Suppr超能文献

下唇黏液囊肿和刺激性纤维瘤的罕见表现。

A rare presentation of mucocele and irritation fibroma of the lower lip.

作者信息

Rangeeth B N, Moses Joyson, Reddy Veera Kishore Kumar

机构信息

Department of Pedodontics and Preventive Dentistry, Thai Moogambigai Dental College and Hospital, Chennai, India.

出版信息

Contemp Clin Dent. 2010 Apr;1(2):111-4. doi: 10.4103/0976-237X.68596.

Abstract

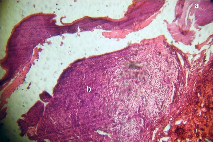
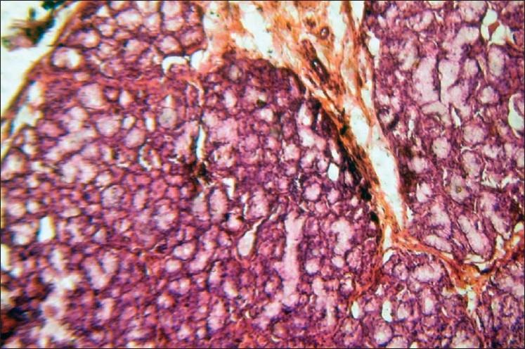
The effects of chronic local irritation have been seen commonly in the form of fibroma or mucocele in children. We report a nine year old girl with the chief complaint of multiple swellings in the lower lip which was diagnosed both clinically and histologically as fibroma and mucocele. Surgical excision was done under local anesthesia with no post-operative complications. To our knowledge there was no other occurrence, either at the same site or at different locations, involving these two lesions in the oral mucosa.

摘要

慢性局部刺激的影响在儿童中常见表现为纤维瘤或黏液囊肿。我们报告一名9岁女孩,主要症状为下唇多处肿胀,经临床和组织学诊断为纤维瘤和黏液囊肿。在局部麻醉下进行了手术切除,术后无并发症。据我们所知,在口腔黏膜的同一部位或不同部位,没有其他同时出现这两种病变的情况。

https://cdn.ncbi.nlm.nih.gov/pmc/blobs/1e48/3220081/df1443187562/CCD-1-111-g001.jpg

文献AI研究员

20分钟写一篇综述,助力文献阅读效率提升50倍。

立即体验

用中文搜PubMed

大模型驱动的PubMed中文搜索引擎

马上搜索

文档翻译

学术文献翻译模型,支持多种主流文档格式。

立即体验