Suppr超能文献

Irradiation-induced penile angiosarcoma.

作者信息

Prescott R J, Mainwaring A R

机构信息

Department of Histopathology, Hope Hospital, Salford, UK.

出版信息

Postgrad Med J. 1990 Jul;66(777):576-9. doi: 10.1136/pgmj.66.777.576.

Abstract

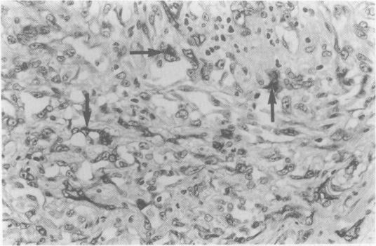
We report a case of angiosarcoma of the glans penis in a 77 year old male Caucasian. The tumour developed 18 years after a course of radiotherapy for a penile ulcer which was an intra-epidermal squamous carcinoma. The differential diagnosis and the concept of radiotherapy-induced angiosarcomas are discussed.

摘要
https://cdn.ncbi.nlm.nih.gov/pmc/blobs/ac3d/2429621/30ccf782fae4/postmedj00163-0082-a.jpg

相似文献

1
Irradiation-induced penile angiosarcoma.
Postgrad Med J. 1990 Jul;66(777):576-9. doi: 10.1136/pgmj.66.777.576.
2
Angiosarcoma developing in a patient with Neurofibromatosis (von Recklinghausen's disease).
Cancer. 1981 Mar 1;47(5):950-4. doi: 10.1002/1097-0142(19810301)47:5<950::aid-cncr2820470522>3.0.co;2-j.
3
Radiation-induced carcinoma of the penis.
Br J Urol. 1986 Jun;58(3):325-6. doi: 10.1111/j.1464-410x.1986.tb09064.x.
4
Angiosarcoma of the uterus following radiotherapy for squamous cell carcinoma of the cervix.
Eur J Obstet Gynecol Reprod Biol. 1993 May;49(3):193-7. doi: 10.1016/0028-2243(93)90269-i.
5
Radiation-induced carcinoma of the penis.
Urol Int. 1995;54(3):147-9. doi: 10.1159/000282709.
7
Intra-abdominal angiosarcomatosis after radiotherapy.
J Gastroenterol Hepatol. 1999 Mar;14(3):289-92. doi: 10.1046/j.1440-1746.1999.01847.x.
8
Angiosarcoma following therapeutic irradiation.
Cancer. 1979 Dec;44(6):2044-8. doi: 10.1002/1097-0142(197912)44:6<2044::aid-cncr2820440614>3.0.co;2-u.
9
Postirradiation angiosarcoma.
J Am Acad Dermatol. 1985 May;12(5 Pt 2):922-6. doi: 10.1016/s0190-9622(85)70114-4.
10
Intra-abdominal "angiosarcomatosis" report of two cases after pelvic irradiation.
Cancer. 1991 May 1;67(9):2275-9. doi: 10.1002/1097-0142(19910501)67:9<2275::aid-cncr2820670911>3.0.co;2-6.

引用本文的文献

1
Soft tissue tumours of the penis. The 30-year Istituto Nazionale Tumori di Milano experience.
Pathologica. 2024 Feb;116(1):46-54. doi: 10.32074/1591-951X-953.
2
Angiosarcoma of penis: Case report of an aggressive penile cancer.
Urol Ann. 2015 Apr-Jun;7(2):251-3. doi: 10.4103/0974-7796.150497.
3
Angiosarcoma of penis.
BMJ Case Rep. 2013 Dec 18;2013:bcr2013200878. doi: 10.1136/bcr-2013-200878.
4
Angiosarcoma of the penis: a case report and literature review.
Int Urol Nephrol. 2012 Oct;44(5):1341-3. doi: 10.1007/s11255-012-0239-4. Epub 2012 Jul 6.

本文引用的文献

1
Sarcoma of the penis.
J Urol. 1958 Jul;80(1):43-5. doi: 10.1016/S0022-5347(17)66128-7.
2
Carcinoma of the penis due to trauma occurring in a male patient circumcised at birth.
J Urol. 1956 Apr;75(4):728-9. doi: 10.1016/S0022-5347(17)66872-1.
3
Lymphangiosarcoma.
Cancer. 1981 Oct 1;48(7):1674-9. doi: 10.1002/1097-0142(19811001)48:7<1674::aid-cncr2820480733>3.0.co;2-h.
4
Angiosarcoma of skin and soft tissue: a study of forty-four cases.
Cancer. 1981 Oct 15;48(8):1907-21. doi: 10.1002/1097-0142(19811015)48:8<1907::aid-cncr2820480832>3.0.co;2-t.
5
Angiosarcoma of the penis with hepatic angiomas in a patient with low vinyl chloride exposure.
Cancer. 1981 Mar 15;47(6):1318-24. doi: 10.1002/1097-0142(19810315)47:6<1318::aid-cncr2820470614>3.0.co;2-6.
8
Angiosarcoma in irradiated post-mastectomy chest wall.
Histopathology. 1983 Nov;7(6):947-56. doi: 10.1111/j.1365-2559.1983.tb02309.x.
10
Soft tissue tumors of the penis. A clinicopathologic study of 46 cases.
Cancer. 1970 Jun;25(6):1431-47. doi: 10.1002/1097-0142(197006)25:6<1431::aid-cncr2820250624>3.0.co;2-b.

文献AI研究员

20分钟写一篇综述,助力文献阅读效率提升50倍。

立即体验

用中文搜PubMed

大模型驱动的PubMed中文搜索引擎

马上搜索

文档翻译

学术文献翻译模型,支持多种主流文档格式。

立即体验