Suppr超能文献

缺血再灌注会增强衰老骨骼肌中甘油醛-3-磷酸脱氢酶的硝化作用。

Ishemia-reperfusion enhances GAPDH nitration in aging skeletal muscle.

作者信息

Bailey C Eric, Hammers David W, Deford James H, Dimayuga Vincent L, Amaning James K, Farrar Roger, Papaconstantinou John

机构信息

Department of Biochemistry and Molecular Biology, University of Texas Medical Branch, Galveston, USA.

出版信息

Aging (Albany NY). 2011 Oct;3(10):1003-17. doi: 10.18632/aging.100394.

Abstract

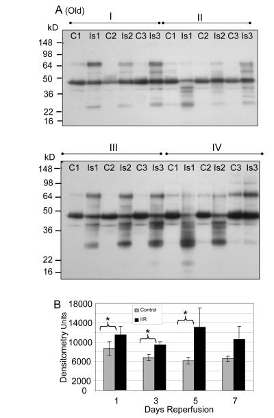
Aging and skeletal muscle ischemia/reperfusion (I/R) injury leads to decreased contractile force generation that increases severely with age. Our studies show that glyceraldehyde-3-phosphate dehydrogenase (GAPDH) protein expression is significantly decreased at 3 and 5 days reperfusion in the young mouse muscle and at 1, 3, 5, and 7 days in the aged muscle. Using PCR, we have shown that GAPDH mRNA levels in young and old muscle increase at 5 days reperfusion compared to control, suggesting that the protein deficit is not transcriptional. Furthermore, while total tyrosine nitration did not increase in the young muscle, GAPDH nitration increased significantly at 1 and 3 days reperfusion. In contrast, total tyrosine nitration in aged muscle increased significantly at 1, 3, and 5 days of reperfusion, with increases in GAPDH nitration at the same time points. We conclude that GAPDH protein levels decrease following I/R, that this is not transcriptionally mediated, that the aged muscle experiences greater oxidative stress, protein modification and GAPDH degradation, possibly contributing to decreased muscle function. We propose that tyrosine nitration enhances GAPDH degradation following I/R and that the persistent decrease of GAPDH in aged muscle is due to the prolonged increase in oxidative modification in this age group.

摘要

衰老和骨骼肌缺血/再灌注(I/R)损伤会导致收缩力生成下降,且这种下降会随着年龄的增长而严重加剧。我们的研究表明,在年轻小鼠肌肉再灌注3天和5天时,以及在老年肌肉再灌注1天、3天、5天和7天时,甘油醛-3-磷酸脱氢酶(GAPDH)蛋白表达显著降低。通过聚合酶链反应(PCR),我们发现与对照组相比,年轻和老年肌肉在再灌注5天时GAPDH信使核糖核酸(mRNA)水平升高,这表明蛋白质缺乏并非由转录引起。此外,虽然年轻肌肉中的总酪氨酸硝化作用没有增加,但GAPDH硝化作用在再灌注1天和3天时显著增加。相比之下,老年肌肉中的总酪氨酸硝化作用在再灌注1天、3天和5天时显著增加,同时GAPDH硝化作用也在这些时间点增加。我们得出结论,I/R后GAPDH蛋白水平下降,这并非由转录介导,老年肌肉经历了更大的氧化应激、蛋白质修饰和GAPDH降解,这可能导致肌肉功能下降。我们提出,酪氨酸硝化作用会增强I/R后GAPDH的降解,而老年肌肉中GAPDH的持续下降是由于该年龄组氧化修饰的长期增加所致。

https://cdn.ncbi.nlm.nih.gov/pmc/blobs/3f46/3229964/5fe41f1436f0/aging-03-1003-g001.jpg

文献AI研究员

20分钟写一篇综述,助力文献阅读效率提升50倍。

立即体验

用中文搜PubMed

大模型驱动的PubMed中文搜索引擎

马上搜索

文档翻译

学术文献翻译模型,支持多种主流文档格式。

立即体验