Suppr超能文献

暴露于白消安的大鼠胎儿中固缩细胞的分布与序列

Distribution and sequence of pyknotic cells in rat fetuses exposed to busulfan.

作者信息

Ohira Toko, Ando Ryo, Andoh Rie, Nakazawa Tomomi, Nishihara Kaori, Yamamoto Satoshi, Nakamura Norihiko, Tamura Kazutoshi

出版信息

J Toxicol Pathol. 2009 Sep;22(3):167-71. doi: 10.1293/tox.22.167. Epub 2009 Oct 15.

Abstract

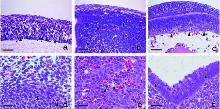
Busulfan, an antineoplastic bifunctional-alkylating agent, is known to induce developmental anomalies. In the present study, we examined the distribution and sequence of pyknotic cells in rat fetal tissues exposed to busulfan. Pregnant rats on gestation day 13 were administered intraperitoneally 30 mg/kg of busulfan, and fetal tissues were examined at 6, 12, 24, 36, 48, 72 and 96 hours after treatment (HAT). Pyknosis of component cells was observed markedly in the brain, moderately in the eyes and spinal cord and mildly in the craniofacial tissue, mandible, limb buds, tail bud, ganglions, alimentary tract, lungs, kidneys, pancreas and liver. In the brain, mitotic inhibition was also detected. Most of the pyknotic cells were considered to be apoptotic cells judging from the results of TUNEL staining and electron microscopic examination. Commonly in the above-mentioned tissues, pyknotic cells began to increase at 24 HAT, peaked at 36 or 48 HAT and disappeared at 96 HAT, which is when the histological picture returned to normal in most tissues except for the brain, spinal cord and eyes. The present study clarified the outline of busulfan-induced apoptosis in rat fetuses.

摘要

白消安是一种抗肿瘤双功能烷化剂,已知会诱发发育异常。在本研究中,我们检测了暴露于白消安的大鼠胎儿组织中固缩细胞的分布和序列。妊娠第13天的怀孕大鼠腹腔注射30mg/kg白消安,并在治疗后6、12、24、36、48、72和96小时(HAT)检查胎儿组织。在脑中明显观察到组成细胞的固缩,在眼和脊髓中中度观察到,在颅面组织、下颌骨、肢芽、尾芽、神经节、消化道、肺、肾、胰腺和肝脏中轻度观察到。在脑中,还检测到有丝分裂抑制。根据TUNEL染色和电子显微镜检查结果,大多数固缩细胞被认为是凋亡细胞。通常在上述组织中,固缩细胞在24HAT时开始增加,在36或48HAT时达到峰值,并在96HAT时消失,此时除脑、脊髓和眼外,大多数组织的组织学图像恢复正常。本研究阐明了白消安诱导大鼠胎儿凋亡的概况。

https://cdn.ncbi.nlm.nih.gov/pmc/blobs/279e/3252038/2078031e924f/tox-22-167-g001.jpg

文献检索

告别复杂PubMed语法,用中文像聊天一样搜索,搜遍4000万医学文献。AI智能推荐,让科研检索更轻松。

立即免费搜索

文件翻译

保留排版,准确专业,支持PDF/Word/PPT等文件格式,支持 12+语言互译。

免费翻译文档

深度研究

AI帮你快速写综述,25分钟生成高质量综述,智能提取关键信息,辅助科研写作。

立即免费体验