Kurukumbi Mohankumar, Muley Amruta, Ramidi Ganga, Wynn Zakiya, Trouth Annapurni Jayam
Departments of Neurology, Howard University Hospital, Washington, D.C., USA.
Case Rep Neurol. 2011 Sep;3(3):227-32. doi: 10.1159/000333061. Epub 2011 Oct 1.
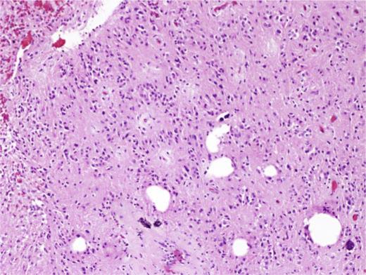
A rare case of subependymoma in a young patient presenting with sensory dysesthesia is reported. Computed tomography scan and magnetic resonance imaging revealed a posterior fossa mass occluding the fourth ventricle with infiltration to the right side immediately behind the pontine tegmentum and impinging on the right spinothalamic tract. Postoperative tumor histopathology revealed the classical appearance of subependymoma. Subependymoma is a rare, asymptomatic, slow-growing, low-grade glioma of the central nervous system. If symptomatic, the clinical features are commonly secondary to hydrocephalus, but subependymoma presenting with sensory dysesthesia has never been reported in the literature.
报告了一例年轻患者出现感觉异常的罕见室管膜下瘤病例。计算机断层扫描和磁共振成像显示后颅窝肿块阻塞第四脑室,浸润至脑桥被盖后方右侧并压迫右侧脊髓丘脑束。术后肿瘤组织病理学显示室管膜下瘤的典型表现。室管膜下瘤是一种罕见的、无症状的、生长缓慢的中枢神经系统低级别胶质瘤。如果出现症状,临床特征通常继发于脑积水,但文献中从未报道过以感觉异常为表现的室管膜下瘤。