Suppr超能文献

与 IgG4 相关的 tubulointerstitial nephritis 中糖皮质激素治疗相关的临床和组织学变化。

Clinical and histological changes associated with corticosteroid therapy in IgG4-related tubulointerstitial nephritis.

机构信息

Department of Internal Medicine, Kanazawa University Graduate School of Medicine, Ishikawa, Japan.

出版信息

Mod Rheumatol. 2012 Nov;22(6):859-70. doi: 10.1007/s10165-011-0589-2. Epub 2012 Jan 20.

Abstract

OBJECTIVES

This study aimed to investigate the clinicopathological changes induced by corticosteroid therapy in immunoglobulin (Ig)G4-related tubulointerstitial nephritis (TIN).

METHODS

We studied six IgG4-related TIN patients receiving renal biopsies before and after corticosteroid therapy. Their clinical data and histological findings were evaluated before and after therapy.

RESULTS

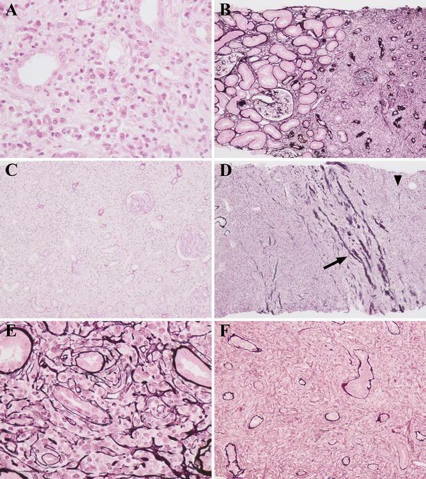
Elevated serum creatinine levels rapidly improved after corticosteroid therapy except for two patients, in whom it persisted. Abnormal radiological findings improved in all patients, although focal cortical atrophy persisted in three. Histologically, TIN-like dense lymphoplasmacytic infiltration, interstitial fibrosis, IgG4-positive plasma cell, CD4+CD25+ T cell, and Foxp3+ cell infiltration were characteristic before therapy. After therapy, the area with cell infiltration decreased and regional fibrosis became evident in the renal interstitium. The number of IgG4-positive plasma cells and Foxp3+ cells significantly diminished even in the early stage of therapy, whereas low to moderate numbers of CD4+ and CD8+ T cells still infiltrated where inflammation persisted in the later stage.

CONCLUSIONS

Our study shows that persistent renal insufficiency associated with macroscopic atrophy and microscopic fibrosis is not so rare in IgG4-related TIN. Pathologically, the behavior of regulatory T cells during the clinical course is quite similar to that of IgG4-positive plasma cells, and the behavior pattern of those cells is distinctive.

摘要

目的

本研究旨在探讨免疫球蛋白(Ig)G4 相关小管间质性肾炎(TIN)患者接受皮质类固醇治疗后的临床病理变化。

方法

我们研究了 6 例 IgG4 相关 TIN 患者,他们在接受皮质类固醇治疗前后均接受了肾活检。我们评估了治疗前后的临床数据和组织学发现。

结果

除 2 例患者外,所有患者的血清肌酐水平在皮质类固醇治疗后迅速改善,这 2 例患者的血清肌酐水平持续升高。所有患者的异常影像学表现均得到改善,尽管 3 例患者仍存在局灶性皮质萎缩。组织学上,治疗前表现为 TIN 样致密淋巴浆细胞浸润、间质纤维化、IgG4 阳性浆细胞、CD4+CD25+T 细胞和 Foxp3+细胞浸润。治疗后,细胞浸润区域减少,间质纤维化明显。即使在治疗早期,IgG4 阳性浆细胞和 Foxp3+细胞的数量也显著减少,而在炎症持续存在的晚期,仍有低至中度数量的 CD4+和 CD8+T 细胞浸润。

结论

我们的研究表明,与宏观萎缩和微观纤维化相关的持续性肾功能不全在 IgG4 相关 TIN 中并不罕见。从病理上看,调节性 T 细胞在疾病过程中的行为与 IgG4 阳性浆细胞非常相似,且这些细胞的行为模式具有特征性。

https://cdn.ncbi.nlm.nih.gov/pmc/blobs/6529/3496477/583527a60018/10165_2011_589_Fig1_HTML.jpg

文献AI研究员

20分钟写一篇综述,助力文献阅读效率提升50倍。

立即体验

用中文搜PubMed

大模型驱动的PubMed中文搜索引擎

马上搜索

文档翻译

学术文献翻译模型,支持多种主流文档格式。

立即体验