Suppr超能文献

罗素蝰蛇咬伤后出现的后循环缺血性中风。

Posterior circulation ischemic stroke following Russell's viper envenomation.

作者信息

Gouda Siddalingana, Pandit Vinay, Seshadri Shubha, Valsalan Rohith, Vikas M

机构信息

Department of Medicine, Kasturba Medical College, Manipal University, Manipal, Karnataka, India.

出版信息

Ann Indian Acad Neurol. 2011 Oct;14(4):301-3. doi: 10.4103/0972-2327.91957.

Abstract

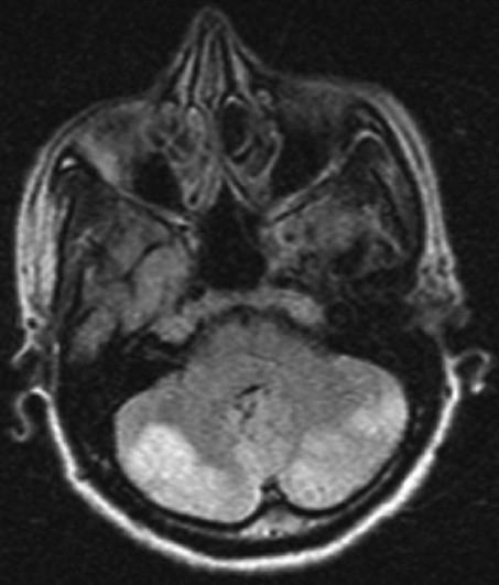
Ischemic stroke following viper bite is rare. We report a case of posterior circulation ischemic infarction following viper bite in a previously healthy woman. Soon after being bitten by the snake on the left leg, she developed local redness, echymosis and one hour later became drowsy. On examination she had skew deviation of eyes and down gaze preference, generalized hypotonia. A CT scan of brain showed infarcts in cerebellar hemispheres and occipital lobes on both sides and that was confirmed on magnetic resonance imaging of brain. Her coagulation profile was deranged. Most common and serious central nervous system complication following snake bite is intracranial hemorrhage. Ischemic stroke commonly involves anterior circulation. Bilateral cerebellar and occipital infraction is not yet reported in literature. Exact cause for the development of infarction is not clear. The possible mechanisms of infarction in this scenario are discussed. Patient was treated with anti-snake venom and showed a good recovery. Early imaging and early treatment with anti-snake venom is important for a favorable outcome.

摘要

蝰蛇咬伤后发生缺血性中风较为罕见。我们报告一例既往健康的女性在被蝰蛇咬伤后出现后循环缺血性梗死的病例。在左腿被蛇咬伤后不久,她出现局部发红、瘀斑,一小时后变得嗜睡。检查时,她有眼球斜偏和下视偏好,全身肌张力减退。脑部CT扫描显示双侧小脑半球和枕叶梗死,脑部磁共振成像证实了这一点。她的凝血指标紊乱。蛇咬伤后最常见且严重的中枢神经系统并发症是颅内出血。缺血性中风通常累及前循环。双侧小脑和枕叶梗死在文献中尚未见报道。梗死发生的确切原因尚不清楚。本文讨论了这种情况下梗死发生的可能机制。患者接受了抗蛇毒血清治疗,恢复良好。早期影像学检查和早期使用抗蛇毒血清治疗对于取得良好预后很重要。

https://cdn.ncbi.nlm.nih.gov/pmc/blobs/8022/3271473/5cbe6f801c37/AIAN-14-301-g001.jpg

相似文献

1
Posterior circulation ischemic stroke following Russell's viper envenomation.
Ann Indian Acad Neurol. 2011 Oct;14(4):301-3. doi: 10.4103/0972-2327.91957.
2
Serpent strikes, sapien sways: A rare case of bilateral cerebellar infarct following viper bite.
Ann Afr Med. 2024 Jan-Mar;23(1):104-106. doi: 10.4103/aam.aam_44_23.
4
Fatal intracranial bleedings in a viper bite: A case report.
Chin J Traumatol. 2023 Mar;26(2):121-124. doi: 10.1016/j.cjtee.2022.09.004. Epub 2022 Sep 15.
6
Cerebellar infarct with neurogenic pulmonary edema following viper bite.
J Neurosci Rural Pract. 2012 Jan;3(1):74-6. doi: 10.4103/0976-3147.91954.
7
Ischemic brain infarcts and intracranial haemorrhages following Russell's viper (Daboia russelii) bite in Sri Lanka.
Toxicon. 2017 Jan;125:70-73. doi: 10.1016/j.toxicon.2016.11.253. Epub 2016 Nov 19.
8
Acute ischemic infarct in the middle cerebral artery territory following a Russell's viper bite.
Neurol India. 2009 Jul-Aug;57(4):479-80. doi: 10.4103/0028-3886.55594.
10
Thalamic infarction following a Russell's viper bite.
Southeast Asian J Trop Med Public Health. 2012 Sep;43(5):1201-4.

引用本文的文献

1
Leukoencephalopathy after Snake Bite Envenomation - "A Neurotoxic White Matter Disorder".
Indian J Pediatr. 2025 Jul;92(7):785. doi: 10.1007/s12098-025-05587-7. Epub 2025 May 30.
2
Cerebrovascular events induced by venomous snake bites: A systematic review.
Heliyon. 2025 Feb 19;11(4):e42779. doi: 10.1016/j.heliyon.2025.e42779. eCollection 2025 Feb 28.
3
Snake Bite-Induced Leukoencephalopathy: A Rare Case.
Cureus. 2024 Feb 28;16(2):e55116. doi: 10.7759/cureus.55116. eCollection 2024 Feb.
4
Cerebral Complications of Snakebite Envenoming: Case Studies.
Toxins (Basel). 2022 Jun 27;14(7):436. doi: 10.3390/toxins14070436.
5
Extensive spontaneous cerebral haemorrhage after Russell's viper bite.
BMJ Case Rep. 2020 Jun 29;13(6):e233200. doi: 10.1136/bcr-2019-233200.
6
Multiple thromboembolic strokes in a toddler associated with Australian Eastern Brown snake envenomation.
Radiol Case Rep. 2019 Jun 18;14(8):1052-1055. doi: 10.1016/j.radcr.2019.05.034. eCollection 2019 Aug.
7
Acute cerebral infarction following a Trimeresurus stejnegeri snakebite: A case report.
Medicine (Baltimore). 2019 Jun;98(23):e15684. doi: 10.1097/MD.0000000000015684.
8
Hemotoxic Snakebite Presenting with Bilateral Blindness Due to Ischemic Occipital Infarcts.
Indian J Crit Care Med. 2019 Feb;23(2):99-101. doi: 10.5005/jp-journals-10071-23125.
10
Spontaneous Intracerebral Bleed Post Snake Envenomation.
J Clin Diagn Res. 2017 Apr;11(4):PD03-PD04. doi: 10.7860/JCDR/2017/25095.9517. Epub 2017 Apr 1.

本文引用的文献

1
Acute ischemic infarct in the middle cerebral artery territory following a Russell's viper bite.
Neurol India. 2009 Jul-Aug;57(4):479-80. doi: 10.4103/0028-3886.55594.
3
4
Brainstem infarction following Korean viper bite.
Neurology. 2001 May 8;56(9):1244-5. doi: 10.1212/wnl.56.9.1244.
5
Cerebral infarction in a young male following viper envenomation.
J Assoc Physicians India. 2000 Jul;48(7):744-5.
6
Cerebral infarction after envenomation by viper.
J Comput Assist Tomogr. 1997 Jan-Feb;21(1):35-7. doi: 10.1097/00004728-199701000-00007.
8
Cerebral infarction in a young female following snake bite.
Stroke. 1985 Mar-Apr;16(2):328-30. doi: 10.1161/01.str.16.2.328.

文献AI研究员

20分钟写一篇综述,助力文献阅读效率提升50倍。

立即体验

用中文搜PubMed

大模型驱动的PubMed中文搜索引擎

马上搜索

文档翻译

学术文献翻译模型,支持多种主流文档格式。

立即体验