Institute of Biochemistry of the Romanian Academy, Department of Viral Glycoproteins, Bucharest, Romania.
PLoS One. 2012;7(3):e34169. doi: 10.1371/journal.pone.0034169. Epub 2012 Mar 26.
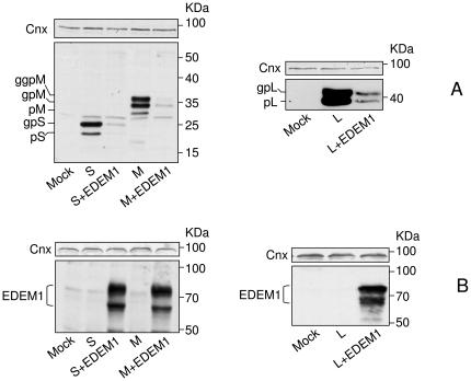
Hepatitis B virus (HBV) belongs to the Hepadnaviridae family of enveloped DNA viruses. It was previously shown that HBV can induce endoplasmic reticulum (ER) stress and activate the IRE1-XBP1 pathway of the unfolded protein response (UPR), through the expression of the viral regulatory protein X (HBx). However, it remained obscure whether or not this activation had any functional consequences on the target genes of the UPR pathway. Of these targets, the ER degradation-enhancing, mannosidase-like proteins (EDEMs) are thought to play an important role in relieving the ER stress during UPR, by recognizing terminally misfolded glycoproteins and delivering them to the ER-associated degradation (ERAD). In this study, we investigated the role of EDEMs in the HBV life-cycle. We found that synthesis of EDEMs (EDEM1 and its homologues, EDEM2 and EDEM3) is significantly up-regulated in cells with persistent or transient HBV replication. Co-expression of the wild-type HBV envelope proteins with EDEM1 resulted in their massive degradation, a process reversed by EDEM1 silencing. Surprisingly, the autophagy/lysosomes, rather than the proteasome were involved in disposal of the HBV envelope proteins. Importantly, inhibition of the endogenous EDEM1 expression in HBV replicating cells significantly increased secretion of both, enveloped virus and subviral particles. This is the first report showing that HBV activates the ERAD pathway, which, in turn, reduces the amount of envelope proteins, possibly as a mechanism to control the level of virus particles in infected cells and facilitate the establishment of chronic infections.
乙型肝炎病毒 (HBV) 属于有包膜 DNA 病毒的嗜肝 DNA 病毒科。先前的研究表明,HBV 通过表达病毒调节蛋白 X (HBx),可以诱导内质网 (ER) 应激并激活未折叠蛋白反应 (UPR) 的 IRE1-XBP1 通路。然而,这种激活是否对 UPR 途径的靶基因有任何功能影响仍不清楚。在这些靶基因中,内质网降解增强的甘露糖苷酶样蛋白 (EDEMs) 被认为在 UPR 期间通过识别末端错误折叠的糖蛋白并将其递送至内质网相关降解 (ERAD),从而在缓解 ER 应激方面发挥重要作用。在本研究中,我们研究了 EDEMs 在 HBV 生命周期中的作用。我们发现,持续或瞬时 HBV 复制的细胞中 EDEMs(EDEM1 及其同源物 EDEM2 和 EDEM3)的合成显著上调。野生型 HBV 包膜蛋白与 EDEM1 的共表达导致其大量降解,EDEM1 沉默可逆转该过程。令人惊讶的是,HBV 包膜蛋白的降解涉及自噬/溶酶体,而不是蛋白酶体。重要的是,在 HBV 复制细胞中抑制内源性 EDEM1 的表达显著增加了包膜病毒和亚病毒颗粒的分泌。这是第一个报道显示 HBV 激活 ERAD 途径的研究,该途径反过来又减少了包膜蛋白的数量,这可能是一种控制感染细胞中病毒颗粒水平并促进慢性感染建立的机制。