Suppr超能文献

胶质母细胞瘤中 MGMT、GATA6、CD81、DR4 和 CASP8 基因启动子甲基化。

MGMT, GATA6, CD81, DR4, and CASP8 gene promoter methylation in glioblastoma.

机构信息

Laboratory of Neurooncology and Genetics, Neuroscience Institute, Medical Academy, Lithuanian University of Health Sciences, Eiveniu str, 4, Kaunas, LT, 50009, Lithuania.

出版信息

BMC Cancer. 2012 Jun 6;12:218. doi: 10.1186/1471-2407-12-218.

Abstract

BACKGROUND

Methylation of promoter region is the major mechanism affecting gene expression in tumors. Recent methylome studies of brain tumors revealed a list of new epigenetically modified genes. Our aim was to study promoter methylation of newly identified epigenetically silenced genes together with already known epigenetic markers and evaluate its separate and concomitant role in glioblastoma genesis and patient outcome.

METHODS

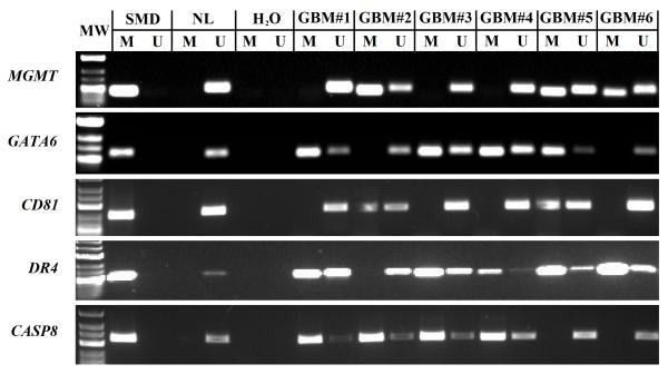
The methylation status of MGMT, CD81, GATA6, DR4, and CASP8 in 76 patients with primary glioblastomas was investigated. Methylation-specific PCR reaction was performed using bisulfite treated DNA. Evaluating glioblastoma patient survival time after operation, patient data and gene methylation effect on survival was estimated using survival analysis.

RESULTS

The overwhelming majority (97.3%) of tumors were methylated in at least one of five genes tested. In glioblastoma specimens gene methylation was observed as follows: MGMT in 51.3%, GATA6 in 68.4%, CD81 in 46.1%, DR4 in 41.3% and CASP8 in 56.8% of tumors. Methylation of MGMT was associated with younger patient age (p < 0.05), while CASP8 with older (p < 0.01). MGMT methylation was significantly more frequent event in patient group who survived longer than 36 months after operation (p < 0.05), while methylation of CASP8 was more frequent in patients who survived shorter than 36 months (p < 0.05). Cox regression analysis showed patient age, treatment, MGMT, GATA6 and CASP8 as independent predictors for glioblastoma patient outcome (p < 0.05). MGMT and GATA6 were independent predictors for patient survival in younger patients' group, while there were no significant associations observed in older patients' group when adjusted for therapy.

CONCLUSIONS

High methylation frequency of tested genes shows heterogeneity of glioblastoma epigenome and the importance of MGMT, GATA6 and CASP8 genes methylation in glioblastoma patient outcome.

摘要

背景

启动子区域的甲基化是影响肿瘤基因表达的主要机制。最近对脑肿瘤的甲基化组研究揭示了一组新的表观遗传修饰基因。我们的目的是研究新鉴定的表观遗传沉默基因的启动子甲基化,以及已经知道的表观遗传标记,并评估其在胶质母细胞瘤发生和患者预后中的单独和共同作用。

方法

我们研究了 76 名原发性胶质母细胞瘤患者的 MGMT、CD81、GATA6、DR4 和 CASP8 的甲基化状态。使用亚硫酸氢盐处理的 DNA 进行甲基化特异性 PCR 反应。评估手术后胶质母细胞瘤患者的生存时间,通过生存分析估计患者数据和基因甲基化对生存的影响。

结果

在 5 个检测的基因中,绝大多数(97.3%)肿瘤至少有一个基因发生甲基化。在胶质母细胞瘤标本中观察到以下基因甲基化:MGMT 为 51.3%,GATA6 为 68.4%,CD81 为 46.1%,DR4 为 41.3%,CASP8 为 56.8%。MGMT 甲基化与患者年龄较小有关(p < 0.05),而 CASP8 与年龄较大有关(p < 0.01)。MGMT 甲基化在手术后生存时间超过 36 个月的患者中更为常见(p < 0.05),而 CASP8 甲基化在生存时间少于 36 个月的患者中更为常见(p < 0.05)。Cox 回归分析显示,患者年龄、治疗、MGMT、GATA6 和 CASP8 是胶质母细胞瘤患者预后的独立预测因子(p < 0.05)。MGMT 和 GATA6 是年轻患者组患者生存的独立预测因子,而在调整治疗后,在老年患者组中未观察到显著相关性。

结论

测试基因的高甲基化频率表明胶质母细胞瘤表观基因组的异质性,以及 MGMT、GATA6 和 CASP8 基因甲基化在胶质母细胞瘤患者预后中的重要性。

https://cdn.ncbi.nlm.nih.gov/pmc/blobs/5fd6/3404983/f04bc3466bc3/1471-2407-12-218-1.jpg

文献AI研究员

20分钟写一篇综述,助力文献阅读效率提升50倍。

立即体验

用中文搜PubMed

大模型驱动的PubMed中文搜索引擎

马上搜索

文档翻译

学术文献翻译模型,支持多种主流文档格式。

立即体验