Suppr超能文献

HRCT上囊性肺疾病的实用诊断方法

A practical approach to cystic lung disease on HRCT.

作者信息

Beddy Peter, Babar Judith, Devaraj Anand

出版信息

Insights Imaging. 2011 Feb;2(1):1-7. doi: 10.1007/s13244-010-0050-7. Epub 2010 Nov 12.

Abstract

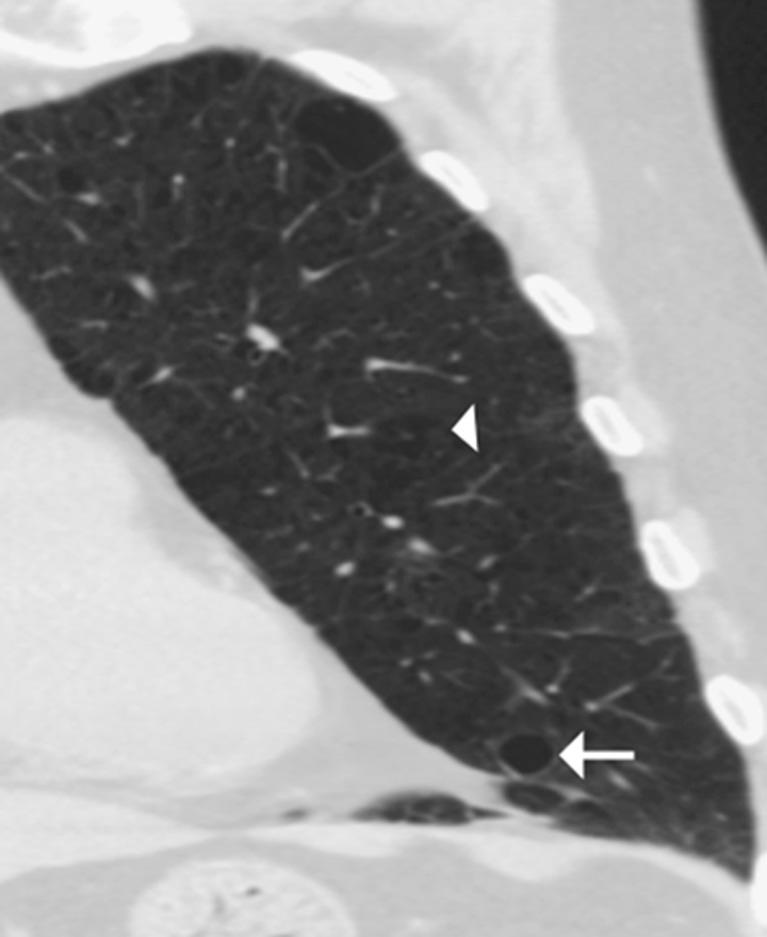
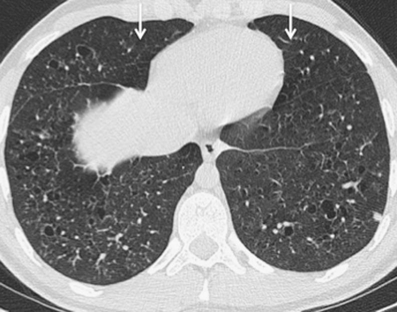
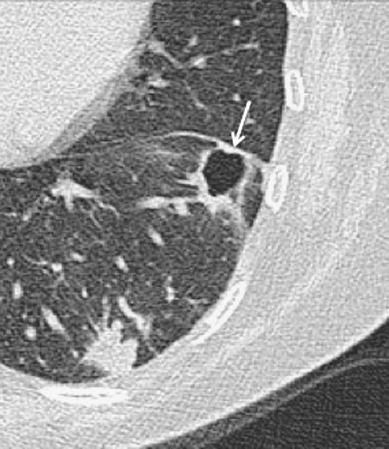
A lung cyst is defined as a round parenchymal lucency or area of low attenuation with a thin wall. They are not uncommon findings on high-resolution (HR) thoracic computed tomography (CT) and when identified, they require explanation. The differential diagnosis for diseases characterised by lung cysts is broad ranging from isolated chest disorders to rare multisystem diseases. This article provides a practical approach for evaluating lung cysts on HRCT, highlighting disorders in which the HRCT findings can be diagnostic as well as conditions where correlation with clinical history or biopsy is required.

摘要

肺囊肿被定义为圆形的实质透亮区或具有薄壁的低衰减区域。它们在高分辨率(HR)胸部计算机断层扫描(CT)上并非罕见的发现,一旦被识别,就需要进行解释。以肺囊肿为特征的疾病的鉴别诊断范围广泛,从孤立的胸部疾病到罕见的多系统疾病。本文提供了一种在HRCT上评估肺囊肿的实用方法,重点介绍了HRCT表现具有诊断价值的疾病以及需要结合临床病史或活检的情况。

https://cdn.ncbi.nlm.nih.gov/pmc/blobs/45eb/3288969/b59df4b07da3/13244_2010_50_Fig1_HTML.jpg

文献AI研究员

20分钟写一篇综述,助力文献阅读效率提升50倍。

立即体验

用中文搜PubMed

大模型驱动的PubMed中文搜索引擎

马上搜索

文档翻译

学术文献翻译模型,支持多种主流文档格式。

立即体验