University of California Irvine, Department of Radiology, Orange, California.
West J Emerg Med. 2012 Feb;13(1):127-30. doi: 10.5811/westjem.2011.7.6784.
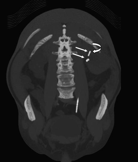
Urinary tract interventions can lead to multiple complications in the renal collecting system, including retained foreign bodies from endourologic or percutaneous procedures, such as stents, nephrostomy tubes, and others. We report a case of very delayed erosion of embolization coils migrating into the renal pelvis, acting as a nidus for stone formation, causing mild obstruction and finally leading to gross hematuria roughly 18 years post transarterial embolization. History is significant for a remote unsuccessful endopyelotomy attempt that required an urgent embolization.
尿路介入治疗可导致肾集合系统发生多种并发症,包括经腔内或经皮操作(如支架、肾造瘘管等)遗留的异物。我们报告 1 例非常迟发性的迁移至肾盂的栓塞线圈侵蚀,作为结石形成的核心,引起轻度梗阻,最终导致动脉栓塞后约 18 年出现肉眼血尿。病史提示曾有一次不成功的经皮肾镜切开术尝试,需要紧急栓塞。