20分钟写一篇综述,助力文献阅读效率提升50倍。
大模型驱动的PubMed中文搜索引擎
学术文献翻译模型,支持多种主流文档格式。
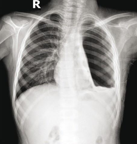
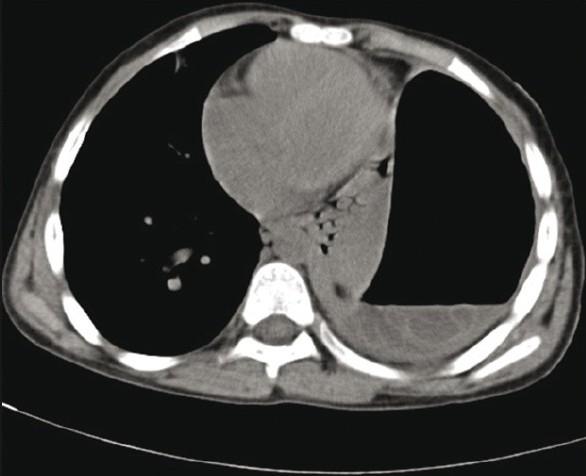
Joshi Jyotsna M
Department of Respiratory Medicine, T. N. Medical College and B. Y. L. Nair Hospital, Mumbai, India.
Lung India. 2011 Oct;28(4):315-6. doi: 10.4103/0970-2113.85745.