• 文献检索
  • 文档翻译
  • 深度研究
  • 学术资讯
  • Suppr Zotero 插件Zotero 插件
  • 邀请有礼
  • 套餐&价格
  • 历史记录
应用&插件
Suppr Zotero 插件Zotero 插件浏览器插件Mac 客户端Windows 客户端微信小程序
定价
高级版会员购买积分包购买API积分包
服务
文献检索文档翻译深度研究API 文档MCP 服务
关于我们
关于 Suppr公司介绍联系我们用户协议隐私条款
关注我们

Suppr 超能文献

核心技术专利:CN118964589B侵权必究
粤ICP备2023148730 号-1Suppr @ 2026

文献检索

告别复杂PubMed语法,用中文像聊天一样搜索,搜遍4000万医学文献。AI智能推荐,让科研检索更轻松。

立即免费搜索

文件翻译

保留排版,准确专业,支持PDF/Word/PPT等文件格式,支持 12+语言互译。

免费翻译文档

深度研究

AI帮你快速写综述,25分钟生成高质量综述,智能提取关键信息,辅助科研写作。

立即免费体验

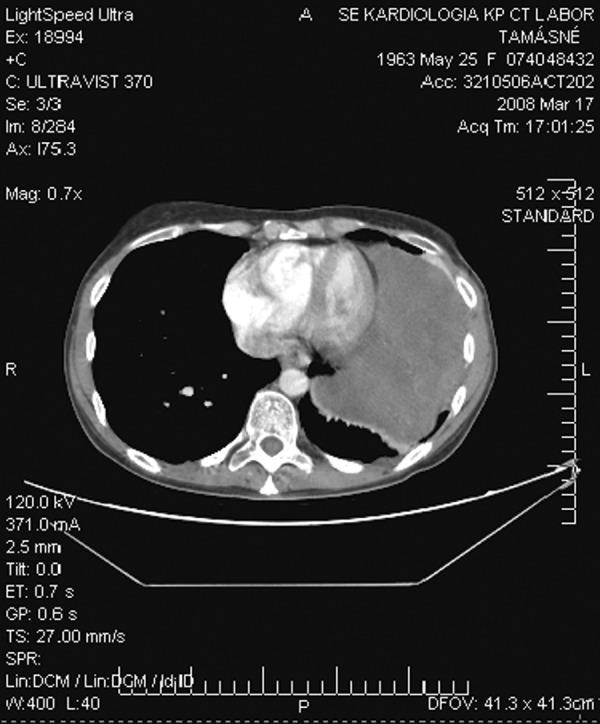
胸内硬纤维瘤的多学科治疗:病例系列和叙述性综述。

Multidisciplinary treatment of intra-thoracic desmoid tumors: case series and narrative review.

机构信息

Department of General and Thoracic Surgery, National Institute of Oncology, Budapest, Hungary.

出版信息

Med Sci Monit. 2012 Mar;18(3):CS17-25. doi: 10.12659/msm.882506.

DOI:10.12659/msm.882506
PMID:22367132
原文链接:https://pmc.ncbi.nlm.nih.gov/articles/PMC3560762/
Abstract

BACKGROUND

Primary intra-thoracic desmoids are exceedingly rare borderline tumors, with 34 reported cases in the English-language literature. The characteristic localized infiltrative growth and the high rate of recurrence can result in life-threatening conditions. Radical surgical resection is considered to be the primary treatment. Achieving negative surgical margins is a challenge. Cases with positive surgical margins are associated with a high rate of local recurrence; therefore, other multimodal approaches play a large role in their therapy.

CASE REPORTS

The authors reviewed the relevant literature and presented examples of long-term follow-up of 3 intra-thoracic desmoid tumour patients, multidisciplinarily treated between 2000 and 2008. All reports of intra-thoracic desmoid tumors that the authors could find on PubMed or in the reference sections of these PubMed located articles were included using the search terms: intra-thoracic, desmoid, aggressive fibromatoses.

CONCLUSIONS

Because of the rarity of the disease and the heterogeneity of the cases, it is difficult to assess the importance of the information for everyday clinical practice. It does however provide a useful guide for reference.

摘要

背景

原发性胸内硬纤维瘤是一种极为罕见的交界性肿瘤,英文文献中有 34 例报道。其特征性的局限性浸润性生长和高复发率可导致危及生命的情况。根治性手术切除被认为是主要的治疗方法。达到阴性手术切缘是一个挑战。阳性手术切缘的病例与高局部复发率相关;因此,其他多模式方法在其治疗中起着重要作用。

病例报告

作者回顾了相关文献,并介绍了 3 例胸内硬纤维瘤患者的长期随访情况,这些患者于 2000 年至 2008 年间接受了多学科治疗。作者使用以下检索词在 PubMed 或这些 PubMed 定位文章的参考文献部分搜索了所有能找到的胸内硬纤维瘤报告:胸内、硬纤维瘤、侵袭性纤维瘤病。

结论

由于该病的罕见性和病例的异质性,难以评估这些信息对日常临床实践的重要性。但它确实为参考提供了有用的指南。

https://cdn.ncbi.nlm.nih.gov/pmc/blobs/927c/3560762/50d0b8e7946b/medscimonit-18-3-CS17-g003.jpg
https://cdn.ncbi.nlm.nih.gov/pmc/blobs/927c/3560762/29e0e00b49fd/medscimonit-18-3-CS17-g001.jpg
https://cdn.ncbi.nlm.nih.gov/pmc/blobs/927c/3560762/301ffdc0ecae/medscimonit-18-3-CS17-g002.jpg
https://cdn.ncbi.nlm.nih.gov/pmc/blobs/927c/3560762/50d0b8e7946b/medscimonit-18-3-CS17-g003.jpg
https://cdn.ncbi.nlm.nih.gov/pmc/blobs/927c/3560762/29e0e00b49fd/medscimonit-18-3-CS17-g001.jpg
https://cdn.ncbi.nlm.nih.gov/pmc/blobs/927c/3560762/301ffdc0ecae/medscimonit-18-3-CS17-g002.jpg
https://cdn.ncbi.nlm.nih.gov/pmc/blobs/927c/3560762/50d0b8e7946b/medscimonit-18-3-CS17-g003.jpg

相似文献

1
Multidisciplinary treatment of intra-thoracic desmoid tumors: case series and narrative review.胸内硬纤维瘤的多学科治疗:病例系列和叙述性综述。
Med Sci Monit. 2012 Mar;18(3):CS17-25. doi: 10.12659/msm.882506.
2
Thoracic desmoid tumors: a rare evolution of rib fracture. Etiopathogenesis and therapeutic considerations.胸部韧带样瘤:肋骨骨折的一种罕见演变。病因发病机制及治疗考量
G Chir. 1995 Aug-Sep;16(8-9):341-3.
3
[Surgical challenges of chest wall and intra-thoracic desmoid tumors].[胸壁及胸腔内硬纤维瘤的手术挑战]
Orv Hetil. 2011 Jan 2;152(1):3-13. doi: 10.1556/OH.2011.29009.
4
Desmoid: the role of local therapy in an era of systemic options.韧带样纤维瘤:在全身性治疗选择时代的局部治疗作用。
Curr Treat Options Oncol. 2013 Sep;14(3):465-73. doi: 10.1007/s11864-013-0235-7.
5
Chest-wall desmoid tumors: results of surgical intervention.胸壁硬纤维瘤:手术干预结果
Ann Thorac Surg. 2004 Oct;78(4):1219-23; discussion 1219-23. doi: 10.1016/j.athoracsur.2004.03.015.
6
An unusual finding in a desmoid-type fibromatosis of the pancreas: a case report and review of the literature.胰腺韧带样型纤维瘤病的一项罕见发现:病例报告及文献复习
J Med Case Rep. 2018 May 12;12(1):123. doi: 10.1186/s13256-018-1635-x.
7
Desmoid-type chest wall fibromatosis. A six cases series.腹壁硬纤维瘤型纤维瘤病。六例系列报告。
Orthop Traumatol Surg Res. 2011 Feb;97(1):102-7. doi: 10.1016/j.otsr.2010.09.017. Epub 2011 Jan 15.
8
Multiple rapidly growing desmoid tumors that were difficult to distinguish from recurrence of rectal cancer.多处快速生长的硬纤维瘤,难以与直肠癌复发相区别。
World J Surg Oncol. 2017 Oct 3;15(1):180. doi: 10.1186/s12957-017-1248-7.
9
Desmoid tumors: experience of 32 cases and review of the literature.硬纤维瘤:32例经验及文献复习
Indian J Cancer. 2009 Jan-Mar;46(1):34-9. doi: 10.4103/0019-509x.48593.
10
A desmoid tumor of the pancreas. Sporadic intra-abdominal desmoids revisited.胰腺硬纤维瘤。复发性散发性腹腔内硬纤维瘤。
Int J Pancreatol. 1996 Jun;19(3):197-203. doi: 10.1007/BF02787368.

引用本文的文献

1
A 10-year-old male with chest wall Desmoid tumor - a rare tumor with unusual presentation.一名患有胸壁硬纤维瘤的10岁男性——一种表现异常的罕见肿瘤。
J Surg Case Rep. 2024 Jan 24;2024(1):rjae007. doi: 10.1093/jscr/rjae007. eCollection 2024 Jan.
2
A Submandibular Fibromatosis; A Case Report and Review of Literature.一例下颌下纤维瘤病;病例报告及文献复习
Med J Islam Repub Iran. 2022 Aug 20;36:94. doi: 10.47176/mjiri.36.94. eCollection 2022.
3
The surgery of a giant chest wall tumor with intrathoracic extension.一例侵犯胸腔的巨大胸壁肿瘤的手术治疗

本文引用的文献

1
Huge intrathoracic desmoid tumor.巨大的胸腔内硬纤维瘤。
Ann Thorac Med. 2009 Jul;4(3):146-8. doi: 10.4103/1817-1737.53350.
2
Chest wall and intrathoracic desmoid tumors: surgical experience and review of the literature.胸壁及胸腔内硬纤维瘤:手术经验及文献综述
Eur J Med Res. 2009 Jun 18;14(6):240-3. doi: 10.1186/2047-783x-14-6-240.
3
Chest wall desmoid tumor with life-threatening intrathoracic extension.伴有危及生命的胸内扩展的胸壁硬纤维瘤。
Kardiochir Torakochirurgia Pol. 2021 Jun;18(2):113-116. doi: 10.5114/kitp.2021.107474. Epub 2021 Jul 5.
4
Intrathoracic Desmoid Tumor.胸内硬纤维瘤
J Belg Soc Radiol. 2015 Sep 15;99(1):123-124. doi: 10.5334/jbr-btr.834.
5
Cicatricial Fibromatosis Diagnosis after Suspected Local Recurrence at the Bronchial Stump Following Lobectomy for Lung Cancer.肺癌肺叶切除术后支气管残端疑似局部复发后的瘢痕性纤维瘤病诊断
Korean J Thorac Cardiovasc Surg. 2016 Apr;49(2):134-7. doi: 10.5090/kjtcs.2016.49.2.134. Epub 2016 Apr 5.
Eur J Cardiothorac Surg. 2009 Mar;35(3):538. doi: 10.1016/j.ejcts.2008.12.008. Epub 2009 Jan 21.
4
Intrathoracic desmoid tumor: brief report and review of literature.胸内硬纤维瘤:病例报告及文献综述
J Thorac Oncol. 2008 Jun;3(6):656-9. doi: 10.1097/JTO.0b013e3181757aa6.
5
The impact of radiotherapy in the treatment of desmoid tumours. An international survey of 110 patients. A study of the Rare Cancer Network.放疗在韧带样瘤治疗中的作用。对 110 例患者的国际调查。罕见癌症网络的一项研究。
Radiat Oncol. 2007 Mar 7;2:12. doi: 10.1186/1748-717X-2-12.
6
Fine-needle aspiration cytology and core needle biopsy in the preoperative diagnosis of desmoid tumors.细针穿刺细胞学检查和粗针活检在硬纤维瘤术前诊断中的应用
Acta Orthop. 2006 Dec;77(6):926-31. doi: 10.1080/17453670610013240.
7
Pleuropulmonary desmoid tumors: immunohistochemical comparison with solitary fibrous tumors and assessment of beta-catenin and cyclin D1 expression.胸膜肺韧带样瘤:与孤立性纤维瘤的免疫组织化学比较及β-连环蛋白和细胞周期蛋白D1表达评估
Arch Pathol Lab Med. 2006 Oct;130(10):1503-9. doi: 10.5858/2006-130-1503-PDTICW.
8
Intra-thoracic desmoid tumour in a patient with a previous aortocoronary bypass.一名曾接受主动脉冠状动脉搭桥术的患者发生胸内硬纤维瘤。
World J Surg Oncol. 2006 Jul 10;4:43. doi: 10.1186/1477-7819-4-43.
9
Current trends in the management of extra-abdominal desmoid tumours.腹外硬纤维瘤治疗的当前趋势
World J Surg Oncol. 2006 Apr 3;4:21. doi: 10.1186/1477-7819-4-21.
10
Clinical and molecular studies of the effect of imatinib on advanced aggressive fibromatosis (desmoid tumor).伊马替尼对晚期侵袭性纤维瘤病(韧带样瘤)作用的临床及分子研究
J Clin Oncol. 2006 Mar 1;24(7):1195-203. doi: 10.1200/JCO.2005.04.0717.