Hardanti Sylviana, Oscandar Fahmi
Department of Dentomaxillofacial Radiology, Faculty of Dentistry, Padjadjaran University, Bandung, Indonesia.
Imaging Sci Dent. 2011 Dec;41(4):151-3. doi: 10.5624/isd.2011.41.4.151. Epub 2011 Dec 19.
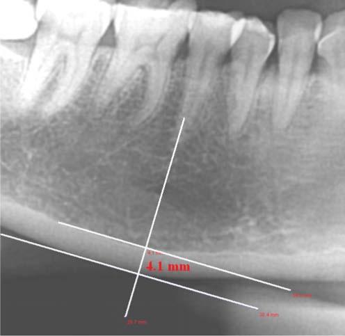
The purpose of this study was to obtain the description of the mandibular bone quality of male and female patients between 40-60 years old and their differences based on mandibular cortical bone thickness measured using Mental Index (MI).
Forty digital panoramic radiographs, which consisted of twenty male and twenty female patients, 40-60 years old, were observed. Mandibular cortical bone thickness was measured using MI on both sides of the mandible. The average MI score of two groups were then assessed using t-sample independent test.
There were significant differences of mandibular bone quality based on mandibular cortical bone thickness measurement using MI between male and female patients (p<0.05).
Mandibular bone quality based on cortical bone thickness measurement using MI of male and female patients indicated a significant difference.
本研究的目的是通过使用颏部指数(MI)测量下颌皮质骨厚度,来描述40至60岁男性和女性患者的下颌骨质量及其差异。
观察了40张数字化全景X线片,其中包括20名40至60岁的男性患者和20名女性患者。使用MI测量下颌骨两侧的皮质骨厚度。然后使用独立样本t检验评估两组的平均MI评分。
基于使用MI测量的下颌皮质骨厚度,男性和女性患者的下颌骨质量存在显著差异(p<0.05)。
基于使用MI测量皮质骨厚度的男性和女性患者的下颌骨质量存在显著差异。