Suppr超能文献

Management of sternal segment dislocation in a child with closed reduction.

作者信息

Soysal Omer, Akdemir Osman Cemil, Ziyade Sedat, Ugurlucan Murat

机构信息

Department of Thoracic Surgery, Medical Faculty, Bezmi Alem Foundation University, Vatan Caddesi, Capa, 34390 Fatih/Istanbul, Turkey.

出版信息

Case Rep Med. 2012;2012:676873. doi: 10.1155/2012/676873. Epub 2012 Mar 14.

Abstract

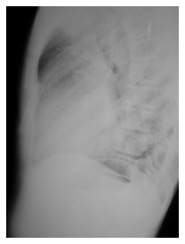
Trauma may lead to sternal fracture or dislocation. Dislocation of a sternal segment in the childhood period is very rare as for sternal fractures in children. There are only six case reports regarding the issue in the literature. Additionally, there is not an established consensus for the treatment of the pathology. In this paper we present traumatic dislocation of a sternal body segment in a 10-year-old child who was successfully managed conservatively by closed reduction together with the review of the literature. Surgical treatment is not necessary especially in acute cases. Pathology may be treated with closed reduction. Callus formation usually supports the dislocated part of the sternum in time.

摘要
https://cdn.ncbi.nlm.nih.gov/pmc/blobs/12a9/3312247/a38b38711e4a/CRIM2012-676873.001.jpg

文献AI研究员

20分钟写一篇综述,助力文献阅读效率提升50倍。

立即体验

用中文搜PubMed

大模型驱动的PubMed中文搜索引擎

马上搜索

文档翻译

学术文献翻译模型,支持多种主流文档格式。

立即体验