Suppr超能文献

利用体内/体外兼容的 pIVEX 质粒在大肠杆菌中过表达斑马鱼 DNA 聚合酶 β的特性研究。

Characterization of DNA polymerase β from Danio rerio by overexpression in E. coli using the in vivo/in vitro compatible pIVEX plasmid.

机构信息

Health Research Institute, National Institute of Advanced Industrial Science and Technology, Takamatsu, Kagawa, Japan.

出版信息

Microb Cell Fact. 2011 Oct 21;10:84. doi: 10.1186/1475-2859-10-84.

Abstract

BACKGROUND

Eukaryotic DNA polymerase β (pol β), the polymerase thought to be responsible for DNA repair synthesis, has been extensively characterized in rats and humans. However, pol β has not been purified or enzymatically characterized from the model fish species Danio rerio (zebrafish). We used the in vitro/in vivo dual expression system plasmid, pIVEX, to express Danio rerio pol β (Danio pol β) for biochemical characterization.

RESULTS

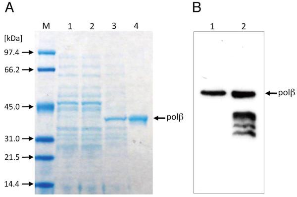
Danio pol β encoded by the in vitro/in vivo-compatible pIVEX plasmid was expressed in E. coli BL21(DE3), BL21(DE3)pLysS, and KRX, and in vitro as a C-terminal His-tagged protein. Danio pol β expressed in vitro was subject to proteolysis; therefore, bacterial overexpression was used to produce the protein for kinetic analyses. KRX cells were preferred because of their reduced propensity for leaky expression of pol β. The cDNA of Danio rerio pol β encodes a protein of 337 amino acids, which is 2-3 amino acids longer than other pol β proteins, and contains a P63D amino acid substitution, unlike mammalian pol βs. This substitution lies in a hairpin sequence within an 8-kDa domain, likely to be important in DNA binding. We performed extensive biochemical characterization of Danio pol β in comparison with rat pol β, which revealed its sensitivity to metal ion activators (Mn2+ and Mg2+), its optimum salt concentration (10 mM KCl and 50 mM NaCl), alkaline pH optimum (pH 9.0), and low temperature optimum (30°C). Substituting Mn2+ for Mg2+ resulted in 8.6-fold higher catalytic efficiency (kcat/Km).

CONCLUSIONS

Our characterization of pol β from a model fish organism contributes to the study of the function and evolution of DNA polymerases, which are emerging as important cellular targets for chemical intervention in the development of anticancer agents.

摘要

背景

真核生物 DNA 聚合酶 β(pol β)被认为是负责 DNA 修复合成的聚合酶,已在大鼠和人类中得到广泛研究。然而,pol β 尚未从模型鱼类物种斑马鱼(Danio rerio)中被纯化或酶学表征。我们使用体外/体内双重表达系统质粒 pIVEX 来表达斑马鱼 pol β(Danio pol β)以进行生化表征。

结果

pIVEX 质粒体外/体内兼容表达的 Danio pol β 在大肠杆菌 BL21(DE3)、BL21(DE3)pLysS 和 KRX 中以及体外作为 C 端 His 标记蛋白表达。体外表达的 Danio pol β 易受蛋白水解;因此,细菌过表达用于进行动力学分析。由于其 pol β 渗漏表达的倾向较低,因此选择 KRX 细胞。Danio rerio pol β 的 cDNA 编码 337 个氨基酸的蛋白质,比其他 pol β 蛋白质长 2-3 个氨基酸,并且含有 P63D 氨基酸取代,与哺乳动物 pol β 不同。该取代位于 8kDa 结构域内的发夹序列中,可能对 DNA 结合很重要。我们对 Danio pol β 进行了广泛的生化表征,并与大鼠 pol β 进行了比较,结果表明其对金属离子激活剂(Mn2+ 和 Mg2+)敏感、最适盐浓度(10mM KCl 和 50mM NaCl)、碱性 pH 最佳(pH9.0)和低温最佳(30°C)。用 Mn2+取代 Mg2+会导致催化效率(kcat/Km)提高 8.6 倍。

结论

我们对来自模型鱼类的 pol β 的特征描述有助于研究 DNA 聚合酶的功能和进化,这些聚合酶作为化学干预抗癌药物开发的重要细胞靶标正在出现。

https://cdn.ncbi.nlm.nih.gov/pmc/blobs/b0f3/3214136/ee08dc9d5762/1475-2859-10-84-1.jpg

文献检索

告别复杂PubMed语法,用中文像聊天一样搜索,搜遍4000万医学文献。AI智能推荐,让科研检索更轻松。

立即免费搜索

文件翻译

保留排版,准确专业,支持PDF/Word/PPT等文件格式,支持 12+语言互译。

免费翻译文档

深度研究

AI帮你快速写综述,25分钟生成高质量综述,智能提取关键信息,辅助科研写作。

立即免费体验