Suppr超能文献

鞘内注射吗啡后延迟性呼吸抑制导致吸入性肺炎。

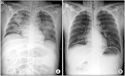
Aspiration pneumonitis caused by delayed respiratory depression following intrathecal morphine administration.

机构信息

Department of Anesthesiology and Pain Medicine, Asan Medical Center, University of Ulsan College of Medicine, Seoul, Korea.

出版信息

Korean J Pain. 2012 Apr;25(2):126-9. doi: 10.3344/kjp.2012.25.2.126. Epub 2012 Apr 4.

Abstract

Opioid analgesia is the primary pharmacologic intervention for managing pain. However, opioids can cause various adverse effects including pruritus, nausea, constipation, and sedation. Respiratory depression is the most fatal side effect. Therefore, cautious monitoring of respiratory status must be done after opioid administration. Here, we report a patient who suffered from respiratory depression with deep sedation and aspiration pneumonitis after intrathecal morphine administration.

摘要

阿片类镇痛药是治疗疼痛的主要药物干预手段。然而,阿片类药物会引起各种不良反应,包括瘙痒、恶心、便秘和镇静。呼吸抑制是最致命的副作用。因此,阿片类药物给药后必须谨慎监测呼吸状态。在此,我们报告了一例患者在鞘内注射吗啡后出现呼吸抑制伴深度镇静和吸入性肺炎。

https://cdn.ncbi.nlm.nih.gov/pmc/blobs/4868/3324739/fe27dcb96463/kjpain-25-126-g001.jpg

文献AI研究员

20分钟写一篇综述,助力文献阅读效率提升50倍。

立即体验

用中文搜PubMed

大模型驱动的PubMed中文搜索引擎

马上搜索

文档翻译

学术文献翻译模型,支持多种主流文档格式。

立即体验