• 文献检索
  • 文档翻译
  • 深度研究
  • 学术资讯
  • Suppr Zotero 插件Zotero 插件
  • 邀请有礼
  • 套餐&价格
  • 历史记录
应用&插件
Suppr Zotero 插件Zotero 插件浏览器插件Mac 客户端Windows 客户端微信小程序
定价
高级版会员购买积分包购买API积分包
服务
文献检索文档翻译深度研究API 文档MCP 服务
关于我们
关于 Suppr公司介绍联系我们用户协议隐私条款
关注我们

Suppr 超能文献

核心技术专利:CN118964589B侵权必究
粤ICP备2023148730 号-1Suppr @ 2026

文献检索

告别复杂PubMed语法,用中文像聊天一样搜索,搜遍4000万医学文献。AI智能推荐,让科研检索更轻松。

立即免费搜索

文件翻译

保留排版,准确专业,支持PDF/Word/PPT等文件格式,支持 12+语言互译。

免费翻译文档

深度研究

AI帮你快速写综述,25分钟生成高质量综述,智能提取关键信息,辅助科研写作。

立即免费体验

颅面部骨瘤

Osteomas of the craniofacial region.

作者信息

Nah Kyung-Soo

机构信息

Department of Oral and Maxillofacial Radiology, School of Dentistry, Pusan National University, Busan, Korea.

出版信息

Imaging Sci Dent. 2011 Sep;41(3):107-13. doi: 10.5624/isd.2011.41.3.107. Epub 2011 Sep 15.

DOI:10.5624/isd.2011.41.3.107
PMID:22010067
原文链接:https://pmc.ncbi.nlm.nih.gov/articles/PMC3189534/
Abstract

PURPOSE

The purpose of this study was to present the clinical features of a case series of osteomas in the craniofacial region and to compare them with those described in the dental literatures.

MATERIALS AND METHODS

A retrospective study of 18 patients diagnosed with osteomas in the craniofacial region was performed. The age, gender, location, symptoms, and the radiological findings were recorded.

RESULTS

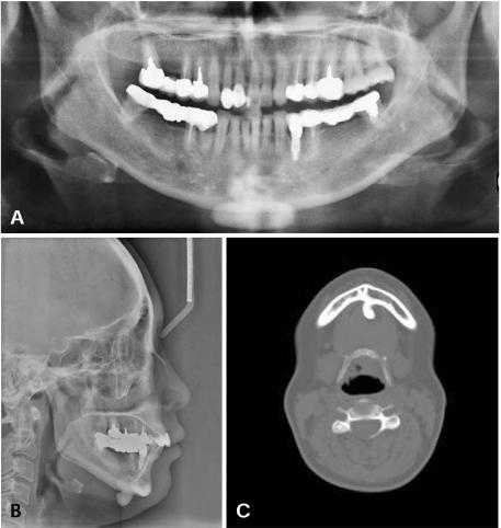
There were 13 women and 5 men from 18 years to 69 years of age (mean age, 42±27 years). Fourteen osteomas were found in the mandible (78%), two in frontal sinus, one in sphenoid bone, and one in maxilla.

CONCLUSION

Osteomas are benign tumors composed of mature compact bone or cancellous bone. They are essentially restricted to the craniofacial skeleton and rarely, if ever, are diagnosed in other bones.

摘要

目的

本研究的目的是呈现一组颅面部骨瘤病例的临床特征,并将其与牙科文献中描述的特征进行比较。

材料与方法

对18例诊断为颅面部骨瘤的患者进行回顾性研究。记录患者的年龄、性别、部位、症状及影像学表现。

结果

18例患者中,女性13例,男性5例,年龄18岁至69岁(平均年龄42±27岁)。14例骨瘤位于下颌骨(78%),2例位于额窦,1例位于蝶骨,1例位于上颌骨。

结论

骨瘤是由成熟的密质骨或松质骨组成的良性肿瘤。它们基本上局限于颅面骨骼,极少(如果有的话)在其他骨骼中被诊断出来。

https://cdn.ncbi.nlm.nih.gov/pmc/blobs/e50f/3189534/2e6adc1ab108/isd-41-107-g009.jpg
https://cdn.ncbi.nlm.nih.gov/pmc/blobs/e50f/3189534/bf5c45e53f9c/isd-41-107-g001.jpg
https://cdn.ncbi.nlm.nih.gov/pmc/blobs/e50f/3189534/d3c17121f114/isd-41-107-g002.jpg
https://cdn.ncbi.nlm.nih.gov/pmc/blobs/e50f/3189534/889ed35d960e/isd-41-107-g003.jpg
https://cdn.ncbi.nlm.nih.gov/pmc/blobs/e50f/3189534/a6d9a2203e8c/isd-41-107-g004.jpg
https://cdn.ncbi.nlm.nih.gov/pmc/blobs/e50f/3189534/ac863bc52c13/isd-41-107-g005.jpg
https://cdn.ncbi.nlm.nih.gov/pmc/blobs/e50f/3189534/7e36f360e114/isd-41-107-g006.jpg
https://cdn.ncbi.nlm.nih.gov/pmc/blobs/e50f/3189534/15318b857ba1/isd-41-107-g007.jpg
https://cdn.ncbi.nlm.nih.gov/pmc/blobs/e50f/3189534/a735e4c65101/isd-41-107-g008.jpg
https://cdn.ncbi.nlm.nih.gov/pmc/blobs/e50f/3189534/2e6adc1ab108/isd-41-107-g009.jpg
https://cdn.ncbi.nlm.nih.gov/pmc/blobs/e50f/3189534/bf5c45e53f9c/isd-41-107-g001.jpg
https://cdn.ncbi.nlm.nih.gov/pmc/blobs/e50f/3189534/d3c17121f114/isd-41-107-g002.jpg
https://cdn.ncbi.nlm.nih.gov/pmc/blobs/e50f/3189534/889ed35d960e/isd-41-107-g003.jpg
https://cdn.ncbi.nlm.nih.gov/pmc/blobs/e50f/3189534/a6d9a2203e8c/isd-41-107-g004.jpg
https://cdn.ncbi.nlm.nih.gov/pmc/blobs/e50f/3189534/ac863bc52c13/isd-41-107-g005.jpg
https://cdn.ncbi.nlm.nih.gov/pmc/blobs/e50f/3189534/7e36f360e114/isd-41-107-g006.jpg
https://cdn.ncbi.nlm.nih.gov/pmc/blobs/e50f/3189534/15318b857ba1/isd-41-107-g007.jpg
https://cdn.ncbi.nlm.nih.gov/pmc/blobs/e50f/3189534/a735e4c65101/isd-41-107-g008.jpg
https://cdn.ncbi.nlm.nih.gov/pmc/blobs/e50f/3189534/2e6adc1ab108/isd-41-107-g009.jpg

相似文献

1
Osteomas of the craniofacial region.颅面部骨瘤
Imaging Sci Dent. 2011 Sep;41(3):107-13. doi: 10.5624/isd.2011.41.3.107. Epub 2011 Sep 15.
2
Solitary Periosteal Osteoma of the Mandible: A case report.下颌骨孤立性骨膜骨瘤:一例报告。
Sultan Qaboos Univ Med J. 2014 Feb;14(1):e145-8. doi: 10.12816/0003352. Epub 2014 Jan 27.
3
Management of osteomas of the paranasal sinuses.鼻窦骨瘤的管理
Am J Rhinol. 1998 Nov-Dec;12(6):393-8. doi: 10.2500/105065898780707955.
4
Multiple peripheral osteomas of forehead: report of a rare case.前额多发性外周骨瘤:1例罕见病例报告
Ann Med Health Sci Res. 2013 Jan;3(1):105-7. doi: 10.4103/2141-9248.109465.
5
Osteomas of the craniofacial region. Review of 106 cases.颅面部骨瘤。106例病例回顾。
J Oral Pathol Med. 2008 Jan;37(1):38-42. doi: 10.1111/j.1600-0714.2007.00590.x.
6
[Endoscopic management of osteomas of the paranasal sinuses--own experience].[鼻旁窦骨瘤的内镜治疗——自身经验]
Otolaryngol Pol. 2007;61(3):260-4. doi: 10.1016/S0030-6657(07)70423-7.
7
Osteomas of the paranasal sinuses: surgical treatment options.鼻窦骨瘤:手术治疗方案
Med Sci Monit. 2007 May;13(5):CR244-50.
8
Maxillary sinus osteoma: two cases and review of the literature.上颌窦骨瘤:两例报告并文献复习。
Acta Otorhinolaryngol Ital. 2012 Jun;32(3):202-5.
9
Multiple Peripheral Osteomas Related to Frontal Exposure by Bicoronal Incision.与双冠状切口额部暴露相关的多发性周围骨瘤
J Craniofac Surg. 2016 May;27(3):733-4. doi: 10.1097/SCS.0000000000002587.
10
Treatment of frontal sinus osteoma using a craniofacial approach.采用颅面入路治疗额窦骨瘤。
Ann Plast Surg. 1997 May;38(5):455-9. doi: 10.1097/00000637-199705000-00004.

引用本文的文献

1
Exploring Atypical Origins of Trismus: Surgical Solutions for Rare Pathologies-Insights from Rare Clinical Cases.探索牙关紧闭的非典型病因:罕见病理的手术解决方案——来自罕见临床病例的见解
Diagnostics (Basel). 2025 May 28;15(11):1360. doi: 10.3390/diagnostics15111360.
2
A Rare Case of Peripheral Osteoma of the Alveolar Bone of the Maxilla in a 13-Year-Old Boy.一名13岁男孩上颌牙槽骨外周骨瘤的罕见病例。
J Clin Med. 2024 Nov 27;13(23):7187. doi: 10.3390/jcm13237187.
3
Update from the 5th Edition of the World Health Organization Classification of Head and Neck Tumors: Familial Tumor Syndromes.

本文引用的文献

1
Middle turbinate osteoma.中鼻甲骨瘤
Indian J Otolaryngol Head Neck Surg. 2008 Sep;60(3):266-8. doi: 10.1007/s12070-008-0090-1. Epub 2008 Oct 22.
2
Middle turbinate osteoma extending into anterior cranial fossa.中鼻甲骨瘤延伸至前颅窝。
Auris Nasus Larynx. 2009 Dec;36(6):702-4. doi: 10.1016/j.anl.2009.02.003. Epub 2009 May 5.
3
Osteomas of the craniofacial region. Review of 106 cases.颅面部骨瘤。106例病例回顾。
世界卫生组织头颈部肿瘤分类第五版更新:家族性肿瘤综合征。
Head Neck Pathol. 2022 Mar;16(1):143-157. doi: 10.1007/s12105-022-01414-z. Epub 2022 Mar 21.
4
Craniofacial Osteomas: From Diagnosis to Therapy.颅面骨瘤:从诊断到治疗
J Clin Med. 2021 Nov 27;10(23):5584. doi: 10.3390/jcm10235584.
5
Mandibular osteoma as a cause of ankylosis and progressive trismus.下颌骨骨瘤导致的关节强直和进行性牙关紧闭。
BMJ Case Rep. 2021 Sep 22;14(9):e244014. doi: 10.1136/bcr-2021-244014.
6
Management of a case of osteoma of coronoid: A rare case report.冠状突骨瘤病例的管理:一例罕见病例报告。
Natl J Maxillofac Surg. 2021 May-Aug;12(2):276-279. doi: 10.4103/njms.NJMS_68_19. Epub 2021 Jul 15.
7
Bone-related disorders of the jaw: A clinico-radiological diagnostic algorithm.颌骨相关骨病:临床-放射学诊断算法。
Neuroradiol J. 2021 Aug;34(4):289-299. doi: 10.1177/1971400921998967. Epub 2021 Mar 8.
8
Central compact osteoma of mandibular condyle.下颌骨髁突中央致密性骨瘤
BMJ Case Rep. 2020 Feb 10;13(2):e233082. doi: 10.1136/bcr-2019-233082.
9
A Sizeable Solitary Pedunculated Peripheral Osteoma of the Hard Palate: A Case Report.硬腭巨大孤立带蒂外周骨瘤1例报告
Indian J Otolaryngol Head Neck Surg. 2019 Oct;71(Suppl 1):813-815. doi: 10.1007/s12070-018-1561-7. Epub 2019 Jan 1.
10
Post-Traumatic Peripheral Giant Osteoma in the Frontal Bone.额骨创伤后周围性巨大骨瘤
Arch Craniofac Surg. 2017 Dec;18(4):273-276. doi: 10.7181/acfs.2017.18.4.273. Epub 2017 Dec 23.
J Oral Pathol Med. 2008 Jan;37(1):38-42. doi: 10.1111/j.1600-0714.2007.00590.x.
4
Huge peripheral osteoma of the mandible: a case report and review of the literature.巨大下颌骨周围骨瘤:一例报告并文献复习
Pathol Res Pract. 2007;203(3):185-8. doi: 10.1016/j.prp.2007.01.004. Epub 2007 Feb 20.
5
Common fibro-osseous lesions of the paranasal sinuses.鼻窦常见的纤维骨性病变。
Otolaryngol Clin North Am. 2006 Jun;39(3):585-600, x. doi: 10.1016/j.otc.2006.01.013.
6
Superior turbinate osteoma: a case report.上颌窦骨瘤:一例报告。
Auris Nasus Larynx. 2005 Sep;32(3):291-3. doi: 10.1016/j.anl.2005.03.004.
7
Osteoma of the zygomatic arch--report of a case.颧弓骨瘤——病例报告
Int J Oral Maxillofac Surg. 2004 Apr;33(3):310-1. doi: 10.1006/ijom.2002.0468.
8
Uncommon peripheral osteoma of the mandible: report of two cases.下颌骨罕见外周骨瘤:两例报告。
J Contemp Dent Pract. 2003 Aug 15;4(3):98-104.
9
Middle turbinate osteoma presenting with ipsilateral facial pain, epiphora, and nasal obstruction.中鼻甲骨瘤表现为同侧面部疼痛、流泪和鼻塞。
Otolaryngol Head Neck Surg. 2003 Feb;128(2):282-3. doi: 10.1067/mhn.2003.29.
10
Peripheral osteoma of the oral and maxillofacial region: a study of 35 new cases.口腔颌面部周围骨瘤:35例新病例研究
J Oral Maxillofac Surg. 2002 Nov;60(11):1299-301. doi: 10.1053/joms.2002.35727.