaging and cytologic examination of the cerebral spinal fluid. False-negative results are common, providing obstacles in assessing both prophylactic and therapeutic efforts. As a result of increased survival of patients with a variety of systemic neoplasms it is likely that central nervous involvement will need to be addressed more often. This article presents a patient with a diffuse large B-cell lymphoma with polymorphic features. Imaging using 18F-labeled fluorodeoxythymidine (FLT) proved useful in demonstrating both parenchymal and leptomeningeal CNS involvement. The potential for FLT to identify proliferative tissue may make it uniquely suitable for detection of CNS malignant disease.

摘要

尽管中枢神经系统 (CNS) 成像和脑脊液细胞学检查有所改善,但脑脊髓膜癌的诊断仍然困难。假阴性结果很常见,这给预防性和治疗性评估都带来了障碍。由于各种系统性肿瘤患者的生存率提高,中枢神经系统受累的情况可能需要更经常地处理。本文介绍了一例弥漫性大 B 细胞淋巴瘤伴多形性特征的患者。使用 18F 标记的氟脱氧胸苷 (FLT) 进行成像,证明在显示实质和脑脊髓膜 CNS 受累方面非常有用。FLT 识别增殖组织的潜力可能使其特别适合检测 CNS 恶性疾病。

https://cdn.ncbi.nlm.nih.gov/pmc/blobs/8e46/3205762/04e16a276e3d/ci11002002.jpg
https://cdn.ncbi.nlm.nih.gov/pmc/blobs/8e46/3205762/24c925b6bc44/ci11002001.jpg
https://cdn.ncbi.nlm.nih.gov/pmc/blobs/8e46/3205762/04e16a276e3d/ci11002002.jpg
https://cdn.ncbi.nlm.nih.gov/pmc/blobs/8e46/3205762/24c925b6bc44/ci11002001.jpg
https://cdn.ncbi.nlm.nih.gov/pmc/blobs/8e46/3205762/04e16a276e3d/ci11002002.jpg

相似文献

1
[18F]fluorothymidine PET imaging in the diagnosis of leptomeningeal involvement with diffuse large B-cell lymphoma.氟[18F]胸苷 PET 显像在弥漫性大 B 细胞淋巴瘤脑膜侵犯诊断中的应用。
Cancer Imaging. 2011 Sep 24;11(1):140-3. doi: 10.1102/1470-7330.2011.0020.
2
Comparing radioactive tracers 18F-FDG and 18F-FLT in the staging of diffuse large B-cell lymphoma by PET/CT examination: A single-center prospective study.比较 PET/CT 检查中放射性示踪剂 18F-FDG 和 18F-FLT 在弥漫性大 B 细胞淋巴瘤分期中的应用:一项单中心前瞻性研究。
Adv Clin Exp Med. 2019 Aug;28(8):1095-1099. doi: 10.17219/acem/104558.
3
Detection of Leptomeningeal Involvement by 18F-FDG-PET/CT in a Patient With Non-Hodgkin Lymphoma.18F-FDG-PET/CT 检测非霍奇金淋巴瘤患者脑膜侵犯。
Clin Nucl Med. 2016 Feb;41(2):169-72. doi: 10.1097/RLU.0000000000001060.
4
[18F]FLT is superior to [18F]FDG for predicting early response to antiproliferative treatment in high-grade lymphoma in a dose-dependent manner.[18F]FLT 比 [18F]FDG 更能预测高级别淋巴瘤对抗增殖治疗的早期反应,且呈剂量依赖性。
Eur J Nucl Med Mol Imaging. 2013 Jan;40(1):34-43. doi: 10.1007/s00259-012-2255-0. Epub 2012 Oct 5.
5
Prospective Study of 3'-Deoxy-3'-18F-Fluorothymidine PET for Early Interim Response Assessment in Advanced-Stage B-Cell Lymphoma.3'-脱氧-3'-18F-氟代胸腺嘧啶PET用于晚期B细胞淋巴瘤早期中期反应评估的前瞻性研究
J Nucl Med. 2016 May;57(5):728-34. doi: 10.2967/jnumed.115.166769. Epub 2015 Dec 30.
6
Imaging proliferation to monitor early response of lymphoma to cytotoxic treatment.通过成像增殖来监测淋巴瘤对细胞毒性治疗的早期反应。
Mol Imaging Biol. 2008 Nov-Dec;10(6):349-55. doi: 10.1007/s11307-008-0162-3. Epub 2008 Aug 14.
7
Meningeal recurrence of intravascular large B-cell lymphoma: early diagnosis with PET-CT.血管内大B细胞淋巴瘤的脑膜复发:PET-CT早期诊断
Br J Haematol. 2007 Jun;137(5):386. doi: 10.1111/j.1365-2141.2007.06551.x. Epub 2007 Mar 9.
8
Exploring spatial overlap of high-uptake regions derived from dual tracer positron emission tomography-computer tomography imaging using 18F-fluorodeoxyglucose and 18F-fluorodeoxythymidine in nonsmall cell lung cancer patients: a prospective pilot study.利用18F-氟脱氧葡萄糖和18F-氟脱氧胸苷对非小细胞肺癌患者进行双示踪正电子发射断层扫描-计算机断层扫描成像,探索高摄取区域的空间重叠:一项前瞻性初步研究。
Medicine (Baltimore). 2015 May;94(17):e678. doi: 10.1097/MD.0000000000000678.
9
Evaluation of thoracic tumors with 18F-fluorothymidine and 18F-fluorodeoxyglucose-positron emission tomography.用18F-氟胸苷和18F-氟脱氧葡萄糖正电子发射断层扫描评估胸部肿瘤。
Chest. 2006 Feb;129(2):393-401. doi: 10.1378/chest.129.2.393.
10
Comparison of the diagnostic value of 3-deoxy-3-18F-fluorothymidine and 18F-fluorodeoxyglucose positron emission tomography/computed tomography in the assessment of regional lymph node in thoracic esophageal squamous cell carcinoma: a pilot study.3-脱氧-3-[18F]氟代胸腺嘧啶和 18F-氟代脱氧葡萄糖正电子发射断层扫描/计算机断层扫描在评估胸段食管鳞癌区域淋巴结中的诊断价值比较:一项初步研究。
Dis Esophagus. 2012 Jul;25(5):416-26. doi: 10.1111/j.1442-2050.2011.01259.x. Epub 2011 Sep 23.

引用本文的文献

1
Applications of PET in Diagnosis and Prognosis of Leukemia.正电子发射断层扫描(PET)在白血病诊断和预后中的应用。
Technol Cancer Res Treat. 2020 Jan-Dec;19:1533033820956993. doi: 10.1177/1533033820956993.
2
Imaging haemopoietic stem cells and microenvironment dynamics through transplantation.通过移植对造血干细胞和微环境动态进行成像
Lancet Haematol. 2020 Mar;7(3):e259-e269. doi: 10.1016/S2352-3026(20)30003-X.
3
In vivo imaging of cell proliferation in meningioma using 3'-deoxy-3'-[F]fluorothymidine PET/MRI.使用3'-脱氧-3'-[F]氟胸苷PET/MRI对脑膜瘤细胞增殖进行体内成像。

本文引用的文献

1
Neurolymphomatosis: an International Primary CNS Lymphoma Collaborative Group report.神经淋巴瘤病:国际原发性中枢神经系统淋巴瘤合作组报告。
Blood. 2010 Jun 17;115(24):5005-11. doi: 10.1182/blood-2009-12-258210. Epub 2010 Apr 5.
2
Diagnosis and management of leptomeningeal disease.柔脑膜疾病的诊断与管理
Clin J Oncol Nurs. 2009 Aug;13(4):384-7. doi: 10.1188/09.CJON.384-387.
3
Natural History of CNS Relapse in Aggressive Non-Hodgkin's Lymphoma: What Have We Learned?
J Clin Oncol. 2009 Jul 20;27(21):e26; author reply e27-8. doi: 10.1200/JCO.2009.22.0608. Epub 2009 Jun 22.
Eur J Nucl Med Mol Imaging. 2020 Jun;47(6):1496-1509. doi: 10.1007/s00259-020-04704-2. Epub 2020 Feb 11.
4
Nuclear oncology in Cancer Imaging 2011.2011年癌症成像中的核肿瘤学。
Cancer Imaging. 2012 May 21;12(1):185-6. doi: 10.1102/1470-7330.2012.0025.
4
Identification of leptomeningeal disease in aggressive B-cell non-Hodgkin's lymphoma: improved sensitivity of flow cytometry.侵袭性B细胞非霍奇金淋巴瘤中柔脑膜疾病的识别:流式细胞术敏感性的提高
J Clin Oncol. 2009 Mar 20;27(9):1462-9. doi: 10.1200/JCO.2008.17.7089. Epub 2009 Feb 17.
5
Natural history of CNS relapse in patients with aggressive non-Hodgkin's lymphoma: a 20-year follow-up analysis of SWOG 8516 -- the Southwest Oncology Group.侵袭性非霍奇金淋巴瘤患者中枢神经系统复发的自然史:西南肿瘤学组(SWOG 8516)的20年随访分析
J Clin Oncol. 2009 Jan 1;27(1):114-9. doi: 10.1200/JCO.2008.16.8021. Epub 2008 Dec 1.
6
Treatment of CNS dissemination in systemic lymphoma.系统性淋巴瘤中枢神经系统播散的治疗。
J Neurooncol. 2007 Aug;84(1):107-17. doi: 10.1007/s11060-007-9353-z. Epub 2007 Feb 28.
7
Imaging proliferation in brain tumors with 18F-FLT PET: comparison with 18F-FDG.利用18F-FLT PET成像检测脑肿瘤增殖:与18F-FDG的比较。
J Nucl Med. 2005 Jun;46(6):945-52.
8
Leptomeningeal metastasis.软脑膜转移
Cancer Invest. 2005;23(2):145-54.
9
[18F]FLT-PET in oncology: current status and opportunities.[18F]氟代胸苷正电子发射断层扫描在肿瘤学中的应用:现状与机遇
Eur J Nucl Med Mol Imaging. 2004 Dec;31(12):1659-72. doi: 10.1007/s00259-004-1687-6.
10
Current diagnosis and treatment of leptomeningeal metastasis.柔脑膜转移的当前诊断与治疗
J Neurooncol. 1998 Jun-Jul;38(2-3):245-52. doi: 10.1023/a:1005956925637.