Suppr超能文献

Recurrent syncope as initial symptom in apical intrathoracic tumor.

作者信息

Chen Hung Yi

机构信息

Department of Cardiology, Taipei City Hospital- Heping Branch, Taiwan.

出版信息

J Clin Med Res. 2012 Feb;4(1):77-80. doi: 10.4021/jocmr765w. Epub 2012 Jan 17.

Abstract

UNLABELLED

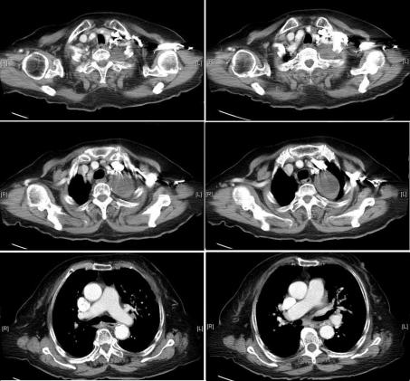
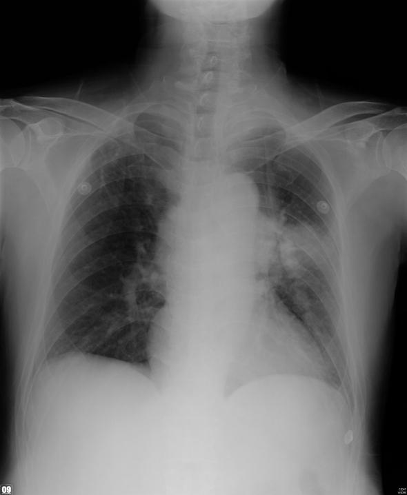
Syncope is a common complaint in clinical medical care. The etiology and mechanism can be complex. We report two cases experienced recurrent syncope to our emergency room without concomitant symptom. The image studies of both cases revealed apical neoplasms compress left common carotid artery with mediastinal lymphadenopathy and without cardiac/main artery trunk involved. After brain lesion, cardiac arrhythmia, and orthostatic hypotension were excluded, syncope related to vagus nerve involved was suspected.

KEYWORDS

Recurrent syncope; Intrathoracic tumor; Neurocardiogenic.

摘要
https://cdn.ncbi.nlm.nih.gov/pmc/blobs/984d/3279508/114c6a962700/jocmr-04-77-g001.jpg

文献AI研究员

20分钟写一篇综述,助力文献阅读效率提升50倍。

立即体验

用中文搜PubMed

大模型驱动的PubMed中文搜索引擎

马上搜索

文档翻译

学术文献翻译模型,支持多种主流文档格式。

立即体验