Suppr超能文献

年轻成人中由头孢曲松引起的胆囊假结石症

Gallbladder pseudolithiasis caused by ceftriaxone in young adult.

作者信息

Choi Yoon Young, Jung Yun Hwa, Choi Su Mun, Lee Chul Seung, Kim Daeyong, Hur Kyung Yul

机构信息

Department of Surgery, The Armed Forces Gangneung Hospital, Gangneung, Korea.

出版信息

J Korean Surg Soc. 2011 Dec;81(6):423-6. doi: 10.4174/jkss.2011.81.6.423. Epub 2011 Nov 25.

Abstract

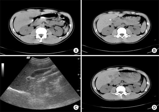
Ceftriaxone is a commonly used antibiotic due to some of its advantages. Reversible gallbladder (GB) sludge or stone has been reported after ceftriaxone therapy. Most of these patients have no symptom, but the GB sludge or stone can sometimes cause cholecystitis. We experienced two patients who had newly developed GB stones after ceftriaxone therapy for diverticulitis and pneumonia, and this resolved spontaneously 1 month after discontinuation of the drug. Awareness of this complication could help to prevent unnecessary cholecystectomy.

摘要

由于某些优点,头孢曲松是一种常用的抗生素。已有报道称,头孢曲松治疗后会出现可逆性胆囊(GB)泥沙样沉淀或结石。这些患者大多数没有症状,但GB泥沙样沉淀或结石有时会引起胆囊炎。我们遇到了两名患者,他们在接受头孢曲松治疗憩室炎和肺炎后新出现了GB结石,停药1个月后结石自行消退。认识到这种并发症有助于预防不必要的胆囊切除术。

https://cdn.ncbi.nlm.nih.gov/pmc/blobs/2eea/3243861/a3d91817faf9/jkss-81-423-g001.jpg

相似文献

1
Gallbladder pseudolithiasis caused by ceftriaxone in young adult.
J Korean Surg Soc. 2011 Dec;81(6):423-6. doi: 10.4174/jkss.2011.81.6.423. Epub 2011 Nov 25.
2
[Clinical review and case report of ceftriaxone-associated gallbladder pseudolithiasis in adult].
Korean J Gastroenterol. 2014 Jun;63(6):378-81. doi: 10.4166/kjg.2014.63.6.378.
4
Long-term follow-up study of gallbladder in situ after endoscopic common duct stone removal in Korean patients.
Surg Endosc. 2013 May;27(5):1711-6. doi: 10.1007/s00464-012-2662-0. Epub 2012 Dec 14.
5
Hemodialysis as a Risk Factor for Ceftriaxone-Associated Pseudolithiasis in Adults.
Ther Apher Dial. 2020 Aug;24(4):393-399. doi: 10.1111/1744-9987.13445. Epub 2019 Nov 10.
7
Ceftriaxone-associated biliary pseudolithiasis in children.
J Clin Ultrasound. 2006 Jun;34(5):217-22. doi: 10.1002/jcu.20228.
8
10

引用本文的文献

1
Factors influencing the cure of pseudolithiasis: a retrospective study of 264 patients.
BMC Gastroenterol. 2025 Feb 22;25(1):105. doi: 10.1186/s12876-025-03704-6.
2
Cefotaxime Versus Ceftriaxone: A Comprehensive Comparative Review.
Cureus. 2024 Sep 11;16(9):e69146. doi: 10.7759/cureus.69146. eCollection 2024 Sep.
3
Ceftriaxone-induced symptomatic cholelithiasis in a child: case report and literature review.
Oxf Med Case Reports. 2024 Jun 7;2024(6):omae062. doi: 10.1093/omcr/omae062. eCollection 2024 Jun.
5
Rapid Onset of Ceftriaxone-Induced Cholelithiasis in an Adult Patient.
J Glob Infect Dis. 2022 Feb 16;14(1):31-34. doi: 10.4103/jgid.jgid_11_21. eCollection 2022 Jan-Mar.
6
Ceftriaxone-Induced Gallstones: Case Report and Literature Review.
ACG Case Rep J. 2014 Apr 4;1(3):170-2. doi: 10.14309/crj.2014.40. eCollection 2014 Apr.
7
Ceftriaxone-associated nephrolithiasis in children.
Iran J Pediatr. 2013 Dec;23(6):643-7.
8
The polymicrobial Actinomyces naeslundii and Pseudomonas aeruginosa sepsis in a patient with ulcerative colitis 2 months after colonoscopy.
Wien Klin Wochenschr. 2014 Feb;126(3-4):130-2. doi: 10.1007/s00508-013-0471-7. Epub 2013 Dec 3.

本文引用的文献

1
Acute cholecystitis caused by ceftriaxone stones in an adult.
Case Rep Med. 2009;2009:132452. doi: 10.1155/2009/132452. Epub 2009 Apr 26.
2
Ceftriaxone-associated biliary pseudolithiasis in children.
J Clin Ultrasound. 2006 Jun;34(5):217-22. doi: 10.1002/jcu.20228.
3
Effects of ceftriaxone sodium on in vitro gallbladder contractility in guinea pigs.
J Surg Res. 2004 Dec;122(2):157-61. doi: 10.1016/j.jss.2004.05.020.
4
Ceftriaxone-associated nephrolithiasis and biliary pseudolithiasis in a child.
Pediatr Radiol. 2003 Sep;33(9):648-51. doi: 10.1007/s00247-003-0963-0. Epub 2003 Jun 26.
5
Ceftriaxone. A review of its antibacterial activity, pharmacological properties and therapeutic use.
Drugs. 1984 Jun;27(6):469-527. doi: 10.2165/00003495-198427060-00001.
6
Reversible ceftriaxone-associated biliary pseudolithiasis in children.
Lancet. 1988 Dec 17;2(8625):1411-3. doi: 10.1016/s0140-6736(88)90596-x.
7
A comparison of ceftriaxone and cefuroxime for the treatment of bacterial meningitis in children.
N Engl J Med. 1990 Jan 18;322(3):141-7. doi: 10.1056/NEJM199001183220301.
9
Gallbladder sludge and antibiotics.
Pediatr Infect Dis J. 1990 Jun;9(6):422-3. doi: 10.1097/00006454-199006000-00011.

文献AI研究员

20分钟写一篇综述,助力文献阅读效率提升50倍。

立即体验

用中文搜PubMed

大模型驱动的PubMed中文搜索引擎

马上搜索

文档翻译

学术文献翻译模型,支持多种主流文档格式。

立即体验