Ishikawa Kiyotake, Ladage Dennis, Tilemann Lisa, Kawase Yoshiaki, Hajjar Roger J
Cardiovascular Research Center, Mount Sinai School of Medicine, One Gustave L. Levy Place, P.O. Box 1030, New York, NY 10029-6574, USA.
ISRN Cardiol. 2011;2011:319453. doi: 10.5402/2011/319453. Epub 2011 Apr 6.
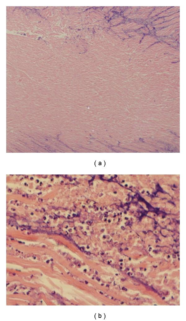
Cardiac gene therapy is one of the most promising approaches to cure patients with cardiac dysfunctions. Many ways of efficient gene transfer using viral vectors are tested, and some of them are already used in clinical settings. However, it is always important to be keenly alert to the possible complications when a new therapy is introduced. We present a case of myocardial sterile abscess in a swine model associated with a direct myocardial injection.
心脏基因治疗是治愈心脏功能障碍患者最有前景的方法之一。人们测试了许多使用病毒载体进行有效基因转移的方法,其中一些已在临床中使用。然而,在引入新疗法时始终保持对可能并发症的高度警惕非常重要。我们报告了一例在猪模型中与直接心肌注射相关的心肌无菌性脓肿病例。