Suppr超能文献

非洲人种中的亚洲变异型血管内大淋巴瘤

Asian-variant intravascular lymphoma in the African race.

作者信息

Geyer Holly, Karlin Nina, Palen Brian, Mesa Ruben

机构信息

Division of Hematology - Oncology, Mayo Clinic, Scottsdale, AZ, USA.

出版信息

Rare Tumors. 2012 Jan 2;4(1):e10. doi: 10.4081/rt.2012.e10. Epub 2012 Mar 19.

Abstract

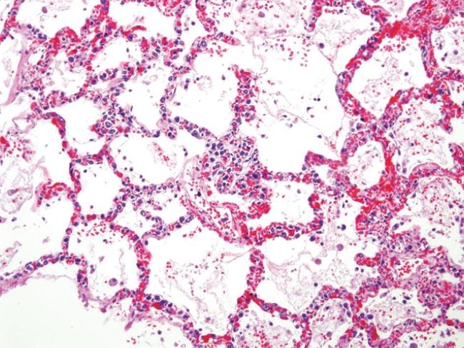
Intravascular Large B-cell lymphoma (IVLBCL) is an exceptionally rare form of non-Hodgkin lymphoma (NHL) distinguished by the preferential growth of neoplastic cells within blood vessel lumen. Challenging to detect and deemed disseminated at diagnosis, this condition is characterized by a highly aggressive, inconspicuous course with a high mortality rate. We describe the case of a 48 year-old African-American female presenting with a two month history of low-grade fevers and malaise. Laboratory data was notable for anemia, thrombocytopenia, elevated liver function tests, and hematuria. An extensive work-up for infectious, rheumatologic and malignant causes was negative. Her symptoms progressed and within two weeks, she was admitted for disseminated intravascular coagulation (DIC). Her course was complicated by diffuse pulmonary hemorrhage and ultimately, care was withdrawn. Autopsy identified widespread CD-20 positive intravascular large B-cell lymphoma with significant hepatosplenic involvement, characteristic of the Asian variant IVLBCL. This case uniquely highlights development of the Asian variant IVLBVL in a previously undescribed race. Identified by its intraluminal vascular growth pattern, IVLBCL generally spares lymphatic channels. Diagnosis and differentiation of this condition from other hematological malignancies via skin, visceral and bone marrow biopsy is imperative as anthracycline-containing chemotherapies may significantly improve clinical outcomes. This article outlines the common presentation, natural course, and treatment options of IVLBCL, along with the histopathology, immunohistochemistry, and chromosomal aberrations common to this condition.

摘要

血管内大B细胞淋巴瘤(IVLBCL)是一种极为罕见的非霍奇金淋巴瘤(NHL),其特征为肿瘤细胞优先在血管腔内生长。这种疾病难以检测,在诊断时即被认为已播散,其病程高度侵袭性且隐匿,死亡率高。我们描述了一例48岁非裔美国女性患者的病例,她有两个月的低热和乏力病史。实验室检查结果显示贫血、血小板减少、肝功能检查指标升高和血尿。针对感染、风湿和恶性病因进行的广泛检查均为阴性。她的症状逐渐加重,两周内因弥散性血管内凝血(DIC)入院。她的病程因弥漫性肺出血而复杂化,最终放弃治疗。尸检发现广泛的CD-20阳性血管内大B细胞淋巴瘤,伴有显著的肝脾受累,这是亚洲型IVLBCL的特征。该病例独特地凸显了亚洲型IVLBVL在一个此前未被描述过的种族中的发生情况。IVLBCL以其管腔内血管生长模式为特征,通常不累及淋巴管。通过皮肤、内脏和骨髓活检对这种疾病进行诊断并与其他血液系统恶性肿瘤进行鉴别至关重要,因为含蒽环类药物的化疗可能显著改善临床结局。本文概述了IVLBCL的常见表现、自然病程和治疗选择,以及该疾病常见的组织病理学、免疫组织化学和染色体异常情况。

https://cdn.ncbi.nlm.nih.gov/pmc/blobs/1c46/3325737/945431d6789b/rt-2012-1-e10-g001.jpg

文献AI研究员

20分钟写一篇综述,助力文献阅读效率提升50倍。

立即体验

用中文搜PubMed

大模型驱动的PubMed中文搜索引擎

马上搜索

文档翻译

学术文献翻译模型,支持多种主流文档格式。

立即体验