• 文献检索
  • 文档翻译
  • 深度研究
  • 学术资讯
  • Suppr Zotero 插件Zotero 插件
  • 邀请有礼
  • 套餐&价格
  • 历史记录
应用&插件
Suppr Zotero 插件Zotero 插件浏览器插件Mac 客户端Windows 客户端微信小程序
定价
高级版会员购买积分包购买API积分包
服务
文献检索文档翻译深度研究API 文档MCP 服务
关于我们
关于 Suppr公司介绍联系我们用户协议隐私条款
关注我们

Suppr 超能文献

核心技术专利:CN118964589B侵权必究
粤ICP备2023148730 号-1Suppr @ 2026

文献检索

告别复杂PubMed语法,用中文像聊天一样搜索,搜遍4000万医学文献。AI智能推荐,让科研检索更轻松。

立即免费搜索

文件翻译

保留排版,准确专业,支持PDF/Word/PPT等文件格式,支持 12+语言互译。

免费翻译文档

深度研究

AI帮你快速写综述,25分钟生成高质量综述,智能提取关键信息,辅助科研写作。

立即免费体验

人源 SCARB2 介导 EV71 的进入和内吞作用。

Human SCARB2-mediated entry and endocytosis of EV71.

机构信息

National Institutes of Infectious Disease and Vaccinology, National Health Research Institutes, Taiwan, Republic of China.

出版信息

PLoS One. 2012;7(1):e30507. doi: 10.1371/journal.pone.0030507. Epub 2012 Jan 17.

DOI:10.1371/journal.pone.0030507
PMID:22272359
原文链接:https://pmc.ncbi.nlm.nih.gov/articles/PMC3260287/
Abstract

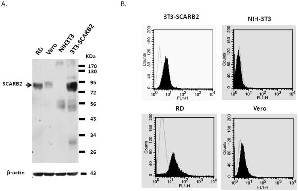
Enterovirus (EV) 71 infection is known to cause hand-foot-and-mouth disease (HFMD) and in severe cases, induces neurological disorders culminating in fatality. An outbreak of EV71 in South East Asia in 1997 affected over 120,000 people and caused neurological disorders in a few individuals. The control of EV71 infection through public health interventions remains minimal and treatments are only symptomatic. Recently, human scavenger receptor class B, member 2 (SCARB2) has been reported to be a cellular receptor of EV71. We expressed human SCARB2 gene in NIH3T3 cells (3T3-SCARB2) to study the mechanisms of EV71 entry and infection. We demonstrated that human SCARB2 serves as a cellular receptor for EV71 entry. Disruption of expression of SCARB2 using siRNAs can interfere EV71 infection and subsequent inhibit the expression of viral capsid proteins in RD and 3T3-SCARB2 but not Vero cells. SiRNAs specific to clathrin or dynamin or chemical inhibitor of clathrin-mediated endocytosis were all capable of interfering with the entry of EV71 into 3T3-SCARB2 cells. On the other hand, caveolin specific siRNA or inhibitors of caveolae-mediated endocytosis had no effect, confirming that only clathrin-mediated pathway was involved in EV71 infection. Endocytosis of EV71 was also found to be pH-dependent requiring endosomal acidification and also required intact membrane cholesterol. In summary, the mechanism of EV71 entry through SCARB2 as the receptor for attachment, and its cellular entry is through a clathrin-mediated and pH-dependent endocytic pathway. This study on the receptor and endocytic mechanisms of EV71 infection is useful for the development of effective medications and prophylactic treatment against the enterovirus.

摘要

肠道病毒 71 型(EV71)感染已知可引起手足口病(HFMD),在严重情况下,可引起神经紊乱,最终导致死亡。1997 年,东南亚爆发的 EV71 疫情影响了超过 120,000 人,并导致少数人出现神经紊乱。通过公共卫生干预措施控制 EV71 感染的效果仍然很小,治疗方法仅为对症治疗。最近,人类清道夫受体 B 型成员 2(SCARB2)被报道为 EV71 的细胞受体。我们在 NIH3T3 细胞(3T3-SCARB2)中表达人类 SCARB2 基因,以研究 EV71 进入和感染的机制。我们证明人类 SCARB2 是 EV71 进入的细胞受体。使用 siRNA 破坏 SCARB2 的表达可以干扰 EV71 感染,并随后抑制 RD 和 3T3-SCARB2 中的病毒衣壳蛋白表达,但不能抑制 Vero 细胞中的表达。针对网格蛋白或动力蛋白的 siRNA 或网格蛋白介导的内吞作用的化学抑制剂均能干扰 EV71 进入 3T3-SCARB2 细胞。另一方面,窖蛋白特异性 siRNA 或窖蛋白介导的内吞作用抑制剂没有影响,证实只有网格蛋白介导的途径参与 EV71 感染。EV71 的内吞作用也发现是 pH 依赖性的,需要内体酸化,还需要完整的膜胆固醇。总之,EV71 通过 SCARB2 作为受体附着的进入机制,以及其细胞进入是通过网格蛋白介导和 pH 依赖性的内吞作用途径。这项关于 EV71 感染的受体和内吞作用机制的研究,对于开发针对肠道病毒的有效药物和预防治疗方法是有用的。

https://cdn.ncbi.nlm.nih.gov/pmc/blobs/37c7/3260287/573fcaa7760d/pone.0030507.g009.jpg
https://cdn.ncbi.nlm.nih.gov/pmc/blobs/37c7/3260287/578a98d0bbb2/pone.0030507.g001.jpg
https://cdn.ncbi.nlm.nih.gov/pmc/blobs/37c7/3260287/0d2de97a61ff/pone.0030507.g002.jpg
https://cdn.ncbi.nlm.nih.gov/pmc/blobs/37c7/3260287/1b1df1b0b767/pone.0030507.g003.jpg
https://cdn.ncbi.nlm.nih.gov/pmc/blobs/37c7/3260287/1daa47a36378/pone.0030507.g004.jpg
https://cdn.ncbi.nlm.nih.gov/pmc/blobs/37c7/3260287/38683b70aa23/pone.0030507.g005.jpg
https://cdn.ncbi.nlm.nih.gov/pmc/blobs/37c7/3260287/b9143b9a51b9/pone.0030507.g006.jpg
https://cdn.ncbi.nlm.nih.gov/pmc/blobs/37c7/3260287/635aa20125a1/pone.0030507.g007.jpg
https://cdn.ncbi.nlm.nih.gov/pmc/blobs/37c7/3260287/1faf9c0bbfe6/pone.0030507.g008.jpg
https://cdn.ncbi.nlm.nih.gov/pmc/blobs/37c7/3260287/573fcaa7760d/pone.0030507.g009.jpg
https://cdn.ncbi.nlm.nih.gov/pmc/blobs/37c7/3260287/578a98d0bbb2/pone.0030507.g001.jpg
https://cdn.ncbi.nlm.nih.gov/pmc/blobs/37c7/3260287/0d2de97a61ff/pone.0030507.g002.jpg
https://cdn.ncbi.nlm.nih.gov/pmc/blobs/37c7/3260287/1b1df1b0b767/pone.0030507.g003.jpg
https://cdn.ncbi.nlm.nih.gov/pmc/blobs/37c7/3260287/1daa47a36378/pone.0030507.g004.jpg
https://cdn.ncbi.nlm.nih.gov/pmc/blobs/37c7/3260287/38683b70aa23/pone.0030507.g005.jpg
https://cdn.ncbi.nlm.nih.gov/pmc/blobs/37c7/3260287/b9143b9a51b9/pone.0030507.g006.jpg
https://cdn.ncbi.nlm.nih.gov/pmc/blobs/37c7/3260287/635aa20125a1/pone.0030507.g007.jpg
https://cdn.ncbi.nlm.nih.gov/pmc/blobs/37c7/3260287/1faf9c0bbfe6/pone.0030507.g008.jpg
https://cdn.ncbi.nlm.nih.gov/pmc/blobs/37c7/3260287/573fcaa7760d/pone.0030507.g009.jpg

相似文献

1
Human SCARB2-mediated entry and endocytosis of EV71.人源 SCARB2 介导 EV71 的进入和内吞作用。
PLoS One. 2012;7(1):e30507. doi: 10.1371/journal.pone.0030507. Epub 2012 Jan 17.
2
Molecular determinants of enterovirus 71 viral entry: cleft around GLN-172 on VP1 protein interacts with variable region on scavenge receptor B 2.肠道病毒 71 型病毒进入的分子决定因素:VP1 蛋白上 GLN-172 周围的裂缝与清道夫受体 B2 的可变区域相互作用。
J Biol Chem. 2012 Feb 24;287(9):6406-20. doi: 10.1074/jbc.M111.301622. Epub 2012 Jan 4.
3
Human SCARB2-dependent infection by coxsackievirus A7, A14, and A16 and enterovirus 71.人源 SCARB2 依赖性柯萨奇病毒 A7、A14 和 A16 以及肠道病毒 71 的感染。
J Virol. 2012 May;86(10):5686-96. doi: 10.1128/JVI.00020-12. Epub 2012 Mar 21.
4
Enhanced human enterovirus 71 infection by endocytosis inhibitors reveals multiple entry pathways by enterovirus causing hand-foot-and-mouth diseases.细胞内吞抑制剂增强人肠道病毒 71 感染揭示了引起手足口病的肠道病毒的多种进入途径。
Virol J. 2018 Jan 3;15(1):1. doi: 10.1186/s12985-017-0913-3.
5
Establishment of cell lines with increased susceptibility to EV71/CA16 by stable overexpression of SCARB2.通过稳定过表达SCARB2建立对EV71/CA16敏感性增加的细胞系。
Virol J. 2013 Aug 6;10:250. doi: 10.1186/1743-422X-10-250.
6
SLC35B2 Acts in a Dual Role in the Host Sulfation Required for EV71 Infection.SLC35B2 在 EV71 感染所需的宿主硫酸盐形成中发挥双重作用。
J Virol. 2022 May 11;96(9):e0204221. doi: 10.1128/jvi.02042-21. Epub 2022 Apr 14.
7
Human SCARB2 Acts as a Cellular Associator for Helping Coxsackieviruses A10 Infection.人源 SCARB2 作为一种细胞辅助因子促进柯萨奇病毒 A10 感染
Viruses. 2023 Apr 8;15(4):932. doi: 10.3390/v15040932.
8
Functional comparison of SCARB2 and PSGL1 as receptors for enterovirus 71.SCARB2 和 PSGL1 作为肠道病毒 71 受体的功能比较。
J Virol. 2013 Mar;87(6):3335-47. doi: 10.1128/JVI.02070-12. Epub 2013 Jan 9.
9
A Novel Murine Model Expressing a Chimeric mSCARB2/hSCARB2 Receptor Is Highly Susceptible to Oral Infection with Clinical Isolates of Enterovirus 71.一种表达嵌合 mSCARB2/hSCARB2 受体的新型小鼠模型对肠道病毒 71 临床分离株的口服感染高度敏感。
J Virol. 2019 May 15;93(11). doi: 10.1128/JVI.00183-19. Print 2019 Jun 1.
10
Caveolar endocytosis is required for human PSGL-1-mediated enterovirus 71 infection.小窝内吞作用是人类 PSGL-1 介导肠道病毒 71 感染所必需的。
J Virol. 2013 Aug;87(16):9064-76. doi: 10.1128/JVI.00573-13. Epub 2013 Jun 12.

引用本文的文献

1
Severe enterovirus A71 pathogenesis and immune responses in human nucleolin transgenic mice.人核仁素转基因小鼠中肠道病毒A71的严重发病机制及免疫反应
Med Microbiol Immunol. 2025 Jun 16;214(1):30. doi: 10.1007/s00430-025-00842-2.
2
Insight into the Life Cycle of Enterovirus-A71.肠道病毒A71生命周期的深入研究
Viruses. 2025 Jan 27;17(2):181. doi: 10.3390/v17020181.
3
Receptors and Host Factors for Enterovirus Infection: Implications for Cancer Therapy.肠道病毒感染的受体与宿主因素:对癌症治疗的启示

本文引用的文献

1
Identification and characterization of a cross-neutralization epitope of Enterovirus 71.鉴定和表征肠道病毒 71 的交叉中和表位。
Vaccine. 2011 Jun 10;29(26):4362-72. doi: 10.1016/j.vaccine.2011.04.010. Epub 2011 Apr 16.
2
Identification of a human SCARB2 region that is important for enterovirus 71 binding and infection.鉴定人 SCARB2 区域对肠道病毒 71 结合和感染很重要。
J Virol. 2011 May;85(10):4937-46. doi: 10.1128/JVI.02358-10. Epub 2011 Mar 9.
3
The essential role of clathrin-mediated endocytosis in the infectious entry of human enterovirus 71.
Cancers (Basel). 2024 Sep 12;16(18):3139. doi: 10.3390/cancers16183139.
4
In vitro synergistic antiviral activity of repurposed drugs against enterovirus 71.体外药物再利用对抗肠道病毒 71 的协同抗病毒活性。
Arch Virol. 2024 Jul 30;169(8):169. doi: 10.1007/s00705-024-06097-1.
5
Tribbles pseudokinase 3 promotes enterovirus A71 infection via dual mechanisms.Tribbles 假激酶 3 通过双重机制促进肠道病毒 A71 感染。
Emerg Microbes Infect. 2024 Dec;13(1):2307514. doi: 10.1080/22221751.2024.2307514. Epub 2024 Jan 30.
6
A tradeoff between enterovirus A71 particle stability and cell entry.肠道病毒 A71 颗粒稳定性与细胞进入之间的权衡。
Nat Commun. 2023 Nov 17;14(1):7450. doi: 10.1038/s41467-023-43029-0.
7
Human SCARB2 Acts as a Cellular Associator for Helping Coxsackieviruses A10 Infection.人源 SCARB2 作为一种细胞辅助因子促进柯萨奇病毒 A10 感染
Viruses. 2023 Apr 8;15(4):932. doi: 10.3390/v15040932.
8
The effects of SCARB2 and SELPLG gene polymorphisms on EV71 infection in hand, foot and mouth disease.SCARB2 和 SELPLG 基因多态性对手足口病 EV71 感染的影响。
Biomol Biomed. 2023 Sep 4;23(5):815-824. doi: 10.17305/bb.2023.8948.
9
Advances in anti-EV-A71 drug development research.抗肠道病毒 71 型药物研发研究进展。
J Adv Res. 2024 Feb;56:137-156. doi: 10.1016/j.jare.2023.03.007. Epub 2023 Mar 30.
10
EV-A71 Mechanism of Entry: Receptors/Co-Receptors, Related Pathways and Inhibitors.肠道病毒 71 型进入机制:受体/共受体、相关途径和抑制剂。
Viruses. 2023 Mar 18;15(3):785. doi: 10.3390/v15030785.
网格蛋白介导的内吞作用在人类肠道病毒 71 的感染进入中的重要作用。
J Biol Chem. 2011 Jan 7;286(1):309-21. doi: 10.1074/jbc.M110.168468. Epub 2010 Oct 18.
4
Development of enterovirus 71 vaccines.肠道病毒 71 型疫苗的研发。
Expert Rev Vaccines. 2010 Feb;9(2):149-56. doi: 10.1586/erv.09.152.
5
Human P-selectin glycoprotein ligand-1 is a functional receptor for enterovirus 71.人P-选择素糖蛋白配体-1是肠道病毒71型的功能性受体。
Nat Med. 2009 Jul;15(7):794-7. doi: 10.1038/nm.1961. Epub 2009 Jun 21.
6
Scavenger receptor B2 is a cellular receptor for enterovirus 71.清道夫受体B2是肠道病毒71的细胞受体。
Nat Med. 2009 Jul;15(7):798-801. doi: 10.1038/nm.1992. Epub 2009 Jun 21.
7
Enterovirus 71 infection: a new threat to global public health?肠道病毒71型感染:对全球公共卫生的新威胁?
Lancet Neurol. 2008 Oct;7(10):868-9. doi: 10.1016/S1474-4422(08)70207-2.
8
Immunization with virus-like particles of enterovirus 71 elicits potent immune responses and protects mice against lethal challenge.用肠道病毒71型病毒样颗粒进行免疫可引发强烈的免疫反应,并保护小鼠免受致死性攻击。
Vaccine. 2008 Mar 28;26(15):1855-62. doi: 10.1016/j.vaccine.2008.01.058. Epub 2008 Feb 25.
9
On the relationship between the protein structure and protein dynamics.论蛋白质结构与蛋白质动力学之间的关系。
Proteins. 2008 Aug;72(2):625-34. doi: 10.1002/prot.21954.
10
Pathways of clathrin-independent endocytosis.网格蛋白非依赖性内吞作用途径。
Nat Rev Mol Cell Biol. 2007 Aug;8(8):603-12. doi: 10.1038/nrm2216.